文章信息
- 孟庆彬,吴彪,肖新波,邵永胜,闵凯,瞿紫微,冯燕,王静,易继林. 2015
- MENG Qingbin, WU Biao, XIAO Xinbo, SHAO Yongsheng, MIN Kai, QU Ziwei, FENG Yan, WANG Jing, YI Jilin. 2015
- 结直肠癌组织中Krüppel样因子17的表达及其与预后的关系
- Expression of KLF17 Protein in Human Colorectal Cancer Tissue and Its Correlation with Prognosis
- 肿瘤防治研究, 2015, 42(03): 256-260
- Cancer Research on Prevention and Treatment, 2015, 42(03): 256-260
- http://www.zlfzyj.com/CN/10.3971/j.issn.1000-8578.2015.01.010
-
文章历史
- 收稿日期:2014-04-30
- 修回日期:2014-11-26
2. 430022 武汉,武汉市第一医院病理科;
3.430030 武汉,华中科技大学同济医学院附属同济医院普外科
2. Department of Pathology, The First Hospital of Wuhan City, Wuhan 430022, China;
3. Department of General Surgery, The Affiliated Tongji Hospital, Tongji Medical College,Huazhong University of Science and Technology, Wuhan 430030, China
结直肠癌是中国第3位常见的恶性肿瘤和第4位常见的肿瘤相关死亡原因[1]。尽管以根治性手术为主的多学科综合治疗显著改善了患者的生存时间,但是结直肠癌仍然是威胁国民健康的重大疾病。作为结直肠癌患者预后分析的重要工具,美国癌症联合会(AJCC)TNM分期系统仍存在一定局限性[2,3]。寻找结直肠癌特异性分子生物学预后指标具有重要意义。Krüppel样因子17(Krüppellike factor 17,KLF17)是Sp/KLF转录因子家族的新成员,其编码基因位于人类染色体1p34.1[4,5]。
近年来研究发现KLF17作为可能的抑癌基因在多种人类上皮来源肿瘤组织及细胞表达下降并可能与肿瘤增殖、转移和(或)不良预后相关[6,7,8,9,10,11]。但是KLF17在人结直肠癌组织的表达及其临床意义鲜有报道。因此,本研究采用免疫组织化学方法检测了KLF17在人类结直肠癌的表达情况,探讨了KLF17表达与结直肠癌患者临床病理特征及预后的相关性。1 资料与方法1.1 临床资料
收集2005年1月至2006年12月武汉市第一医院结直肠癌根治术患者的临床病理资料,所有患者均经术后病理确诊。收集结直肠癌组织,并收集相应患者的非癌正常结直肠黏膜组织(距肿瘤边缘≥5 cm)作对照。排除标准:(1)复发结直肠癌;(2)结直肠神经内分泌癌;(3)接受新辅助放疗或化疗;(4)合并其他恶性肿瘤。共128例患者纳入本研究,其中男71例、女57例。本研究获武汉市第一医院伦理委员会批准,所有患者均签署知情同意书。
由一位病理医生进行HE染色及病理阅片,确认结直肠癌组织对应的蜡块。根据AJCC(第7版)结直肠癌TNM分期系统对结直肠癌进行分期[3],其中pT1期5例、pT2期22例、pT3期47例、pT4期54例;N0期81例、N1期23例、N2期24例。1.2 主要试剂
0 .0 1 mo l/L柠檬酸盐缓冲液(p H 6 .0)、PV-6000通用型二步法免疫组织化学检测试剂盒、DAB试剂盒以及兔同源IgG购自北京中杉金桥生物技术有限公司,KLF17兔抗人多克隆抗体购自英国Abcam公司。1.3 免疫组织化学染色及评分
采用PV-6000二步免疫组织化学法[11],主要步骤如下:将石蜡组织样本4 μm厚切片,恒温60℃烤片20 min;在二甲苯溶液中脱蜡后乙醇中水化;3%过氧化氢甲醇溶液中放置10 min阻断内源性过氧化物酶活性。切片放入含0.01 mol/L柠檬酸盐缓冲液(pH6.0)高压锅内,喷气后计时3 min,然后中火3 min后闭火放气,打开锅盖降至室温。经PBS水洗3次后滴加KLF17抗体(稀释度为1∶80),4℃冰箱孵育过夜;取出切片,室温下放置30 min,PBS溶液洗3次,滴加二抗(PV-6000)室温孵育30 min;PBS溶液洗3次后室温DAB显色,显微镜下观察,待目标区域出现阳性后,蒸馏水洗终止反应;自来水冲洗、苏木精对比染色、盐酸酒精分化、氨水返蓝、脱水、透明、封片并镜检。以兔同源IgG代替一抗作为对照。
由两名独立的不知道临床信息的病理医师评估免疫组织化学结果。采用半定量方法[7]计算免疫组织化学积分及细胞阳性染色强度积分(阴性为0分,弱阳性为1分,中等强度为2分,强阳性为3分)与阳性染色细胞百分比积分(<25%为1分,25%~50%为2分,>50%且<75%为3分,75%~100%为4分)相乘,低表达定义为0~3分,高表达定义为4~12分。1.4 随访
所有患者从手术开始随访至死亡、失访或随访至2012年12月,生存数据来自患者临床随访记录及电话随访,中位随访时间为62.5月(5~83月)。1.5 统计学方法
采用SPSS12.0统计软件,分类变量的比较采用卡方检验;KLF17在结直肠癌及与之相对应的正常结直肠黏膜组织表达差异的比较采用McNemar检验;Kaplan-Meier法构建生存曲线,差异比较采用Log rank检验;Cox比例风险模型进行单因素分析和多因素分析,双向P值,P<0.05为差异有统计学意义。2 结果2.1 KLF17在结直肠癌组织中的表达及其与临床病理特征的关系
