高级搜索

GPNMB、ERK、MMP3和MMP9在肾癌原发灶和骨转移灶中的表达及相关性分析

翟建坡, 刘宁, 王海, 王海东, 满立波

翟建坡, 刘宁, 王海, 王海东, 满立波. GPNMB、ERK、MMP3和MMP9在肾癌原发灶和骨转移灶中的表达及相关性分析[J]. 肿瘤防治研究, 2020, 47(5): 367-371. DOI: 10.3971/j.issn.1000-8578.2020.19.1273
引用本文: 翟建坡, 刘宁, 王海, 王海东, 满立波. GPNMB、ERK、MMP3和MMP9在肾癌原发灶和骨转移灶中的表达及相关性分析[J]. 肿瘤防治研究, 2020, 47(5): 367-371. DOI: 10.3971/j.issn.1000-8578.2020.19.1273
ZHAI Jianpo, LIU Ning, WANG Hai, WANG Haidong, MAN Libo. Expression of GPNMB, ERK, MMP3 and MMP9 in Primary Lesion and Bone Metastasis of Renal Cell Carcinoma and Their Correlation[J]. Cancer Research on Prevention and Treatment, 2020, 47(5): 367-371. DOI: 10.3971/j.issn.1000-8578.2020.19.1273
Citation: ZHAI Jianpo, LIU Ning, WANG Hai, WANG Haidong, MAN Libo. Expression of GPNMB, ERK, MMP3 and MMP9 in Primary Lesion and Bone Metastasis of Renal Cell Carcinoma and Their Correlation[J]. Cancer Research on Prevention and Treatment, 2020, 47(5): 367-371. DOI: 10.3971/j.issn.1000-8578.2020.19.1273

GPNMB、ERK、MMP3和MMP9在肾癌原发灶和骨转移灶中的表达及相关性分析

基金项目: 

北京市医院管理局“青苗”计划专项 QML20170405

北京积水潭医院“学科新星”计划专项 XKXX201616

详细信息
    作者简介:

    翟建坡(1983-),男,博士,副主任医师,主要从事泌尿系肿瘤诊治及基础研究

    通信作者:

    满立波(1962-),男,硕士,主任医师,主要从事泌尿系肿瘤诊治及基础研究,E-mail: jstmnwk@126.com

  • 中图分类号: R737.11

Expression of GPNMB, ERK, MMP3 and MMP9 in Primary Lesion and Bone Metastasis of Renal Cell Carcinoma and Their Correlation

More Information
  • 摘要:
    目的 

    探讨GPNMB、ERK、MMP3和MMP9在肾癌原发灶和骨转移灶中的表达及意义并分析其表达的相关性。

    方法 

    免疫组织化学法检测肾癌原发灶和骨转移灶中GPNMB、ERK、MMP3和MMP9的表达,并分析其结果与患者的临床指标之间的关系。

    结果 

    GPNMB在肾癌原发灶和骨转移灶中的表达量分别为3.65±1.87和5.91±3.68。GPNMB高表达组患者中发生中轴骨转移、四肢骨转移、中轴骨和四肢骨均转移的例数分别是4例、1例、3例,低表达组患者中的例数分别为10例、5例、0例(P=0.035)。ERK、MMP3和MMP9在GPNMB原发灶高表达组和低表达组中的表达量分别是7.25±2.55 vs. 2.47±0.64、5.25±1.91 vs. 2.33±0.49和7.00±2.98 vs. 2.27±0.46(均P < 0.05)。在GPNMB骨转移灶高表达组和低表达组中的表达量分别是7.45±3.67 vs. 3.75±1.66、6.45±2.62 vs. 3.25±0.75和7.27±3.66 vs. 3.42±0.67(均P < 0.05)。

    结论 

    肾癌原发灶中GPNMB的表达可在一定程度上预测肾癌骨转移的范围,肾癌原发灶和骨转移灶中GPNMB的高表达与ERK、MMP3和MMP9高表达相关。

    Abstract:
    Objective 

    To investigate the expression and significance of GPNMB, ERK, MMP3 and MMP9 in primary lesion and bone metastasis of renal cell carcinoma, and to analyze their correlation.

    Methods 

    The expression of GPNMB, ERK, MMP3 and MMP9 in primary lesion and bone metastases of renal cell carcinoma were detected by immunohistochemistry. The correlation of GPNMB expression with the clinical pathological features of renal cell carcinoma patients with bone metastasis was analyzed.

