高级搜索

靶向药物联合应用对肝癌细胞SK-Hep-1增殖的影响及其机制

Effects and Mechanisms of Combined Application of Molecular Targeted Drugs on Proliferation of Hepatocellular Carcinoma SK-Hep-1 Cells

  • 摘要:
    目的 探讨靶向药物联合应用对多驱动基因调控增殖的肝癌细胞SK-Hep-1的影响及作用机制。
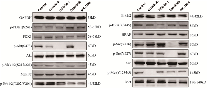
    方法 利用对肝癌细胞SK-Hep-1敏感的靶向药物(HG6-64-1、dasatinib、crizotinib、sunitinib)绘制单靶点动力学分析曲线和双相分析曲线,对SK-Hep-1细胞进行动力学分析;Western blot法检测这些靶向药物对SK-Hep-1细胞关键信号通路的影响;MTT法检测这些药物单用和联合应用对SK-Hep-1细胞增殖的影响。
    结果 与单靶点动力学分析曲线比较,双相分析曲线可更好拟合靶向药物对肝癌细胞SK-Hep-1的影响,并且预测出HG6-64-1、dasatinib和MK-2206三药联合应用能有效抑制SK-Hep-1细胞增殖。
    结论 双相动力学分析可以更好地定量描述多驱动增殖的肝癌细胞SK-Hep-1对靶向治疗的反应,联合使用HG6-64-1、dasatinib和MK-2206是治疗肝癌潜在的药物组合。

     

    Abstract:
    Objective To study the effects and mechanisms of molecular targeted drug combination on multi-driven proliferation hepatocellular carcinoma SK-Hep-1 cells.
    Methods Four molecular targeted drugs (HG6-64-1, Dasatinib, Crizotinib, and Sunitinib) were used to treat SK-Hep-1 cells, and the monophasic kinetic analysis curve and two-phase analysis curve were drawn. Western blot analysis was used to detect the effects of the above drugs on key signaling pathways in SK-Hep-1 cells. MTT assay was used to detect the effects of the above drugs and their combination on the proliferation of SK-Hep-1 cells.
    Results Compared with the monophasic kinetic analysis curve, the biphase analysis curve could better fit the effects of molecular targeted drugs on SK-Hep-1 cells, which predicted that the combination of HG6-64-1, Dasatinib, and MK-2206 could effectively inhibit the proliferation of SK-Hep-1 cells.
    Conclusion Two-phase kinetic analysis can quantitatively describe the response of multi-driven proliferation hepatocellular carcinoma SK-Hep-1 cells to molecular targeted therapy. The combination of HG6-64-1, Dasatinib, and MK-2206 is a potential drug combination for the treatment of hepatocellular carcinoma.

     

/

返回文章
返回