文章信息
- 张凌杭,吴丽云,杨万斌,文彬.
- ZHANG Linghang, WU Liyun, YANG Wanbin, WEN Bin.
- TGF-β诱导乳鼠上皮组织DNA甲基转移酶及相关miRNA表达的研究
- TGF-β Induced Abnormal Expression Level of DNA Methyltransferase and Related miRNA During Neonatal Rat Colon Tissue Culture
- 肿瘤防治研究, 2016, 43(03): 169-174
- Cancer Research on Prevention and Treatment, 2016, 43(03): 169-174
- http://www.zlfzyj.com/CN/10.3971/j.issn.1000-8578.2016.03.001
-
文章历史
- 收稿日期: 2015-05-20
- 修回日期: 2015-07-0
肿瘤微环境是肿瘤形成的重要土壤,在肿瘤发生的早期阶段,潜在致瘤细胞与它们相邻的正常细胞构成了癌前病变重要的微环境,癌前细胞(altered/preneoplastic/neoplastic cells)与相邻微环境之间存在广泛的重塑[1]。TGF-β是肿瘤微环境中一类重要的调控细胞因子,对肿瘤微环境的重塑、细胞表型的转变起着重要的调节作用。在微环境的重塑过程中,TGF-β以自分泌和旁分泌的方式参与调节上皮细胞、间质细胞表型的转变[2, 3],这一过程表观遗传调控起着关键性的作用,决定了肿瘤的启动与否[4]。DNA甲基化是表观遗传调控的重要机制之一,通过DNA甲基转移酶(DNA methyltransferase,Dnmt)催化和维持。在哺乳动物中,已报道的Dnmts有三种,即Dnmt1、Dnmt2和Dnmt3,其中Dnmt1主要作用为维持甲基化,Dnmt3a和Dnmt3b为从头甲基化[5];Dnmt2表达很低,常常难以观察到,对于Dnmt2的功能一直存在争议,在本论文中不做讨论。在肿瘤细胞中,Dnmt基因表达升高先于甲基化变化,因此有人认为Dnmt活性异常变化是癌细胞的一个特征性的早期分子改变。miRNA是表观遗传机制的重要内容,与DNA甲基化相互调控[6]。本研究通过文献和Targetscan等数据库,选取了能够调节Dnmts的三种miRNA,研究肠上皮细胞体外培养过程中,TGF-β干预对肠组织相关表观遗传机制的影响。
1 材料与方法 1.1 材料和主要试剂出生3 d的SD大鼠,购自广东省实验动物中心,许可证号SCXK(粤)2008-0002;DMEM高糖培养液、胎牛血清、D-Hanks溶液、青链霉素均购自美国Gibco公司,5-Aza-dC、牛垂体提取物购自美国Sigma公司;转化生长因子β1(TGF-β1)购自美国Pepro Tech公司;反转录试剂盒PrimeScript® RT Master Mix购自日本TaKaRa公司;qPCR试剂盒SYBR Green qPCR SuperMix购自美国GeneCopoeia公司;qPCR引物购自美国Invitrogen公司。
1.2 方法 1.2.1 组织块培养及分组3 d的SD大鼠置于75%乙醇中,无菌条件下取结肠,4℃预冷的D-Hanks清洗液中清洗,纵向剖开,剪为1~2 mm3大小的组织块。将组织块均匀地接种于六孔板中,用含10%胎牛血清的DMEM高糖完全培养液培养,内含5 ng/ml牛垂体提取物,100 u/ml青霉素和100 μg/ml链霉素(基础培养液),置于37℃、5%CO2细胞培养箱中培养。实验分组如下:(1)空白组用基础培养液培养72 h;(2)对照组用基础培养液添加10 ng/ml TGF-β培养72 h;(3)实验组用添加了10 ng/ml TGF-β的基础培养液培养48 h后,改用添加2.5 μmol/L 5-Aza-dC的基础培养液继续培养24 h。分别在未培养以及培养24、48、72 h时取组织块,冻存于超低温冰箱。
1.2.2 HE染色标本经4%多聚甲醛固定,石蜡包埋后,制成4 μm厚的连续切片。常规脱蜡水化,PBS冲洗,苏木精对比染色,冲洗返蓝,曙红染色,乙醇脱水,二甲苯透明,中性树胶封片,显微镜下观察结果。
1.2.3 RT-PCR检测Dnmts及miRNA表达差异组织块培养过程中,用TGF-β处理乳鼠组织块,检测TGF-β处理后Dnmts表达的改变和Dnmts相关的miRNA表达水平的改变,以及去甲基化药物5-Aza-dC的干预作用。取组织标本,常规提取总RNA,按反转录试剂盒说明操作,RNA反转录成cDNA,再按qPCR试剂盒要求进行PCR实验。miRNA的反转录采用茎环法。反转录引物:rno-miR-429为:5’-GTCGTATCCAGTGCAGGGTCCGAGGTATTCGCACTGGATACGACACGGC-3’;rno-miR-152-5p为:5’-GTCGTATCCAGTGCAGGGTCCGAGGTATTCGCACTGGATACGACAGTCG-3’;rno-29a-5p为:5’-GTCGTATCCAGTGCAGGGTCCGAGGTATTCGCACTGGATACGACCTGAA-3’。