文章信息
- 李保国,唐勇,王海涛,郭志. 2015.
- LI Baoguo, TANG Yong, WANG Haitao, GUO Zhi. 2015.
- 单纯性肝囊肿伴囊液CA19-9水平超高表达1例报道
- A Simple Liver Cyst with Super High CA19-9 Expression in Cyst Fluid:One Case Report
- 肿瘤防治研究, 2015, 42(08): 856-858
- Cancer Research on Prevention and Treatment, 2015, 42(08): 856-858
- http://www.zlfzyj.com/CN/10.3971/j.issn.1000-8578.2015.08.023
-
文章历史
- 收稿日期:2015-01-06
- 修回日期:2015-03-18
2. 300060 天津,天津医科大学肿瘤医院肿瘤循征医学协作组;
3. 300060 天津,天津医科大学肿瘤医院胰腺肿瘤科
2. Evidence-Based Medicine Collaborative Group in Cancer (EBMCGC),Tianjin Medical University Cancer Institute and Hospital,Tianjin 300060, China;
3. Department of Pancreatic Cancer,Tianjin Medical University Cancer Institute and Hospital,Tianjin 300060, China
CA19-9是诊断消化道肿瘤时常用的标志物之一,在慢性胰腺炎、胰腺癌、囊腺癌等多种常见的良、恶性病变患者的血清或体液中均可有异常表达,但仅在单纯性肝囊肿(simple liver cyst)囊液中呈超高水平表达则较为罕见。现将天津医科大学肿瘤医院收治的1例患者情况报道如下,以加强对该病的认识,减少误诊误治。
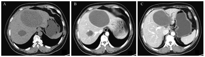
1 病例资料患者,女,45岁。因查体发现肝囊性占位1周,于2013年3月18日入住我院介入治疗科。门诊CT检查提示:肝内可见2个边界清晰、无明显强化低密度灶。较小的囊肿由于位于肝右叶且形态较小,未给予同步穿刺。较大的一个位于肝左叶,约10.6 cm×7.0 cm,压迫门静脉左支及左肝管,远端肝内胆管扩张,见图 1。入院时查体:肝左叶剑突下4 cm,质软、无压痛,余无异常。实验室检查:血清C反应蛋白5.58 mg/L、白细胞5.66 ×109/L、CA19-9 7.51 u/ml (参考值0~39 u/ml)、CA24-2 6.3 u/ml (参考值0~12 u/ml)、AFP 4.7 μg/L (参考值0~20 μg/L),入院诊断:肝囊肿;拟给予肝囊肿穿刺引流联合无水乙醇硬化微创治疗。
|
| A:plain CT scans showed two low-density lesions in both hepatic lobes,the left lobe's cyst was bigger and measured as 10.6 cm ×7.0 cm in diameter,with a clear demarcation;B:the contrast enhanced CT scan showed that there were uniform low-density areas inside the cyst and the cyst wall was without significant enhancement;C:the boundaries between the cyst wall and the surrounding structures was unclear,the left portal vein and left hepatic duct were pressed and the distal of intrahepatic bile duct was dilated 图 1 肝囊肿穿刺引流前CT平扫及增强表现 Figure 1 CT findings of plain scans and contrast enhanced scans before a percutaneous transhepatic drainage of hepatic cyst |
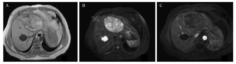
患者于2013年3月21日行CT引导下肝囊肿穿刺引流术,见囊液为暗褐色、无异味黏稠液体。术中及术后囊液多次免疫学检测显示:CA19-9均呈超高水平表达( > 10 000 u/ml)、其中术中留取标本中CA19-9值达15 947 u/ml。引流后间断3次留取囊液行细胞学检查,结果均提示可见变性坏死物,未检测到细菌、肿瘤细胞和寄生虫;CA19-9水平也呈逐渐下降趋势,术后第3天、6天分别为10 813 u/ml、8 784 u/ml。引流一周后复查上腹MRI提示:肝左叶可见10.6 cm×6.8 cm大小异常信号肿物影,T1WI呈不均匀稍高信号、T2WI呈不均匀高信号,边界尚清,增强后未见明显强化、周围胆管轻度扩张,见图 2。血管、胆管受压以及囊液CA19-9超高水平表达不能排除是否为恶性肿瘤性囊性病变可能,鉴别诊断较为困难,拟转至外科行手术治疗。
|
| A:the cyst appeared as inhomogeneous slight hyperintense signal on T1 weighted images,with a clear demarcation;B:the cyst appeared as inhomogeneous hyperintense signal on T2 weighted images,the intrahepatic bile duct of left lateral lobe was dilated;C:the cyst's wall did not appear significantly enhanced,even on the dynamic contrast enhanced MRI scan images 图 2 肝囊肿手术切除前MRI Figure 2 MRI images of hepatic cysts before surgical resection |
2013年4月3日于全麻下行左肝内叶切除+胆总管探查、胆囊摘除+复杂粘连解离术,术中可见肝固有动脉左右分支、肝总管及左右肝管、门静脉主干及左右分支均与囊肿壁致密粘连并受推挤,完整剥离后送病理检查,病理表现:(肝)纤维囊壁组织,壁厚1 cm,未见被覆上皮,内容物为坏死组织及胆固醇结晶,尾部见异物巨细胞反应,符合单纯囊肿表现,见图 3,术后2周出院。
|
