文章信息
- 孙星,李玉富,杜建伟,董丽华,高雪,李钢萍,魏旭东,宋永平. 2015.
- SUN Xing, LI Yufu, DU Jianwei, DONG Lihua, GAO Xue, LI Gangping, WEI Xudong, SONG Yongping. 2015.
- 鼻腔NK/T细胞淋巴瘤治疗后并发传染性单核细胞增多症1例报道并文献复习
- Infectious Mononucleosis Syndrome as Complication of Nasal NK/T Cell Lymphoma after Chemotherapy:A Case Report and Literature Reviews
- 肿瘤防治研究, 2015, 42(09): 950-952
- Cancer Research on Prevention and Treatment, 2015, 42(09): 950-952
- http://www.zlfzyj.com/CN/10.3971/j.issn.1000-8578.2015.09.020
-
文章历史
- 收稿日期:2014-11-25
- 修回日期:2015-03-18
结外NK/T细胞淋巴瘤是一种原发于鼻腔的正常淋巴细胞异常激活和(或)异常分化的恶性肿瘤,其中鼻腔是常见部位,也可发生在皮肤、胃肠道、肺、心脏等部位[1, 2, 3]。结外NK/T细胞淋巴瘤易并发嗜血细胞综合征(hemophagocytic syndrome,HPS),但合并传染性单核细胞增多症(infectious mononucleosis,IM)的概率较低,国内外未见报道。IM和HPS在临床表现上具有较高的相似性,但两者预后差异较大,因此鉴别诊断十分重要。EB病毒(Epstein Barr virus,EBV)感染是NK/T细胞淋巴瘤发病的一个重要因素,且病毒的含量与预后密切相关。本文报道了河南省血液病研究所血液科1例鼻腔NK/T细胞淋巴瘤患者化疗后获得完全缓解后出现IM的病例,现将该病例的临床特征及其实验室资料进行总结分析,并进行文献复习。
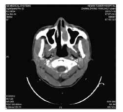
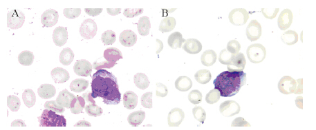
1 病例资料患者,男,22岁,因“左侧鼻塞2月”于2013年7月就诊,无发热、盗汗、体重减轻。血常规、凝血功能、乳酸脱氢酶(LDH)均正常,EBV-DNA 1.05×105/L。CT示:左侧鼻腔内见团块状软密度组织影,左侧下鼻甲部分骨质被破坏,左侧上颌窦内见密度增高影,窦壁骨质结构未见明显异常,左侧上颌窦少许炎症,见图 1。彩超示:双侧颈部、锁骨上下区、腋窝、腹股沟、肝、胆、胰、脾、腹主动脉及下腔静脉旁淋巴结均未见异常。骨髓细胞学检查未见异常。行左侧鼻腔肿物切除术,病理示:(左侧鼻腔)非霍奇金淋巴瘤,免疫组织化学:CD2(+),CD56(+),Granzyme-B(+),CD3(+),CD20(-),Ki-67(+60%),EBER(+),符合结外NK/T细胞淋巴瘤,鼻型,见图 2。诊断:结外NK/T细胞淋巴瘤,鼻型,ⅠA期,IPI评分0分。给予地塞米松+异环磷酰胺+顺铂+依托泊苷+门冬酰胺酶(DICE+L-asp)方案化疗6个疗程。化疗后行PET-CT检查完全缓解,见图 3。6个疗程化疗后第7天出现持续发热,最高39.5℃,无寒战、伴咳嗽、腹胀、腹痛、便血。查体:中度贫血貌,全身皮肤黏膜中度黄染,无皮下出血。口腔黏膜完整,咽充血、水肿、双侧扁桃体无肿大。颈后三角区可触及一2 cm×2 cm肿大淋巴结,质韧、无压痛、固定,余浅表淋巴结未触及肿大。心肺听诊无异常。腹部轻度肿胀,右下腹轻压痛,无反跳痛。肝脏肋缘下3 cm,质中,无压痛。脾肿大,肋缘下3 cm。双下肢轻度水肿。辅助检查:D-二聚体 2.0 mg/L,纤维蛋白原0.26 g/L;血常规: WBC 0.98×109/L,HB 21 g/L,PLT 11×109/L,淋巴细胞 0.56×109/L。肝功能:总胆红素103.7 μmol/L,直接胆红素93.7 μmol/L,间接胆红素10.0 μmol/L,谷丙转氨酶 93 u/L,谷草转氨酶524 u/L,白蛋白27.5 g/L,β2微球蛋白3.78 mg/L。EBV-DNA 3.02×105/L;CMV-DNA(-)。铁蛋白2 000 μg/L。外周血象:淋巴细胞占58%,异型淋巴细胞占34%,见图 4。骨髓象:淋巴细胞占7.5%,其中异型淋巴细胞占3%,见图 5。综合考虑诊断为鼻腔NK/T细胞淋巴瘤合并IM,给予更昔洛韦、阿糖腺苷抗病毒治疗,同时给予抗感染、保肝、输血等对症支持治疗,患者病情好转,症状体征消失,血象与肝功能等实验室检查正常。现已临床随访半年,病情稳定。