miRNA的PCR反应引物:rno-miR-429上游引物序列为:5’-TGTAATACTGTCTGGTAATGC-3’,下游引物序列为:5’-GTGCAGGGTCCGAGGTATTC-3’;rno-miR-152-5p上游引物序列为:5’-AGGTTCTGTGATACACTCCG-3’,下游引物序列为:5’-GTGCAGGGTCCGAGGTATTC-3’;rno-29a-5p上游引物序列为:5’-TGACTGATTTCTTTTGGTGTTC-3’,下游引物序列为:5’-GTGCAGGGTCCGAGGTATTC-3’,U6上游引物序列为:5’-TGCTTCGGCAGCACATATAC-3’,下游引物序列为:5’-ACGAATTTGCGTGTCATCCT-3’。Dnmts的反应引物:DNMT1上游引物序列为:5’-ATGGCTTAACAGAAAAGGAGTG-3’,下游引物序列为:5’-GCCAGGTAGCCTTCCTCAGACAA-3’;DNMT3A上游引物序列为:5’-GGCACTCGCTGGGTCATGTGG-3’,下游引物序列为:5’-GCTGGCCACCTGGAGGACTTC-3’;DNMT3B上游引物序列为:5’-AGTGGGTATGAGGACTGTATCAT-3’,下游引物序列为:5’-AGACTGGCTCTGTGCAGATTG-3’;内对照GAPDH的上游引物序列为:5’-GGTCGGTGTGAACGGATTTGG-3’,下游引物序列为:5’-GTAGACCATGTAGTTGAGGTC-3’。miRNA的反转录反应体系为:总RNA 1 000 ng,5×PrimerScript RT Master Mix 4 μl,miRNA 反转录引物(终浓度50 nmol/L),加无酶水至总体积20 μl。Dnmts的反转录反应体系为:总RNA 1 000 ng,5×PrimerScript RT Master Mix 4 μl,加无酶水至总体积20 μl。37℃孵育30 h。PCR反应体系(总反应体系20 μl):2×SYBR Green qPCR SuperMix 10 μl,ddH2O 6 μl,上下游引物混合液(3 μmol/L)2 μl,cDNA(1:5)2 μl;95℃预变性1 min,95℃变性6 s,60℃退火20 s,40个循环。U6和GAPDH为内参。各样品和内参分别进行定量PCR反应。数据采集后计算2-ΔΔCT,即为每个基因的相对表达量。
1.3 统计学方法所有实验均独立重复3次。采用SPSS19.0软件进行统计学分析,均数间比较用t检验。所有资料的数据均以(x±s)表示,P<0.05为差异具有统计学意义。
2 结果 2.1 TGF-β促进组织块生长,5-Aza-dC抑制组织生长乳鼠大肠组织块在培养过程中呈现明亮的淡黄色,空白组在开始培养时隐窝形态清晰可见,见图 1A,培养过程中有细胞从组织中向外迁移,迁移出的细胞由组织边缘向外呈铺路石状扩散,贴壁生长于培养皿底,隐窝结构逐渐崩解,见图 1B。对照组组织块边缘迁移出的细胞数量与空白组相比,细胞数量相对较多且较密集,见图 2A~2B。可见TGF-β对组织生长有促进作用。实验组相应组织块周围的细胞明显比对照组减少,可知5-Aza-dC抑制组织块的生长,见图 2C。
|
| A: the morphology of tissue was normal before culture, goblet cells and supported lamina propria were orderly arranged(×200); B: after cultured in basic media, the goblet cells were replaced by the columnar epithelial cells, the crypt and villus were deformed and became loose(×200); C: the tissue morphology could not be kept after TGF-β interference, especially the epithelial layer was disintegrated(×100 图 1 倒置显微镜下的乳鼠大肠组织块形态 (×250) Fig. 1 Morphology of neonatal rat’s colon tissues detected by inverted microscope (×250) |
|