| A:the gross appearances:the structure of cyst wall mainly was the fibrous tissue whose thickness was about 1cm,no covering epithelium;B:the microscopic features:the contents mainly included the necrotic tissues and cholesterol crystal,and the foreign body giant cell reaction could be seen in the tail (×200) 图 3 术后病理表现 Figure 3 Pathological image after operation |
出院后随访至2013年10月,每2月1次,连续3次复测血清CA19-9水平均正常,同时检验血常规、肝肾功能亦正常;复查B型超声提示肝左叶未见局部复发病灶、肝右叶囊肿无增大。
2 讨论肝囊肿目前多认为是由先天性胆管发育异常所导致的一种非肿瘤性疾病。囊肿由上皮细胞排列组成闭合腔隙并内含液体,囊腔通常不与肝内胆管系相交通,呈单发或多发性。单纯性囊肿是其最常见类型,约占全部病例的90%以上,多数患者无明显症状,囊肿体积较大时可出现压迫症状,合并感染时,可出现畏寒、发热、腹痛等类似肝脓肿的症状。影像学检查为其诊断的主要手段,除B型超声外,CT、MRI诊断符合率可达98%[1, 2]。但在单纯性囊肿伴出血、感染或者囊肿体积较大压迫周围血管、胆管结构且分界不清时,与囊腺瘤、囊腺癌等特殊类型的囊性病变鉴别相对困难[3, 4]。
CA19-9是诊断消化系统肿瘤常用的标志物之一,主要在肝癌、胃癌、结肠癌、胰腺癌等恶性肿瘤中明显升高但缺乏特异性,在肝硬化、胆道梗阻、肝囊肿有时亦可升高[5, 6, 7]。肝囊肿的囊壁上皮细胞具有合成和分泌CA19-9的功能,其大量分泌后可导致囊液中CA19-9水平升高,漏出并进入血液循环后可引起血清中水平异常,两者间存在正相关关系且与囊腔大小、囊液多少等相关。有研究报道,单纯性囊肿伴出血和单纯性囊肿伴感染时血清和囊液CA19-9水平均升高,肝炎性假瘤患者的血清CA19-9水平升高,胆石症伴胆管炎时血清CA19-9水平常明显升高,在炎症改善后迅速下降至正常;另外,血清和囊液的CA19-9水平检测还有助于区别出单纯性囊肿伴血性和囊腺瘤或囊腺癌[8, 9]。
本例患者为体检发现,缺乏肝囊肿伴感染的典型表现,也不具备乏力、厌食、体质消瘦等恶性肝脏肿瘤的特殊症状体征。血液白细胞、C反应蛋白、血清CA19-9水平均在正常范围,CT显示肝内病灶为边界清楚的低密度灶且未见明显强化,诊断上首先考虑为单纯性肝囊肿,结合病史也基本可排除感染性及寄生虫性囊肿。但是,穿刺引流后引流囊液多次检测均显示其中CA19-9水平呈超高表达,复查MRI也提示囊壁与周围门静脉、胆管结构之间境界不清,显著增加了鉴别诊断的难度,也侧面反映出微创治疗的局限性。手术治疗时,术中探查可见囊壁与邻近血管及胆管粘连致密、分离困难,仍难以排除恶性可能,结合快速病理才最终明确诊断,这也进一步说明了这种特殊类型的单纯性肝囊肿选择手术治疗的必要性。
因此,囊液中CA19-9的表达水平不应作为肝内良、恶性囊性病变鉴别定性诊断的依据之一,单纯性肝囊肿囊液中CA19-9水平亦可以出现超高表达。但是,是囊壁细胞的直接分泌还是既往伴有感染等其他原因所致,尚需更多的病例研究结果进一步证实。当囊肿体积较大且伴有占位效应或出现破裂、出血等征象鉴别诊断困难时,应及早考虑手术治疗。
| [1] | Vachha B, Sun MR, Siewert B, et al. Cystic lesions of the liver[J]. AJR Am J Roentgenol, 2011, 196(4):W355-66. |
| [2] | Lantinga MA, Gevers TJ, Drenth JP. Evaluation of hepatic cystic lesions[J]. World J Gastroenterol, 2013, 19(23):3543-54. |
| [3] | Kelly K, Weber SM. Cystic diseases of the liver and bile ducts[J]. J Gastrointest Surg, 2014, 18(3):627-34. |
| [4] | Sato T, Imai M, Hayashi K, et al. Giant hepatic cyst with septal structure:diagnosis and management[J]. Int J Hepatol, 2013, 2013:981975. |
| [5] | Dinc B, Mesci A, Dinc SE, et al. A giant simple liver cyst that caused increases in serum CA19-9 and CA 15-3 levels[J]. J Clin Med Res, 2014, 6(6):487-9. |
| [6] | Brown EG, Canter RJ, Bold RJ. Preoperative CA19-9 kinetics as a prognostic variable in radiographically resectable pancreatic adenocarcinoma[J]. J Surg Oncol, 2015, 111(3):293-8. |
| [7] | Kondo N, Murakami Y, Uemura K, et al. Elevated perioperative serum CA 19-9 levels are independent predictors of poor survival in patients with resectable cholangiocarcinoma[J]. J Surg Oncol, 2014, 110(4):422-9. |
| [8] | Choi HK, Lee JK, Lee KH, et al. Differential diagnosis for intrahepatic biliary cystadenoma and hepatic simple cyst: significance of cystic fluid analysis and radiologic findings[J]. J Clin Gastroenterol, 2010, 44(4):289-93. |
| [9] | Lin MS, Huang JX, Yu H. Elevated serum level of carbohydrate antigen 19-9 in benign biliary stricture diseases can reduce its value as a tumor marker[J]. Int J Clin Exp Med, 2014, 7(3): 744-50. |
2015, Vol. 42
