文章信息
- 胡余昌,陈路,刘宇飞,夏和顺. 2015.
- HU Yuchang, CHEN Lu, LIU Yufei, XIA Heshun. 2015.
- 汉防己甲素对前列腺癌PC3细胞的增殖抑制及诱导凋亡作用
- Effect of Tetrandrine on Proliferation and Apoptosis of Prostate Cancer Cells PC3
- 肿瘤防治研究, 2015, 42(02): 142-144
- Cancer Research on Prevention and Treatment, 2015, 42(02): 142-144
- http://www.zlfzyj.com/CN/10.3971/j.issn.1000-8578.2015.02.009
-
文章历史
- 收稿日期:2014-02-22
- 修回日期:2014-10-30
2. 430079 武汉,湖北省肿瘤医院病理科
2.Department of Pathology, Hubei Cancer Hospital, Wuhan 430079, China
汉防己甲素(Tetrandrine,TET)又称粉防己碱,是从中草药防己科植物汉防己(Stephamia tetrandra S. Moore)的块根中提取的双苄基异喹啉类生物碱,临床上对于风湿性疼痛、关节炎、肺纤维化等疾病具有较好的疗效[1]。近年来研究发现,汉防己甲素对肝癌、肺癌、结肠癌、膀胱癌等肿瘤细胞的生长有明显的抑制作用,可作为一种潜在的抗肿瘤药物[2]。有关汉防己甲素抗前列腺癌(prostate cancer,Pca)方面的研究尚未见报道,本研究以汉防己甲素作用于人前列腺癌PC3细胞,研究其对前列腺癌细胞生长的影响并探讨其可能的作用机制。1 材料和方法 1.1 主要试剂
汉防己甲素购自江西银涛药业有限公司;DMEM培养液和胎牛血清购自美国Gibco公司;噻唑蓝(MTT)购自美国Amresco公司;流式细胞检测试剂盒购自美国BD公司;一抗Caspase-3、PARP购自美国Cell Signal公司;β-actin及二抗购于美国Santa Cruz公司。 1.2 方法 1.2.1 细胞培养
人前列腺癌PC3细胞购自中国科学院上海生命科学研究院生物化学与细胞生物学研究所,培养于5%CO2、37℃湿化培养箱中。于DMEM培养液(内含10% FBS、1 u/ml青霉素、1 g/ml链霉素)中培养,取对数生长期细胞待用。1.2.2 细胞生长曲线测定
PC3细胞以1×105个/孔的密度铺于24孔培养板,待细胞贴壁生长,更换培养液,分别加入含不同浓度(0、1、2、4、6、8、10 µg/ml)TET的DMEM培养液,每个浓度作三个复孔,显微镜下观察细胞生长的变化,分别于12、24、48 h后收获不同条件下培养的细胞,以0.4%锥虫蓝染色,用血细胞计数板计活细胞数,取四个象限未蓝染的细胞平均数作PC3细胞的生长曲线。1.2.3 MTT法测定增殖反应
取对数生长期的PC3细胞,制成细胞悬液,平铺于96孔细胞培养板中,细胞密度为2×104个/孔,细胞贴壁后加入如上不同浓度的汉防己甲素,每个浓度设4个平行孔,继续培养12、24、48 h,每孔加入20 µl 5 g/L MTT溶液,继续培养4 h后加入200 µl DMSO,微型混合器振荡10 min,测定570 nm处吸光度值,按照公式计算细胞增殖抑制率。抑制率(%)=(1-实验组平均吸光度值/对照组平均吸光度值)×100%。1.2.4 流式细胞仪检测细胞凋亡
细胞以3×105细胞/瓶的密度接种于25 cm2培养皿中,贴壁后换为含不同浓度TET及10%胎牛血清的DMEM培养液,培养24 h后收集细胞,按细胞凋亡检测试剂盒(Invitrogen YoPro-1 Apoptosis Assay Kit ) 说明处理后,用流式细胞仪测试。1.2.5 Western blot分析
收集对照组及药物处理组的PC3细胞,加入400 µl预冷的细胞裂解液,提取蛋白。BCA法测定蛋白浓度,调整蛋白含量,加入等体积电泳加样缓冲液,置沸水中变性5 min,行SDSPAGE垂直电泳,电转至PVDF膜,加50 g/L脱脂奶粉于室温封闭1 h,PBST洗膜,加入一抗,于室温孵育1 h,PBST洗膜后加相应二抗,室温孵育1 h,PBST洗膜,加化学发光底物显色后暗室曝光洗片。1.3 统计学方法
所有数据用SPSS14.0统计软件包作ANOVA方差分析,以P<0.05为差异有统计学意义。2 结果2.1 TET对PC3细胞生长的影响
对照组(未经药物处理的正常生长的前列腺癌)细胞数目成上升趋势,而汉防己甲素处理组PC3细胞数呈明显下降趋势,见图 1。说明汉防己甲素对前列腺癌PC3细胞的生长具有抑制作用。
![]() |
| 图 1 不同浓度TET对PC3细胞生长的影响 Figure 1 Effect of Tetrandrine at different concentration on the growth of PC3 cells |