| Compared with basic media(A), cells number around the tissue were more intensive in the basic media with 10ng/ml TGF-β1(B) after 72h; in the media with 2.5μmol/L 5-Aza-dC after TGF-β interference(C), cells number around the tissue were declined The intestinal crypt and villus of colon were clear and could be observed in the early stage of culture (A); during the tissue culture, cells migrated from the edge of the tissues and grew like paving stone on the bottom of petri dish, the morphology of the tissue was changed and the intestinal crypt and villus gradually disintegrated, the cells grew around the tissues (B) 图 2 倒置显微镜下可见乳鼠大肠组织块边缘及迁移出的细胞数变化 (×250) Fig. 2 Change of neonatal rat’s tissue edge and migrated cells number during culture under inverted microscope (×250) |
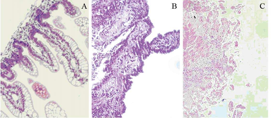
空白组组织块切片后HE染色,镜下观察组织块的上皮结构在未培养时能见到清晰的隐窝及绒毛结构,可见黏膜上皮层、上皮细胞下固有层,见图 3A。经培养后,组织块绒毛上的杯状上皮细胞消失,观察到上皮层由柱状上皮细胞构成肠绒毛并形成隐窝,见图 3B。对照组中组织分层结构紊乱,可见上皮层明显崩解破碎,上皮细胞下固有层核深染,见图 3C。
|
| 图 3 乳鼠大肠组织HE染色结果 Fig. 3 HE staining results of neonatal rat's colon tissues |
对照组培养24 h后,Dnmt1基因表达量较空白组明显降低,但48 h后,对照组中Dnmt1的表达逐渐增加,72 h其相对表达量升高为(0.78827±0.04739),此时空白组的相对表达量为(0.33688±0.11061),两组比较差异有统计学意义(P=0.003)。可知TGF-β干预组织块生长过程中,Dnmt1表达量在培养早期降低后持续上升。Dnmt3a和Dnmt3b对照组的表达量与空白组相比有所降低,Dnmt3a在TGF-β干预过程中表达量的变化趋势为逐渐升高,但在72 h时仍低于空白组[(1.07838±0.16558)vs.(0.48348±0.10378),P=0.006];Dnmt3b表达量在TGF-β干预过程中呈一过性下降后逐渐升高,72 h时与空白组相比下降[(4.33481±0.55105)vs.(1.44989±0.34180),P=0.002)]。实验组中Dnmts经5-Aza-dC干预72 h后Dnmt1、Dnmt3a、Dnmt3b的表达均未检测到,见表 1。
通过大量文献和Targetscan、Pictar等数据库,查找了调控Dnmt1、Dnmt3a和Dnmt3b三个关键酶的主要miRNA作为检测标志物,分别为rno-microRNA-152、rno-microRNA-29a、rno-microRNA-429。对照组三个miRNA的表达量较空白组均明显下调,72 h的表达量对照组vs.空白组,两组对比差异有统计学意义(miRNA-29a P=0.001; miRNA-429 P=0.006),而rno-microRNA-152在72 h的表达量(1.53881±0.50855)较空白组(29.65288±13.77565),差异无统计学意义(P=0.072)。经过5-Aza-dC干预后,实验组rno-microRNA-29a和rno-microRNA-429的表达量升高,实验组vs.对照组(miRNA-29a P=0.002; miRNA-429 P=0.0001),而rno-microRNA-152表达水平在5-Aza-dC干预后数值虽有所上升,但是与对照组相比表达量较低且差异没有统计学意义[(1.02741±0.50992)vs.(1.53881±0.50855),P=0.286]。rno-microRNA-29a在实验72 h空白组中的相对表达量为(56.19267±3.47506),较对照组的相对表达量(2.53252±0.09008)差异无统计学意义(P=0.001),实验组经过5-Aza-dC干预后的相对表达量上调至(38.18471±2.47330)。对于rno-microRNA-429来说也有相似的表达改变,实验组中经5-Aza-dC干预后,其表达量为(0.39290±0.03125),接近空白组(0.41289±0.04024)且远高于对照组(0.09948±0.00507),(空白组vs.实验组,P=0.5339),见表 2。
![]() |
120多年之前,Paget提出的“种子和土壤”学说已经阐述了组织周围微环境对肿瘤发生发展的重要作用。现代生物学已经认识到,任何组织微环境必然影响其中的细胞,不论是正常细胞、癌前细胞还是肿瘤细胞;反之,组织微环境也能被细胞所影响并发生重塑[1]。TGF-β参与肿瘤微环境中各种细胞之间的应答,对肿瘤微环境的重塑、细胞表型的转变起着重要的调节作用[3]。因此,在本实验研究中,我们以大肠组织体外培养为实验体系,对TGF-β引起肠上皮组织转变的相关机制进行了一个初步的研究。
