高级搜索

肺结节活检和病理诊断在当前医疗实践中的必要性和可行性

Role of Pathology in Early Detection and Management of Lung Cancer-the Necessity and Feasibility of Small Biopsies in Targeted Lung Nodule in Current Clinical Practice

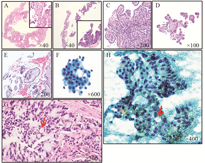
  • 摘要: 早期发现和准确诊断肺癌是降低肺癌死亡率的关键。低剂量CT影像是早期肺癌起始筛查的主要方法。本文从病理的角度,重点阐述了肺结节活检在早期肺癌筛查中的重要性和在临床实践中的可行性,以及对于影像发现的肺结节,如何在实践中方便高效取样及合理处理样品,以期达到准确诊断、分型、鉴别诊断和指导临床实践的目的。

     

    Abstract: Early detection and accurate diagnosis for lung cancer is crucial to reduce disease-related mortality. Low-dose CT image is the main method of early lung cancer screening. This review introduces the importance of lung cancer screening and the feasibility of small biopsies of lung nodule in clinical practice, and focuses on how to obtain the sample from lung nodule efficiently with low cost and less side effect, and manage the specimen appropriately in order to achieve accurate diagnosis and following ancillary tests to guide clinical practice. We summarize the common pathological diagnosis and differential diagnosis in small biopsies, and the application of small lung biopsy in the pathological staging and molecular tests.

     

/

返回文章
返回