汉防己甲素对P C3细胞增殖具有明显抑制作用,并呈明显的时间和浓度依赖性。2 µg/ml汉防己甲素作用24 h对PC3的抑制率为(20.96±1.72)%,10 µg/ml汉防己甲素作用24 h对PC3的抑制率达(89.23±4.12)%,与对照组相比,差异有统计学意义(P<0.01),见图 2。
![]() |
| 图 2 TET对PC3细胞的增殖抑制作用 Figure 2 I nhibit o ry effect of Tet ra ndrine on the proliferation of PC3 cells |
流式细胞术分析结果显示,PC3细胞的自然凋亡率是(1.2±0.5)%,随着汉防己甲素剂量的增加,诱导PC3细胞凋亡率逐渐增加,凋亡率分别为(4.7±0.45)%,(8.9±0.45)%,(19.6±0.35)%,(33.9±0.95)%,(51.4±0.65)%,与对照组相比,差异有统计学意义(P<0.05)。2.4 TET对PC3细胞凋亡相关蛋白表达的影响
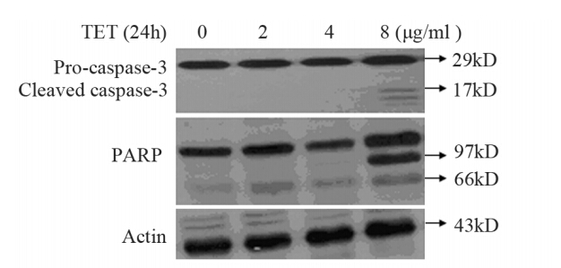
不同浓度汉防己甲素作用24 h,可引起PC3细胞凋亡相关蛋白Caspase-3的剪切活化及其底物PARP的剪切失活,而对照组Caspase-3及PARP均无特异性剪切,见图 3。
![]() |
| 图 3 不同浓度TET对PC3细胞Caspase-3、PARP蛋白表达的影响 Figure 3 Effect of tetrandrine at different concentration on Caspase-3 and PARP protein expression |
前列腺癌是男性泌尿生殖系统的常见恶性肿瘤,美国癌症协会2010的统计数据显示,前列腺癌的新发病例数在男性患者所有肿瘤中占第一位,死亡率仅次于肺癌[3]。随着我国人口老龄化和生活方式的改变,前列腺癌发病率出现明显增高的趋势,且大部分患者发现时已经发生侵袭转移,无法用传统疗法有效治疗而死亡[4],从传统中医药理论出发,用中药及其提取成分治疗肿瘤为人们提供了新的治疗思路[5]。
汉防己甲素一种具有广泛药理学作用的双苄基异喹啉类生物碱,具有直接抗肿瘤作用。Chen等[6]研究发现,汉防己甲素能将人结肠癌细胞HT-29阻止于G1期并能诱导其发生凋亡。Jin等[7]将汉防己甲素作用于小鼠神经母细胞瘤,发现汉防己甲素主要通过氧化应激,提升细胞内活性氧水平,从而诱导细胞凋亡。邢艳霞等[8]发现,汉防己甲素可通过上调Bax基因表达、下调Bcl- 2基因表达诱导HeLa细胞凋亡。
本实验结果显示,汉防己甲素对前列腺癌细胞PC3的生长有明显抑制作用,且具有时间及剂量依赖性,能明显诱导PC3细胞凋亡。Caspases家族是一组结构上相关的半胱氨酸蛋白酶,它们能特异性切开天冬氨酸残基的肽键,在细胞凋亡过程中发挥着重要作用。已发现的14个成员中,Caspase-3属于凋亡执行因子(apoptotic executioners),处于凋亡有序级联反应的下游,是细胞凋亡的关键执行者,Caspase-3的活化是细胞凋亡进入不可逆阶段标志[9]。PARP(poly ADP-ribose polymerase)是DNA修复酶,是Caspase-3的主要剪切底物。Caspase-3激活后能识别PARP中的Asp-Glu-Va-l Asp(DVCD)序列,将PARP在Asp124和Gly215之间进行剪切,使PARP羧基端的催化结构域(89kD)和氨基端的DNA结合结构域(24kD)相分离,从而使PARP失去酶活力,加速细胞的不稳定,最终使核小体间DNA降解。PARP剪切被认为是细胞凋亡的一个重要指标[10]。在许多中成药抑癌过程中存在Caspase-3及PARP的剪切活化,雷秋香等[11]用连翘叶乙醇提取物处理人食管癌细胞,发现连翘叶乙醇提取物可引起凋亡通路执行因子Caspase-3的活化及Caspase底物PARP的剪切。Qin等[12]研究发现,汉防己甲素可通过下调Survivin蛋白,上调Caspase-3蛋白诱导食管癌Eca-109细胞凋亡。此外,研究[13]表明汉防己甲素是一种多靶点的抗肿瘤天然药物,还具有其他的抗肿瘤作用,如对放化疗的减毒增敏作用、对肿瘤新生血管及肿瘤细胞远处转移的抑制作用。
本研究发现,随着汉防己甲素浓度的升高,诱导PC3细胞Caspase-3蛋白表达增加,其底物PARP亦发生特异性剪切,Caspase-3的剪切激活及PARP的剪切失活可能参与了汉防己甲素诱导PC3细胞凋亡的过程。对汉防己甲素抗癌机制的进一步研究,有望使其应用于前列腺癌等肿瘤的临床治疗。