    Results 

    GPNMB expression in primary tumor and bone metastasis were 3.65±1.87 and 5.91±3.68. There were 4, 1 and 3 cases of axial, appendicular and both axial and appendicular bone metastasis in the high GPNMB expression group, while there were 10, 5 and 0 cases in low expression group, respectively(P=0.035). The expression of ERK, MMP3 and MMP9 between the high and low GPNMB expression groups in primary tumor were 7.25±2.55 vs. 2.47±0.64, 5.25±1.91 vs. 2.33±0.49 and 7.00±2.98 vs. 2.27±0.46; while they were 7.45±3.67 vs. 3.75±1.66, 6.45±2.62 vs. 3.25±0.75 and 7.27±3.66 vs. 3.42±0.67 between the high and low GPNMB expression groups in bone metastasis (all P < 0.05).

    Conclusion 

    The expression of GPNMB in the primary lesion of renal cell carcinoma could predict the extent of bone metastasis. The high expression of GPNMB in primary lesion and bone metastases of renal cell carcinoma is associated with high expression of ERK, MMP3 and MMP9.

  • 作者贡献
    翟建坡:实验数据分析、全文统筹及文章撰写
    刘宁、王海:实验数据分析、全文统筹
    王海东:审核临床病理诊断准确性
    满立波:整体把握实验设计的合理性及文章修改
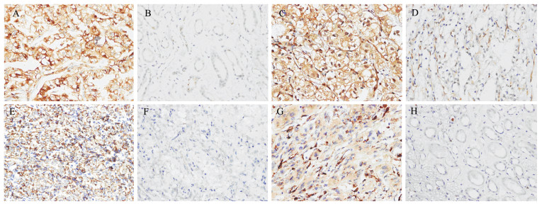
  • 图  1   GPNMB、ERK、MMP3和MMP9高表达与低表达

    Figure  1   High and low expression of GPNMB, ERK, MMP3 and MMP9

    A-B: high and low GPNMB expression; C-D: high and low ERK expression; E-F: high and low MMP3 expression; G-H: high and low MMP9 expression.

    表  1   肾癌骨转移患者的基本情况

    Table  1   Clinicopathological features of renal cell carcinoma patients with bone metastasis

    下载: 导出CSV

    表  2   原发灶GPNMB的表达与肾癌骨转移临床病理特征的关系

    Table  2   Correlation of GPNMB expression in primary tumor with clinicopathological features of renal cell carcinoma patients with bone metastasis

    下载: 导出CSV

    表  3   骨转移灶GPNMB的表达与肾癌骨转移临床病理特征的关系

    Table  3   Correlation of GPNMB expression in bone metastasis with clinicopathological features of renal cell carcinoma patients with bone metastasis

    下载: 导出CSV
  • [1]

    Bianchi M, Sun M, Jeldres C, et al. Distribution of metastatic sites in renal cell carcinoma: a population-based analysis[J]. Ann Oncol, 2012, 23(4): 973-980. doi: 10.1093/annonc/mdr362

    [2]

    Chen C, Okita Y, Watanabe Y, et al. Glycoprotein nmb Is Exposed on the Surface of Dormant Breast Cancer Cells and Induces Stem Cell-like Properties[J]. Cancer Res, 2018, 78(22): 6424-6435. http://www.wanfangdata.com.cn/details/detail.do?_type=perio&id=a94e5e4a5dc741a4b3f7f5ad52ceca83

    [3]

    Tanaka M, Homme M, Yamazaki Y, et al. Modeling Alveolar Soft Part Sarcoma Unveils Novel Mechanisms of Metastasis[J]. Cancer Res, 2017, 77(4): 897-907. doi: 10.1158/0008-5472.CAN-16-2486

    [4]

    Furuya M, Hong SB, Tanaka R, et al. Distinctive expression patterns of glycoprotein non-metastatic B and folliculin in renal tumors in patients with Birt-Hogg-Dube syndrome[J]. Cancer Sci, 2015, 106(3): 315-323. doi: 10.1111/cas.12601

    [5]

    Truong DD, Kratz A, Park JG, et al. A Human Organotypic Microfluidic Tumor Model Permits Investigation of the Interplay between Patient-Derived Fibroblasts and Breast Cancer Cells[J]. Cancer Res, 2019, 79(12): 3139-3151. doi: 10.1158/0008-5472.CAN-18-2293

    [6]

    Awolaran O, Brooks SA, Lavender V. Breast cancer osteomimicry and its role in bone specific metastasis; an integrative, systematic review of preclinical evidence[J]. Breast, 2016, 30: 156-171. doi: 10.1016/j.breast.2016.09.017

    [7]

    Fiorentini C, Bodei S, Bedussi F, et al. GPNMB/OA protein increases the invasiveness of human metastatic prostate cancer cell lines DU145 and PC3 through MMP-2 and MMP-9 activity[J]. Exp Cell Res, 2014, 323(1): 100-111. doi: 10.1016/j.yexcr.2014.02.025

    [8]