|
| 图 1 鼻腔NK/T细胞淋巴瘤治疗后并发传染性单核细胞增多症患者鼻咽CT影像学表现 Figure 1 Nasopharyngeal CT imaging of patient with nasal NK/T cell lymphoma complicating infectious mononucleosis after chemotherapy |
|
| A:The conventional dyeing of lymph node lesions (HE ×200);B:The negative expression of CD20(IHC ×200);C:The positive expression of Ki-67(IHC ×200);D:The positive expression of CD56(IHC ×200) 图 2 鼻腔NK/T细胞淋巴瘤治疗后并发传染性单核细胞增多症患者病理常规及免疫组织化学 Figure 2 Pathological and immunohistochemical staining of the patient with nasal NK/T cell lymphoma complicating infectious mononucleosis after chemotherapy |
|
| 图 3 鼻腔NK/T细胞淋巴瘤治疗后并发传染性单核细胞增多症患者鼻咽18F-FDG PET-CT影像学表现 Figure 3 Nasopharyngeal 18F-FDG PET-CT imaging of patient with nasal NK/T cell lymphoma complicating infectious mononucleosis after chemotherapy |
|
| A,B: Different views of the same cells 图 4 鼻腔NK/T细胞淋巴瘤治疗后并发传染性单核细胞增多症患者外周血细胞形态(瑞士-吉姆萨染色×1000) Figure 4 Peripheral blood cell morphology of patient with nasal NK/T cell lymphoma complicating infectious mononucleosis after chemotherapy (Switzerland-Giemsa staining ×1000) |
|
| A,B: Different views of the same cells 图 5 鼻腔NK/T细胞淋巴瘤治疗后并发传染性单核细胞增多症患者骨髓细胞形态(瑞士吉姆萨染色×1000) Figure 5 Bone marrow cells morphology of patient with nasal NK/T cell lymphoma complicating infectious mononucleosis after chemotherapy (Switzerland-Giemsa staining ×1000) |
NK/T细胞淋巴瘤是一种少见的类型,在所有非霍奇金淋巴瘤中<10%,代表一组发生在淋巴结外,组织学上细胞具有多形性、含NK/T细胞标志的淋巴瘤亚型[1]。该型肿瘤伴血管中心性浸润,有明显组织坏死和血管破坏,多发生在鼻咽部,多数病例为EBV+CD56+的NK细胞肿瘤,少数为EBV+CD56-的细胞毒性T细胞肿瘤,因此命名为NK/T细胞淋巴瘤,而不是NK细胞淋巴瘤。80%~100%鼻腔NK/T细胞淋巴瘤与EBV感染相关。且LMPl、LMP2为鼻型NK/T细胞淋巴瘤的潜在预后标志物[4]。