在上皮细胞早期恶变,细胞身份转变的过程中,表观遗传相关机制起着决定性的作用[7]。DNA甲基化是表观遗传调控的重要机制之一,通过Dnmt催化和维持,其异常表达发生在DNA甲基化异常之前[8, 9],Dnmt的表达水平改变一定程度上能够体现DNA甲基化的改变。不同表观调控机制之间存在着密切的相互调控关系,Dnmt的表达活性受miRNA调节;与蛋白编码基因相似,miRNA基因对DNA甲基化调控也反应敏感,CpG岛的高甲基化不但与蛋白编码基因沉默有关,而且也会显著影响miRNA基因的转录活性[10]。因此,在观察TGF-β对上皮组织转变过程中Dnmt表达水平的影响时,我们通过大量文献和Targetscan,Pictar等数据库,查找了调控Dnmt1、Dnmt3a和Dnmt3b三个关键酶的主要miRNA作为检测标志物,其中microRNA-429主要靶向Dnmt3a,microRNA-29a靶向Dnmt3a、Dnmt3b[11],microRNA-152主要靶向Dnmt1[12]。
microRNA-429在肿瘤发生过程中表达水平下降[13, 14],microRNA-152能够靶向抑制Dnmt1的表达[12, 15],在多种癌症[16, 17, 18, 19]中表达下调。microRNA-29a靶向调节Dnmt3a和Dnmt3b[11, 20],其在肝癌[21]、肺癌[20]等肿瘤中低表达,表达下调的程度与肿瘤的预后有关[22]。TGF-β1干预后三个抑癌microRNA的表达均下调,同时Dnmts的表达下调,组织可能处于低甲基化水平。低甲基化与基因组不稳定性相关,可导致DNA复制错配率增高,从而引起基因突变[23]。全基因组低甲基化在肿瘤发生过程中普遍存在,是肿瘤早期的特征之一[24],更是结直肠癌中一个普遍存在的问题[25]。TGF-β干预后miRNA和Dnmts表达水平异常,发生一系列表观遗传调控,组织微环境稳态被破坏而转变为肿瘤微环境。
TGF-β干预后的Dnmts与相关microRNAs表达均下调,与两者之间的负调控关系相互矛盾。这可能与TGF-β作为一种多效性的细胞因子,能够直接或间接激活多条细胞通路,调节基因表达相关。有研究发现在培养体系中加入TGF-β1,能使肺腺癌细胞中的Dnmts表达水平下调[26],但是也有研究表明加入TGF-β后卵巢癌细胞中的Dnmts表达水平上调[27]。而且miRNA是多对多的调控,miRNA的表达同样受多种因素调控,有研究表明miRNA的表达水平受缺氧状态调节[28]。组织块培养体系中多种细胞之间及细胞与周围环境间的相互作用,包含更加复杂的调控体系。表观遗传调控机制之间相互作用和影响,形成复杂的调控网络,其中的机制还有待进一步研究。用甲基转移酶抑制剂5-Aza-dC干预后抑癌microRNA-29a、microRNA-429的表达量明显上升至接近空白组的水平。而microRNA-152的表达水平低于对照组,与空白组差异较大,但差异无统计学意义(P>0.05),TGF-β作用后组织细胞内的信号通路调节异常,Dnmt1维持甲基化可能发生异常。
总之,TGF-β1使微环境平衡被打破并处于被动激活状态,影响微环境中的细胞,使细胞被激活,转向有利于肿瘤发生的方向。本实验试图研究在TGF-β1干预的情况下,组织块中表观遗传调控机制,特别是DNA甲基化的改变。实验结果表明组织块中的Dnmts及相关miRNAs在TGF-β1干预后表达水平均发生异常改变。甲基转移酶抑制剂5-Aza-dC是一种表观遗传治疗药物,作用后Dnmts表达无法检测出,miRNA的表达水平相应上调,在培养体系中能发挥治疗作用。本实验明确了TGF-β1作用于大肠组织块后DNA甲基化的异常改变及5-Aza-dC的作用,为进一步研究治疗肿瘤的有效药物及其作用机制提供了依据。
| [1] | Laconi E. The evolving concept of tumor microenvironments[J]. Bioessays, 2007, 29(8): 738-44. |
| [2] | Papageorgis P, Stylianopoulos T. Role of TGFbeta in regulation of the tumor microenvironment and drug delivery (Review)[J]. Int J Oncol, 2015, 46(3): 933-43. |
| [3] | Pickup M, Novitskiy S, Moses HL. The roles of TGFβ in the tumour microenvironment[J]. Nat Rev Cancer, 2013, 13(11): 788-99. |
| [4] | Khin SS, Kitazawa R, Kondo T, et al. Epigenetic alteration by DNA promoter hypermethylation of genes related to transforming growth factor-β(TGF-β) signaling in cancer[J]. Cancers (Basel), 2011, 3(1): 982-93. |
