文章信息
- 王郁,贾云泷,王婷婷,王淼,段玉青,王洪琰,孟宪利,刘丽华. 2015.
- WANG Yu, JIA Yunlong, WANG Tingting, WANG Miao, DUAN Yuqing, WANG Hongyan, MENG Xianli, LIU Lihua. 2015.
- 食管鳞癌中IDO的表达及其与肿瘤血管形成的关系
- IDO Expression in Esophageal Squamous Cell Carcinoma and Its Relationship with Tumor Angiogenesis
- 肿瘤防治研究, 2015, 42(09): 892-896
- Cancer Research on Prevention and Treatment, 2015, 42(09): 892-896
- http://www.zlfzyj.com/CN/10.3971/j.issn.1000-8578.2015.09.007
-
文章历史
- 收稿日期:2014-09-22
- 修回日期:2015-04-10
2. 050011 石家庄,河北医科大学第四医院胸外科
2. Department of Chest Surgery, The Fourth Hospital of Hebei Medical University, Shijiazhuang 050011, China
吲哚胺2,3-双加氧酶(indoleamine 2,3-dioxygenase,IDO)是肝脏外唯一能催化色氨酸沿犬尿酸途径分解代谢的限速酶。进来研究发现IDO在多种肿瘤的发生及侵袭中起作用,但是关于IDO在食管鳞癌中的表达及其与肿瘤血管形成的关系的报道较少。本实验采用RT-PCR法及免疫组织化学方法检测食管鳞癌组织中IDO和VEGF的表达,探讨两者的相关性及其与患者临床特征的关系,旨在为其在食管鳞癌进展中的作用奠定基础。
1 资料与方法 1.1 临床资料选择2013年5月―2014年6月间于河北医科大学第四医院胸外科行肿瘤切除术,且病理学诊断为食管鳞癌患者56例,其中男45例、女11例,年龄33~78岁,中位年龄54岁,平均年龄(55.5±1.5)岁,所有患者术前3月内均未进行放疗和化疗。每例患者均取食管鳞癌原发灶组织和距离癌灶边缘3~5 cm的癌旁组织样本。取材后将标本迅速置于液氮中,一部分标本置于-80℃超低温冰箱中贮存以备提取RNA,一部分标本用4%中性甲醛固定,常规制成蜡块保存。按照国际抗癌联盟(UICC)第七版标准进行TNM分期,将患者分为:Ⅰ期12例、Ⅱ期19例、Ⅲ期24例,Ⅳ期1例。按照世界卫生组织肿瘤的病理学分级标准进行组织学分级:高分化23例(41.07%)、中分化19例(33.93%)、低分化14例(25.00%)。所有标本及临床资料的收集均征得患者同意并签署了知情同意书。
1.2 反转录-聚合酶链反应(RT-PCR)检测IDO和VEGF mRNA的表达水平TRIzol试剂(购自美国Invitrogen公司)一步法提取总RAN,然后使用紫外分光光度计测量RNA的纯度及浓度,选取D260/D280>1.8和D260/D230>2.0的RAN用于分析。以提取的1 μg总RNA作为模板,将RNA反转录为cDNA。以cDNA为模板使用PCR扩增IDO和VEGF,同时以扩增的GAPDH作为内参照。 PCR总体系20 μl,其中基因上下游引物各1 μl(IDO、VEGF和GAPDH引物均由上海英骏生物技术公司合成,引物序列见表 1),cDNA模板1 μl,即用型Taq酶10 μl,双蒸水7 μl,反应条件见表 2。
将8 μl PCR产物加入2%琼脂糖凝胶板上电泳(120 V,60 mA,30 min),采用gel-pro analysis 3.1系统进行照相扫描及吸光度值分析。以目的基因条带的吸光度值与GAPDH条带的吸光度值的比值作为目的基因mRNA的相对表达水平。
1.4 免疫组织化学SP法检测IDO及VEGF的表达情况采用免疫组织化学SP二步法染色,由两位病理医师分别双盲阅片进行结果判定。IDO与VEGF均表达于细胞胞质,阳性呈棕黄色染色颗粒。阳性划分标准:根据每张切片中阳性细胞占全片的比例和强度计分:(1)按照阳性细胞比例记分:≤5%为0分,>5%~25%为1分,>25%~50%为2分,>50%~75%为3分,>75%为4分;按重色强度记分:无着色为0分,淡黄色为1分,黄色为2分,棕黄色为3分,两者乘积为最终判定标准:0分表示阴性,≥1分为阳性,其中1~2分为阳性(+),3~4分为中等阳性(++),≥5分为强阳性(+++)。
1.5 统计学方法采用SPSS21.0统计软件,计量资料以(x±s)表示,基因阳性表达率的比较采用χ2检验,基因表达水平的比较采用Wilcoxon符号秩检验,不同基因间的相关性分析采用Pearson检验,P < 0.05为差异有统计学意义。
2 结果 2.1 食管鳞癌组织和癌旁组织中IDO和VEGF mRNA的表达水平IDO和VEGF mRNA在肿瘤组织和癌旁组织中的表达情况,见图 1。与癌旁组织相比,食管鳞癌组织中IDO mRNA的表达水平(P=0.001)和VEGF mRNA的表达水平显著提高(P=0.001),见表 3。
|
| C: carcinoma tissues; P: para-carcinoma tissues 图 1 用RT-PCR检测食管鳞癌组织及其癌旁组织中IDO和VEGF mRNA的表达情况 Figure 1 Expression levels of IDO and VEGF mRNA in ESCC tissues and para-carcinoma tissues by RT-PCR |