    Rose AA, Grosset AA, Dong Z, et al. Glycoprotein nonmetastatic B is an independent prognostic indicator of recurrence and a novel therapeutic target in breast cancer[J]. Clin Cancer Res, 2010, 16(7): 2147-2156. doi: 10.1158/1078-0432.CCR-09-1611

    [9] 赫崇军, 秦彩朋, 徐涛, 等.肾透明细胞癌中非转移性黑色素瘤糖蛋白B的表达及临床价值[J].中华医学杂志, 2015, 95(30): 2455-2458. doi: 10.3760/cma.j.issn.0376-2491.2015.30.011

    He CJ, Qin CP, Xu T, et al. Expression of glycoprotein non-metastatic melanoma protein B in clear-cell renal cell carcinoma and clinical implication thereof[J]. Zhonghua Yi Xue Za Zhi, 2015, 95(30): 2455-2458. doi: 10.3760/cma.j.issn.0376-2491.2015.30.011

    [10]

    Qin C, Liu Z, Yuan Y, et al. Glycoprotein non-metastatic melanoma protein B as a predictive prognostic factor in clear-cell renal cell carcinoma following radical nephrectomy[J]. Mol Med Rep, 2014, 9(3): 851-856. doi: 10.3892/mmr.2014.1896

    [11]

    Ren F, Zhao Q, Liu B, et al. Transcriptome analysis reveals GPNMB as a potential therapeutic target for gastric cancer[J]. J Cell Phys, 2020, 235(3): 2738-2752. doi: 10.1002/jcp.29177

    [12]

    Ono Y, Chiba S, Yano H, et al. Glycoprotein nonmetastatic melanoma protein B (GPNMB) promotes the progression of brain glioblastoma via Na+/K+-ATPase[J]. Biochem Biophys Res Commun, 2016, 481(1-2): 7-12. doi: 10.1016/j.bbrc.2016.11.034

    [13]

    Sondag GR, Mbimba TS, Moussa FM, et al. Osteoactivin inhibition of osteoclastogenesis is mediated through CD44-ERK signaling[J]. Exp Mol Med, 2016, 48(9): e257. doi: 10.1038/emm.2016.78

    [14]

    Yu B, Sondag GR, Malcuit C, et al. Macrophage-Associated Osteoactivin/GPNMB Mediates Mesenchymal Stem Cell Survival, Proliferation, and Migration Via a CD44-Dependent Mechanism[J]. J Cell Biochem, 2016, 117(7): 1511-1521. doi: 10.1002/jcb.25394

    [15]

    Maxwell T, Chun SY, Lee KS, et al. The anti-metastatic effects of the phytoestrogen arctigenin on human breast cancer cell lines regardless of the status of ER expression[J]. Int J Oncol, 2017, 50(2): 727-735. http://www.wanfangdata.com.cn/details/detail.do?_type=perio&id=7afe64a95c01f90ce6f2499d7d559e90

    [16]

    Szabo E, Schneider H, Seystahl K, et al. Autocrine VEGFR1 and VEGFR2 signaling promotes survival in human glioblastoma models in vitro and in vivo[J]. Neuro Oncol, 2016, 18(9): 1242-1252. doi: 10.1093/neuonc/now043

    [17]

    Weiss MB, Abel EV, Mayberry MM, et al. TWIST1 is an ERK1/2 effector that promotes invasion and regulates MMP-1 expression in human melanoma cells[J]. Cancer Res, 2012, 72(24):6382-6392. doi: 10.1158/0008-5472.CAN-12-1033

    [18]

    Nannuru KC, Futakuchi M, Varney ML, et al. Matrix Metalloproteinase (MMP)-13 Regulates Mammary Tumor–Induced Osteolysis by Activating MMP9 and Transforming Growth Factor-β Signaling at the Tumor-Bone Interface[J]. Cancer Res, 2010, 70(9): 3494-3504. doi: 10.1158/0008-5472.CAN-09-3251

    [19]

    Sabbota AL, Kim HR, Zhe X, et al. Shedding of RANKL by tumor-associated MT1-MMP activates Src-dependent prostate cancer cell migration[J]. Cancer Res, 2010, 70(13): 5558-5566. doi: 10.1158/0008-5472.CAN-09-4416

图(1)  /  表(3)
计量
  • 文章访问数:  2025
  • HTML全文浏览量:  583
  • PDF下载量:  490
  • 被引次数: 0
出版历程
  • 收稿日期:  2019-10-13
  • 修回日期:  2020-03-02
  • 网络出版日期:  2024-01-12
  • 刊出日期:  2020-05-24

目录

    Corresponding author: MAN Libo, jstmnwk@126.com

    1. On this Site
    2. On Google Scholar
    3. On PubMed

    /

    返回文章
    返回
    x 关闭 永久关闭