EBV是一种与多种淋巴瘤亚型相关的转化病毒,且与淋巴瘤的发生密切相关。EBV几乎存在于所有亚洲人群的鼻型NK/T细胞淋巴瘤中,因此有学者提出慢性EBV感染是这类肿瘤的病因。本例患者发病时也具有EBV含量增高,给予DICE+L-asp的方案治疗后EBV含量下降,PET-CT提示完全缓解。患者数天后突然出现三系减少、咽充血水肿、持续发热、肝脾肿大、凝血功能异常、低纤维蛋白血症,初步考虑NK/T细胞淋巴瘤并发HPS。进一步血清铁蛋白及骨髓检查:铁蛋白2 000 μg/L;EB-DNA 3.02×105/L;外周血异型淋巴细胞占34%;骨髓象中异型淋巴细胞占3%。外周血异型淋巴细胞>10%时,对IM有较高诊断价值。99.01%的IM儿童患者外周血中会出现异型淋巴细胞,异型淋巴细胞比例平均为25.4%,骨髓检查中异型淋巴细胞增高(>10%)可占50%,对IM的诊断具有较高的敏感度[5, 6]。本例患者外周血出现异型淋巴细胞、病毒DNA量升高、骨髓及外周血无嗜血细胞,因此优先考虑NK/T细胞淋巴瘤并发IM,仅进行抗病毒治疗,未行糖皮质激素、依托泊苷等抗嗜血细胞综合征治疗后病情好转,症状体征消失,血象与肝功能等实验室检查恢复正常。
IM和HPS是两种不同的疾病,在临床上发病率均较低,其发病机制和临床表现具有较高的相似性。IM是一种由EBV感染引起的单核—巨噬细胞系统急性增生性疾病,多发于儿童、青少年,早期症状不典型,诊断较困难。成人IM的主要症状和体征有发热(96.4%)、咽痛(78.6%)、乏力(60.7%)、淋巴结肿大(82.1%)等[7]。IM外周血可见单核细胞显著增多,出现异型淋巴细胞,嗜异性凝集试验及抗EB病毒抗体阳性。HPS主要临床表现及实验室特征有:持续发热、肝脾肿大、血细胞减少、嗜血细胞现象、血浆可溶性CD25(sCD25)升高、凝血功能紊乱、肝功能异常、低纤维蛋白原血症、高铁蛋白血症和高甘油三酯血症等。其中sCD25、NK细胞活性降低在HPS中出现比例可达100%,具有较高的诊断价值[8]。鉴于目前多数实验室检测能力有限,较难实现对sCD25、NK细胞活性的检测。血清铁蛋白水平>10 000 μg/L时诊断HPS的特异性可达93%,而铁蛋白>1 000 μg/L则可能是免疫性疾病、细菌感染和真菌感染[9]。HPS与IM临床表现及实验室常规检查极为相似,因此鉴别诊断时必须结合骨髓及外周血是否有嗜血现象等多项指标综合考虑。本病例血清铁蛋白水平虽2 000 μg/L,现有实验室检查及临床表现符合HPS,但外周血及骨髓未见嗜血现象,且骨髓及外周血见异型淋巴细胞,结合EBV含量等考虑EBV导致的IM,且给予抗病毒治疗后病情好转,从而排除了HPS的诊断,进一步证实了IM的诊断。
总之,EBV病毒感染是NK/T细胞淋巴瘤的一个重要病因,其含量也是影响其预后的一个重要因素[2, 10],但EBV感染不仅可以导致淋巴瘤的发生,同时还可以引起其他相关疾病[11],应加以鉴别,避免临床误诊。
| [1] | Guo X, Li Q, Zhou C, et al. Clinical Analysis of Epstein-Barr Virus-associated Hemophagocytic Syndrome in Children[J]. Zhongguo Shi Yan Xue Ye Xue Za Zhi, 2013, 21(2):460-4. [郭霞, 李强, 周晨燕, 等. 儿童EB病毒感染相关性噬血细胞综合征临床特点分析[J]. 中国实验血液学杂志, 2013, 21(2): 460-4.] |
| [2] | Liu Y, Lin QD, Liu YZ, et al. Clinical significance of plasma EB virus determination in NK/T cell lymphoma patients[J]. Zhongguo Shi Yong Yi Yao, 2014, 9(2): 1-3. [刘阳, 林全德, 刘玉章,等. NK/T细胞淋巴瘤患者中血浆EB病毒含量检测及其临床意义[J]. 中国实用医药, 2014, 9(2): 1-3.] |
| [3] | Dong F, Li M, Jing HM, et al. Clinicopathological characteristics and treatment of primary cardiac lymphoma[J]. Zhong Liu Fang Zhi Yan Jiu, 2015, 42(7): 702-5. [董菲, 李敏, 景红梅, 等. 原发心脏病淋巴瘤的临床病理特征及治疗分析[J]. 肿瘤防治研究, 2015, 42(7): 702-5.] |