![]() |
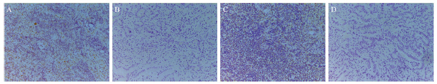
IDO和VEGF阳性均主要表达在细胞质,个别细胞胞膜及核内也有少量表达,呈棕黄色染色颗粒,见图 2。
|
| A: IDO positive; B: IDO negative; C: VEGF positive; D: VEGF negative 图 2 免疫组织化学法检测IDO和VEGF蛋白在食管鳞癌组织及其癌旁组织中的表达 Figure 2 Expression levels of IDO and VEGF in ESCC tissues and para-carcinoma tissues by IHC |
在肿瘤组织中IDO和VEGF蛋白的阳性表达率分别为64.29%、67.86%,在癌旁组织中IDO和VEGF蛋白的阳性表达率分别为37.5%、46.43%,见表 4。肿瘤组织中IDO蛋白阳性表达率高于癌旁组织,差异有统计学意义(P=0.020),VEGF蛋白的阳性表达率高于癌旁组织,差异有统计学意义(P=0.022)。在肿瘤组织中IDO阳性表达率与VEGF阳性表达率显著正相关(r=0.533,P=0.001),在癌旁组织中IDO与VEGF阳性表达率也呈正相关(r=0.519,P=0.001)。
![]() |
在56例食管鳞癌患者中,IDO和VEGF的蛋白表达均与TNM分期、肿瘤侵犯深度、分化程度和淋巴结转移相关,与性别、年龄无关,见表 5。
![]() |
食管癌是最常见的消化道肿瘤,侵袭周围组织和淋巴结转移是影响其预后的重要因素[1],但其发病机制尚不明确,可能受到多种原癌基因和抑癌基因的复杂调控[2]。
免疫耐受在肿瘤的发生、发展和转移中起到了重要的作用,而IDO介导的色氨酸代谢被认为是众多外周耐受和免疫抑制反应的内源性机制之一。IDO能够显著抑制T细胞、NK细胞的增殖与活化[3, 4],募集调节性T细胞(regulatory T cell,Treg)[5]或诱导CD4+T细胞转化为Treg细胞[6],广泛存在于多种肿瘤组织及其肿瘤引流区淋巴结(tumor-draining lymph node,TDLN)中[7]。由于IDO可以减弱微环境的抗肿瘤免疫能力,协助肿瘤逃避免疫系统的攻击,高水平的IDO可以使肿瘤易于向淋巴结转移[8]。本研究结果显示,IDO蛋白在食管鳞癌组织中较癌旁组织阳性表达率显著提高,半定量分析结果显示食管鳞癌组织中IDO mRNA的表达水平显著高于癌旁正常组织,这提示在食管鳞癌进展中IDO表达明显上调。同时,我们还分析了IDO蛋白阳性表达率与患者临床特征的关系,结果表明其与肿瘤侵袭深度、分化程度、淋巴结转移、TNM分期密切相关,这表明IDO基因在食管鳞癌的侵袭与转移中可能起到了重要作用。本实验与Mellor等[6]在食管鳞癌癌实验得到的结果具有一定的一致性,在本实验中当淋巴结发生转移时IDO基因的表达水平显著提高,这与Gao等[9]通过研究结肠癌TDLN得到的结果相反,造成这种差异的原因可能为IDO的分布具有区域性,但其机制尚需进一步实验来分析。
血管内皮生长因子(vascular endothelial growth factor,VEGF)是目前已知最强的内皮细胞选择性促血管生成因子,在几乎所有实体肿瘤组织中呈过表达,能促进肿瘤新生血管的生成、免疫细胞的迁徙和炎性因子的生成,且在肿瘤发展和转移中发挥重要作用[10]。VEGF是唯一能够直接刺激血管内皮细胞分裂增殖,诱导肿瘤血管形成的细胞因子。血管生成对肿瘤的生长非常重要,能够为肿瘤的生长提供必需的营养物质和生长因子,同时提供转移的管道,另外VEGF能够使血管扩张、通透性增强,并能诱导蛋白酶和一些受体的表达,这些都有助于细胞的侵袭、组织的重构和内皮细胞凋亡的减少[11]。本研究结果显示,VEGF蛋白在食管鳞癌组织中较癌旁组织阳性表达率显著提高,半定量分析结果显示食管鳞癌组织中VEGF mRNA的表达水平显著高于癌旁正常组织。同时我们还分析了VEGF蛋白阳性表达率与患者临床特征的关系,结果表明其与肿瘤侵袭深度、分化程度、淋巴结转移、TNM分期密切相关,这表明VEGF基因在食管鳞癌的侵袭与转移中可能起到了重要作用。另外本实验还证实在食管鳞癌组织中IDO与VEGF呈显著正相关,这与Marti等[10]体外研究实验和Terme等[12]在结肠癌的实验结果相一致。其机制是IDO能够通过诱导产生Treg以提高VEGF的表达水平,还可以通过VEGF依赖的机制促进新生血管形成[13],此外,VEGF还能通过促进DC的成熟增强IDO的表达及活性,且IDO与VEGF在肿瘤的免疫逃逸中发挥复杂而重要的作用,而肿瘤的发生、进展和转移与免疫耐受具有密切的关联,由此可见IDO在肿瘤血管形成及食管癌的进展中具有用重要的作用。
综上所述,IDO的高表达可能在食管鳞癌的进展过程中起到了重要作用,且IDO与肿瘤血管的形成具有相关性。对这两种基因在食管癌进展中的作用做更深入的研究,可能为食管癌的靶向治疗和免疫生物治疗提供新的方向。
| [1] | Baba Y, Watanabe M, Shigaki H, et al. Negative lymph-node count is associated with survival in patients with resected esophageal squamous cell carcinoma[J]. Surgery, 2013, 153(2): 234-41. |