| [5] | Klose RJ, Bird AP. Genomic DNA methylation: the mark and its mediators[J]. Trends Biochem Sci, 2006, 31(2): 89-97. |
| [6] | Han L, Witmer PD, Casey E, et al. DNA methylation regulates MicroRNA expression[J]. Cancer Biol Ther, 2007, 6(8): 1284-8. |
| [7] | Baylin SB, Ohm JE. Epigenetic gene silencing in cancer-a mechanism for early oncogenic pathway addiction[J]. Nat Rev Cancer, 2006, 6(2): 107-16. |
| [8] | Chen XJ, Yan SC, Shao G. Classification and functions of DNA methyltransferases[J].Baotou Yi Xue Yuan Xue Bao, 2014, 30(4): 136-8. [陈晓娟, 闫少春, 邵国. 人DNA甲基化转移酶的分类及其功能[J]. 包头医学院学报, 2014, 30(4): 136-8.] |
| [9] | Zhang LL, Wu JX. DNA Methylation: An Epigenetic Mechanism for Tumorigenesis[J].Yi Chuan, 2006, 28(7): 880-5. [张丽丽, 吴建新. DNA甲基化——肿瘤产生的一种表观遗传学机制[J]. 遗传, 2006, 28(7): 880-5.] |
| [10] | Man CL, Tang GX, Zhao L, et al. DNA Methylation and microRNA[J].Zhongguo Sheng Wu Gong Cheng Za Zhi, 2014, 8: 81-7. [满朝来, 唐高霞, 赵丽, 等. DNA甲基化与microRNA[J]. 中国生物工程杂志, 2014, 8: 81-7.] |
| [11] | Garzon R, Liu S, Fabbri M, et al. MicroRNA-29b induces global DNA hypomethylation and tumor suppressor gene reexpression in acute myeloid leukemia by targeting directly DNMT3A and 3B and indirectly DNMT1[J]. Blood, 2009, 113(25): 6411-8. |
| [12] | Ji W, Yang L, Yuan J, et al. MicroRNA-152 targets DNA methyltransferase 1 in NiS-transformed cells via a feedback mechanism[J]. Carcinogenesis, 2013, 34(2): 446-53. |
| [13] | Humphries B, Yang C. The microRNA-200 family: small molecules with novel roles in cancer development, progression and therapy[J]. Oncotarget, 2015, 6(9): 6472-98. |
| [14] | Sun Y, Shen S, Liu X, et al. MiR-429 inhibits cells growth and invasion and regulates EMT-related marker genes by targeting Onecut2 in colorectal carcinoma[J]. Mol Cell Biochem, 2014, 390(1-2): 19-30. |
| [15] | Miao CG, Yang YY, He X, et al. MicroRNA-152 modulates the canonical Wnt pathway activation by targeting DNA methyltransferase 1 in arthritic rat model[J]. Biochimie, 2014, 106: 149-56. |
| [16] | Zhou X, Zhao F, Wang ZN, et al. Altered expression of miR-152 and miR-148a in ovarian cancer is related to cell proliferation[J]. Oncol Rep, 2012, 27(2): 447-54. |