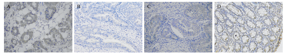
KLF17免疫组织化学染色主要定位于细胞质,呈棕黄色,见图 1。KLF17在结直肠癌组织中的表达率为35.2%(45/128),明显低于对应的正常结直肠黏膜KLF17的阳性率70.3%(90/128),(P<0.001)。
KLF17的表达水平与患者的性别、年龄、术前肠梗阻、肿瘤大小、肿瘤部位、T分期等无明显相关性(P均>0.05);在pN0期结直肠癌组织中的高表达率明显高于pN1+N2期患者(43.2% vs. 21.3%,P=0.012),见表 1。
|
| A: KLF17 high expression in colon cancer; B: KLF17 low expression in colon cancer; C: KLF17 low expression in rectal cancer; D: KLF17 high expression in noncancerous colon mucosa 图 1 KLF17在结直肠癌组织和非癌正常结直肠黏膜的表达(PV-6000 ×200)Figure 1 Expression of KLF17 in colorectal cancer tissues and normal colorectal mucosa tissues (PV-6000 ×200) |
![]() |
在中位随访时间62.5月(5~83月)内,共有54例患者死亡。128例患者5年无病生存率及总生存率分别为57.8%和60.6%。KLF17低表达患者5年无病生存率及5年总生存率分别为46.3%和49.3%,明显低于KLF17高表达患者的78.3%和82.0%(P均=0.001),见图 2。128例患者中有31例患者术前存在肠梗阻,肠梗阻患者5年无病生存率及5年总生存率均为38.7%,明显低于无肠梗阻患者的63.9%和67.7%(分别为P=0.004和P=0.001)。 Kaplan-Meier分析示:肿瘤分化程度(P=0.018和P =0.022)、病理学T分期(P均=0.004)及病理学N分期(P均<0.001)也与结直肠癌患者的无病生存时间及总生存时间密切相关。
|
| Colorectal cancer patients with KLF17 low expression showed both significantly poor disease-free survival(A) and overall survival (B) than those with KLF17 positive expression(Log rank test,both P=0.001) 图 2 结直肠癌根治术后患者的生存曲线 Figure 2 Kaplan-Meier survvial curves of colorectal cancer patients after curative surgery |
Cox模型单因素分析结果显示:术前肠梗阻、肿瘤分化程度、肿瘤大小、病理学T分期、病理学N分期和KLF17与患者总生存时间密切相关。将单因素分析有意义的变量纳入多因素分析模型,结果显示:肠梗阻、肿瘤分化程度、病理学N分期和KLF17是结直肠癌患者总生存时间的独立预后因素,见表 2。
![]() |
Cox 模型单因素分析结果显示:术前肠梗阻、肿瘤分化程度、肿瘤大小、病理学T分期、病理学N分期和KLF17与患者无病生存时间密切相关。将单因素分析有意义的变量纳入多因素分析模型,结果显示:肠梗阻、肿瘤分化程度、病理学N分期和KLF17是结直肠癌患者无病生存时间的独立预后因素,见表 3。
![]() |
KLF17是近年来发现的Sp/KLF转录因子家族的新成员。尽管KLF17与其家族成员具有相似的分子结构[4],但是其功能研究尚处于初始阶段。近期研究发现KLF17在胚胎发育[13]、肺癌细胞增殖[7]、上皮间质转化及侵袭转移方面发挥重要作用[6,9,10,11]。但是KLF17在人结直肠癌的表达和作用鲜有报道。
本研究结果显示:KLF17在结直肠癌组织表达阳性率明显低于对应的正常结直肠黏膜组织,与既往在乳腺癌、肝癌、肺癌等其他人体肿瘤的研究结果一致[6,7,8,9]。KLF17的差异性表达提示其可能参与肿瘤进程。本研究中相关性分析提示KLF17低表达与结直肠癌病理学N分期密切相关。既往研究发现KLF17低表达也与乳腺癌、肝癌淋巴结转移密切相关[6,9]。这些研究提示KLF17表达减低可能在人上皮源性肿瘤发生淋巴结转移过程中的一个重要分子事件。同时本研究中,生存分析显示KLF17低表达与结直肠癌患者的总生存时间密切相关,是结直肠癌患者预后不良的一个独立危险因素,与既往人类肺癌、肝癌中的相关研究结果一致[8,9]。但是与既往其他人类肿瘤中的研究[8,9]不同,本研究未发现KLF17表达与肿瘤T分期和(或)肿瘤直径大小的相关性。KLF17是否参与结直肠癌细胞的增殖尚需进一步研究。
本研究发现术前癌性肠梗阻、pN分期、肿瘤分化程度也与结直肠癌患者的生存时间密切相关,是患者预后不良的一个独立危险因素。既往Yuan等[14]研究发现术前梗阻与结直肠癌患者预后相关,但是在多因素分析中显示术前梗阻并不是一个独立危险因素。术前梗阻能否作为一个独立的预后因素需要进一步研究验证。同时本研究中发现第7版AJCC结直肠癌pN分期在预后判断中发挥重要作用,但是pT分期未能独立判断患者预后[2,3]。
综上,本研究初步证实KLF17在结直肠癌组织高表达与结直肠癌淋巴结分期密切相关,并且KLF17低表达是结直肠癌患者总生存时间的一个独立危险因素,为结直肠癌的预后判断提供了分子水平的理论依据。但是KLF17在结直肠癌进展及预后判断中的作用及可能机制尚需进一步的研究验证。
| [1] | Chen W, Zheng R, Zhang S, et al. Report of incidence and mortality in China cancer registries, 2009[J]. Chin J Cancer Res, 2013, 25(1): 10-21. |