| [2] | Hanahan D, Weinberg RA. Hallmarks of cancer: the next generation[J]. Cell, 2011, 144(5): 646-74. |
| [3] | Li T, Yang Y, Hua X, et al. Hepatocellular carcinoma-associated fibroblasts trigger NK cell dysfunction via PGE2 and IDO[J]. Cancer Lett, 2012, 318(2): 154-61. |
| [4] | Uyttenhove C, Pilotte L, Théate I, et al. Evidence for a tumoral immune resistance mechanism based on tryptophan degradation by indoleamine 2, 3-dioxygenase[J]. Nat Med, 2003, 9(10): 1269-74. |
| [5] | Wainwright DA, Balyasnikova IV, Chang AL, et al. IDO expression in brain tumors increases the recruitment of regulatory T cells and negatively impacts survival[J]. Clin Cancer Res, 2012, 18(22): 6110-21. |
| [6] | Mellor AL, Munn DH. Physiologic control of the functional status of Foxp3+ regulatory T cells[J]. J Immunol, 2011, 186(8): 4535-40. |
| [7] | Sharma MD, Hou DY, Baban B, et al. Reprogrammed foxp3(+) regulatory T cells provide essential help to support cross-presentation and CD8(+) T cell priming in naive mice[J]. Immunity, 2010, 33(6): 942-54. |
| [8] | Spranger S, Spaapen RM, Zha Y, et al. Up-regulation of PD-L1, IDO, and T(regs) in the melanoma tumor microenvironment is driven by CD8(+) T cells[J]. Sci Transl Med, 2013, 5(200): 200ra116. |
| [9] | Gao YF, Peng RQ, Li J, et al. The paradoxical patterns of expression of indoleamine 2, 3-dioxygenase in colon cancer[J]. J Transl Med, 2009, 7: 71. |
| [10] | Marti LC, Pavon L, Severino P, et al. Vascular endothelial growth factor-A enhances indoleamine 2, 3-dioxygenase expression by dendritic cells and subsequently impacts lymphocyte proliferation[J]. Mem Inst Oswaldo Cruz, 2014, 109(1): 70-9. |
| [11] | Giatromanolaki A, Bates GJ, Koukourakis MI, et al. The presence of tumor-infiltrating FOXP3+ lymphocytes correlates with intratumoral angiogenesis in endometrial cancer[J]. Gynecol Oncol, 2008, 110(2): 216-21. |
| [12] | Terme M, Pernot S, Marcheteau E, et al. VEGFA-VEGFR pathway blockade inhibits tumor-induced regulatory T-cell proliferation in colorectal cancer[J]. Cancer Res, 2013, 73(2): 539-49. |
| [13] | Knies-Bamforth UE, Fox SB, Poulsom R, et al. c-Myc interacts with hypoxia to induce angiogenesis in vivo by a vascular endothelial growth factor-dependent mechanism[J]. Cancer Res, 2004, 64(18): 6563-70. |
2014, Vol. 42