| [17] | Tsuruta T, Kozaki K, Uesugi A, et al. miR-152 is a tumor suppressor microRNA that is silenced by DNA hypermethylation in endometrial cancer[J]. Cancer Res, 2011, 71(20): 6450-62. |
| [18] | Chen Y, Song Y, Wang Z, et al. Altered expression of MiR-148a and MiR-152 in gastrointestinal cancers and its clinical significance[J]. J Gastrointest Surg, 2010, 14(7): 1170-9. |
| [19] | Xu Q, Jiang Y, Yin Y, et al. A regulatory circuit of miR-148a/152 and DNMT1 in modulating cell transformation and tumor angiogenesis through IGF-IR and IRS1[J]. J Mol Cell Biol, 2013, 5(1): 3-13. |
| [20] | Fabbri M, Garzon R, Cimmino A, et al. MicroRNA-29 family reverts aberrant methylation in lung cancer by targeting DNA methyltransferases 3A and 3B[J]. Proc Natl Acad Sci U S A, 2007, 104(40): 15805-10. |
| [21] | Xiong Y, Fang JH, Yun JP, et al. Effects of microRNA-29 on apoptosis, tumorigenicity, and prognosis of hepatocellular carcinoma[J]. Hepatology, 2010, 51(3): 836-45. |
| [22] | Zhao JJ, Lin J, Lwin T, et al. microRNA expression profile and identification of miR-29 as a prognostic marker and pathogenetic factor by targeting CDK6 in mantle cell lymphoma[J]. Blood, 2010, 115(13): 2630-9. |
| [23] | Suzuki K, Suzuki I, Leodolter A, et al. Global DNA demethylation in gastrointestinal cancer is age dependent and precedes genomic damage[J]. Cancer Cell, 2006, 9(3): 199-207. |
| [24] | Ehrlich M. DNA hypomethylation in cancer cells[J]. Epigenomics, 2009, 1(2): 239-59. |
| [25] | GoelA, Boland CR. Epigenetics of colorectal cancer[J]. Gastroenterology, 2012, 143(6): 1442-60. |
| [26] | Li DT, Wu YF, Xue CJ, et al. TGF-β1 Regulated the A549 Cells Sensitivity to Cisplatin through DNMT1[J].Zhongguo Xi Bao Sheng Wu Xue Xue Bao, 2014, 36(11): 1491-6. [李德涛, 吴艳凤, 薛成军, 等. TGF-β1经DNMT1调控肺癌A549细胞对顺铂的敏感性[J]. 中国细胞生物学学报, 2014, 36(11): 1491-6.] |
| [27] | Cardenas H, Vieth E, Lee J, et al. TGF-beta induces global changes in DNA methylation during the epithelial-to-mesenchymal transition in ovarian cancer cells[J]. Epigenetics, 2014, 9(11): 1461-72. |
| [28] | Kulshreshtha R, Ferracin M, Wojcik SE, et al. A microRNA signature of hypoxia[J]. Mol Cell Biol, 2007, 27(5): 1859-67. |
2016, Vol. 43