| [2] | Hari DM, Leung AM, Lee JH, et al. AJCC Cancer Staging Manual 7th edition criteria for colon cancer: do the complex modifications improve prognostic assessment?[J]. J Am Coll Surg, 2013, 217(2): 181-90. |
| [3] | Edge SB, Byrd SR, Compton CC, et al. AJCC Cancer Staging Manual[M]. 7th ed. New York: Springer-Verlag, 2010: 143-62. |
| [4] | van Vliet J, Crofts LA, Quinlan KG, et al. Human KLF17 is a new member of the Sp/KLF family of transcription factors[J]. Genomics, 2006, 87(4): 474-82. |
| [5] | Iwanicki MP, Brugge JS. Transcriptional regulation of metastatic [Id]entity by KLF17[J]. Genome Biol, 2009, 10(11): 244. |
| [6] | Gumireddy K, Li A, Gimotty PA, et al. KLF17 is a negative regulator of epithelial-mesenchymal transition and metastasis in breast cancer[J]. Nat Cell Biol, 2009, 11(11): 1297-304. |
| [7] | Liu CY, Shi JH, Zhou JS, et al. Mechanism of TNFα regulation KIF4 expression in breast cancer cells SK-BR-3[J]. Zhong Liu Fang Zhi Yan Jiu, 2015, 42(2): 117-20. [刘彩云, 史建红, 周金飒, 等. 肿瘤坏死因子α调节乳腺癌SK-BR-3细胞中KIF4表达及其机制研究[J]. 肿瘤防治研究, 2015, 42(2): 117-20.] |
| [8] | Cai XD, Zhou YB, Huang LX, et al. Reduced expression of Kruppel-like factor 17 is related to tumor growth and poor prognosis in lung adenocarcinoma[J]. Biochem Biophys Res Commun, 2012, 418(1): 67-73. |
| [9] | Liu FY, Deng YL, Li Y, et al. Down-regulated KLF17 expression is associated with tumor invasion and poor prognosis in hepatocellular carcinoma[J]. Med Oncol, 2013, 30(1): 425. |
| [10] | Sun Z, Han Q, Zhou N, et al. microRNA-9 enhances migration and invasion through KLF17 in hepatocellular carcinoma [J]. Mol Oncol, 2013, 7(5): 884-94. |
| [11] | Ismail IA, Kang HS, Lee HJ, et al. DJ-1 upregulates breast cancer cell invasion by repressing KLF17 expression[J]. Br J Cancer, 2014, 110(5): 1298-306. |
| [12] | Meng QB, Yu JC, Kang WM, et al. Expression of Doublecortinlike Kinase 1 in human gastric cancer and its correlation with prognosis[J]. Zhongguo Yi Xue Ke Xue Yuan Xue Bao, 2013, 35(6): 639-44.[孟庆彬, 于健春, 康维明, 等. Doublecortin样激酶-1在胃癌组织中的表达及其与预后关系[J]. 中国医学科学院学报, 2013, 35(6): 639-44.] |
| [13] | Antin PB, Pier M, Sesepasara T, et al. Embryonic expression of the chicken Krüppel-like (KLF) transcription factor gene family [J]. Dev Dyn, 2010, 239(6): 1879-87. |
| [14] | Yuan Y, Li MD, Hu HG, et al. Prognostic and survival analysis of 837 Chinese colorectal cancer patients[J]. World J Gastroenterol, 2013, 19(17): 2650-9. |
2015, Vol. 42