| [4] | Mao Y, Zhang DW, Zhu H, et al. LMP1 and LMP2A are potential prognostic markers of extranodal NK/T-cell lymphoma, nasal type (ENKTL)[J]. Diagn Pathol, 2012, 7: 178. |
| [5] | Fu J, Cui H, Zhou SX. Analysis of multiple clinical indicator detections for diagnosis of children?infectious mononucleosis[J]. Wu Jin Yi Xue, 2013, 24(9): 770-3. [伏洁, 崔红, 周士新. 儿童传染性单核细胞增多症多个临床检测指标的诊断价值[J]. 武警医学, 2013, 24(9): 770-3.] |
| [6] | Lei XL, Liu XG, Li YR. The experience of diagnosis and treatment of infectious mononucleosis in children 96 cases [J]. Shanxi Yi Xue Za Zhi, 2012, 41(9): 1136-7. [雷玲侠, 刘小乖, 李亚绒. 儿童传染性单核细胞增多症 96 例诊治体会[J]. 陕西医学杂志, 2012, 41(9): 1136-7.] |
| [7] | Xie YX, Qin EQ, Li WG, et al. The analysis of clinical and laboratory characteristics of 56 cases of Adult patients with infectious mononucleosis[J]. Yi Nan Bing Za Zhi, 2013, 12(7): 546-7. [谢杨新, 秦恩强, 李文刚, 等. 成人传染性单核细胞增多症患者56例临床及实验室特征分析[J]. 疑难病杂志, 2013, 12(7): 546-7.] |
| [8] | Tan S. Lymphoma associated hemophagocytic syndrome:analysis of 1 case[J]. Zhongguo Quan Ke Yi Xue, 2010, 13(14): 1599. [谭松. 淋巴瘤相关性噬血细胞综合征一例[J]. 中国全科医学, 2010, 13(14): 1599.] |
| [9] | Allen CE, Yu X, Kozinetz CA, et al. Highly elevated ferritin levels and the diagnosis of hemophagocytic lymphohistiocytosis[J]. Pediatr Blood Cancer, 2008, 50(6): 1227-35. |
| [10] | Wang ZY, Liu QF, Wang H, et al. Clinical implications of plasma Epstein-Barr virus DNA in early-stage extranodal nasal-type NK/T-cell lymphoma patients receiving primary radiotherapy[J]. Blood, 2012, 120(10): 2003-10. |
| [11] | Isobe Y, Aritaka N, Setoguchi Y, et al. T/NK cell type chronic active Epstein-Barr virus disease in adults: an underlying condition for Epstein-Barr virus-associated T/NK-cell lymphoma[J]. J Clin Pathol, 2012, 65(3): 278-82. |
2015, Vol. 42


