高级搜索

青少年颅骨孤立性浆细胞瘤1例报道

杨宁, 成志勇, 李田阳, 司淼, 王丽莉, 李飞, 商永, 许立刚

杨宁, 成志勇, 李田阳, 司淼, 王丽莉, 李飞, 商永, 许立刚. 青少年颅骨孤立性浆细胞瘤1例报道[J]. 肿瘤防治研究, 2017, 44(1): 79-80. DOI: 10.3971/j.issn.1000-8578.2017.01.017
引用本文: 杨宁, 成志勇, 李田阳, 司淼, 王丽莉, 李飞, 商永, 许立刚. 青少年颅骨孤立性浆细胞瘤1例报道[J]. 肿瘤防治研究, 2017, 44(1): 79-80. DOI: 10.3971/j.issn.1000-8578.2017.01.017
YANG Ning, CHENG Zhiyong, LI Tianyang, SI Miao, WANG Lili, LI Fei, SHANG Yong, XU Ligang. One Case of Solitary Plasmacytoma of Skull Bone with Teenagers[J]. Cancer Research on Prevention and Treatment, 2017, 44(1): 79-80. DOI: 10.3971/j.issn.1000-8578.2017.01.017
Citation: YANG Ning, CHENG Zhiyong, LI Tianyang, SI Miao, WANG Lili, LI Fei, SHANG Yong, XU Ligang. One Case of Solitary Plasmacytoma of Skull Bone with Teenagers[J]. Cancer Research on Prevention and Treatment, 2017, 44(1): 79-80. DOI: 10.3971/j.issn.1000-8578.2017.01.017

青少年颅骨孤立性浆细胞瘤1例报道

基金项目: 

河北省科技计划项目 162777120D

详细信息
    作者简介:

    杨宁(1978-),男,硕士,副主任医师,主要从事恶性肿瘤的多重耐药研究

    通信作者:

    成志勇,E-mail: dzczy@sohu.com

  • 中图分类号: R733.73

One Case of Solitary Plasmacytoma of Skull Bone with Teenagers

More Information
  • 图  1   颅骨孤立性浆细胞瘤(HE×400)

    Figure  1   Solitary plasmacytoma of skull bone (HE×400)

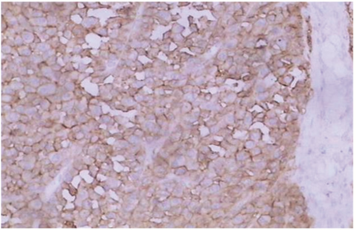
    图  2   颅骨孤立性浆细胞瘤CD138免疫组织化学染色(×400)

    Figure  2   CD138 immunohistochemical staining of solitary plasmacytoma of skull bone (×400)

  • [1]

    Tefferi A, Vardiman JW.Classification and diagnosis of myeloproliferative neoplasms: The 2008 World Health Organization criteria and point-of-care diagnostic algorithms[J].Leukemia, 2008, 22(1): 14-22. doi: 10.1038/sj.leu.2404955

    [2]

    Krishnamoorthy N, Bal MM, Ramadwar M, et al.A rare case of primary gastric plasmacytoma: an unforeseen surprise[J].J Cancer Res Ther, 2010, 6(4): 549-51. doi: 10.4103/0973-1482.77067

    [3] 王晶, 景红梅, 李敏, 等.14例髓外浆细胞瘤患者的临床特征分析及治疗[J].中国肿瘤临床, 2014, 41(10): 639-42. http://www.cnki.com.cn/Article/CJFDTOTAL-ZGZL201410007.htm

    Wang J, Jing HM, Li M, et al.Clinical analysis and treatment of 14 multiple myeloma patients with extramedullary plasmacytoma[J].Zhongguo Zhong Liu Lin Chuang, 2014, 41(10): 639-42. http://www.cnki.com.cn/Article/CJFDTOTAL-ZGZL201410007.htm

    [4]

    Warsame R, Gertz MA, Lacy MQ, et al.Trends and outcomes of modern staging of solitary plasmacytoma of bone[J].Am J Hematol, 2012, 87(7): 647-51. doi: 10.1002/ajh.23201

    [5] 林丽.髓外浆细胞瘤研究的新进展[J].国际输血及血液学杂志, 2012, 35(6): 543-5. http://d.wanfangdata.com.cn/Periodical/gwyx-sxjxyxfc201206017

    Lin L.New progress in extramedullary plasma cell tumor study[J].Guo Ji Shu Xue Ji Xue Ye Xue Za Zhi, 2012, 35(6): 543-5. http://d.wanfangdata.com.cn/Periodical/gwyx-sxjxyxfc201206017

    [6]

    Dores GM, Landgren O, Mcglynn KA, et al.Plasmacytoma of bone, extramedullary plasmacytoma, and multiple myeloma: incidence and survival in the United States, 1992-2004[J].Br J Haematol, 2009, 144(1): 86-94. doi: 10.1111/bjh.2008.144.issue-1

    [7]

    Katodritou E, Kartsios C, Gastari V, et al.Successful treatment of extramedullary gastric plasmacytoma with the combination of bortezomib and dexamethasone: First reported case[J].Leuke Res, 2008, 32(2): 339-41. doi: 10.1016/j.leukres.2007.04.016

    [8] 蒋红艳, 姚安贵, 江尚飞.青蒿琥酯诱导肿瘤细胞凋亡的研究进展[J].中国生化药物杂志, 2014, 34(6): 181-3. http://www.cnki.com.cn/Article/CJFDTOTAL-SHYW201406057.htm

    Jiang HY, Yao AG, Jiang SF.Research progresses of artesunate in inducing tumor cell apoptosis[J].Zhongguo Sheng Hua Yao Wu Za Zhi, 2014, 34(6): 181-3. http://www.cnki.com.cn/Article/CJFDTOTAL-SHYW201406057.htm

图(2)
计量
  • 文章访问数:  1617
  • HTML全文浏览量:  481
  • PDF下载量:  683
  • 被引次数: 0
出版历程
  • 收稿日期:  2016-05-17
  • 修回日期:  2016-09-19
  • 网络出版日期:  2024-01-12
  • 刊出日期:  2017-01-24

目录

    XU Ligang

    1. On this Site
    2. On Google Scholar
    3. On PubMed

    /

    返回文章
    返回
    x 关闭 永久关闭