| [1] | Cao J, Yang ZW, Li F, et al. Advances on the clinical application of tetrandrine[J]. Shi Jie Lin Chuang Yao Wu, 2013, 34(2): 75-9. [曹金, 杨兆文, 李凤, 等. 汉防己甲素的临床应用进展[J]. 世界临床药物, 2013, 34(2): 75-9.] |
| [2] | Chen YJ. Potential role of tetrandrine in cancer therapy[J].Acta Pharmacol Sin, 2002, 23(12): 1102-6. |
| [3] | Shen MM, Abate-Shen C. Molecular genetics of prostate cancer: new prospects for old challenges[J]. Genes Dev, 2010, 24(18): 1967-2000. |
| [4] | Yang YH, Wang JC, He FX. Advances on the secondary prevention of Prostate carcinoma[J]. Zhongguo Lao Nian Xue Za Zhi, 2011, 31(2): 722-5. [杨裕华, 王际莘, 贺法宪. 前列腺癌二级预防研究进展[J]. 中国老年学杂志, 2011, 31(2): 722-5. ] |
| [5] | Zhang JG, Li M, Wang TY, et al. Norcantharidin Induced Apoptosis of human colon Carcinoma cells LS-174T through inhibiting JAK-STAT3 signal pathway[J]. Zhong Liu Fang Zhi Yan Jiu, 2014, 41(1): 16-21.[张国建, 李猛, 王天阳, 等. 去甲斑蝥素通过JAK-STAT3途径诱导结肠癌LS-174T细胞凋亡[J]. 肿瘤防治研究, 2014, 41(1): 16-21. ] |
| [6] | Chen XL, Ren KH, He HW, et al. Involvement of PI3K/AKT/ GSK3beta pathway in tetrandrine-induced G1 arrest and apoptosis[J]. Cancer Biol Ther, 2008, 7(7): 1073-8. |
| [7] | Jin Q, Kang C, Soh Y, et al. Tetrandrine cytotoxicity and its dual effect on oxidative stress-induced apoptosis through modulating cellular redox states in Neuro 2a mouse neuroblastoma cells[J]. Life Sci, 2002, 71(17): 2053-66. |
| [8] | Xing YX, Guo JQ, Deng WY. Eff ect of tetr andr ine on proliferation and apoptosis of human cervical cancer cell line Hela[J]. Zhongguo Xian Dai Yi Xue Za Zhi, 2009, 19(2): 292-5. [邢艳霞, 郭洁群,邓文英. 粉防己碱对人宫颈癌Hela细胞增殖与凋亡的影响[J].中国现代医学杂志, 2009, 19(2): 292-5. ] |
| [9] | Hensley P, Mishra M, Kyprianou N. Targeting caspases in cancer therapeutics[J]. Biol Chem, 2013, 394(7): 831-43. |
| [10] | Hassler M, Ladurner AG. Towards a structural understanding of PARP1 activation and related signalling ADP-ribosyltransferases[J]. Curr Opin Struct Biol, 2012, 22(6): 721-9. |
| [11] | Lei QX, Zhao LM, Yan X, et al. Ethanol extract from forsythia suspensa leaf suppresses human esophageal carcinoma cell growth[J]. Zhong Liu Fang Zhi Yan Jiu, 2012, 39 (4): 394-9. [雷秋香, 赵连梅, 颜晰, 等. 连翘叶乙醇提取物对人食管癌细胞增殖抑制作用的研究[J]. 肿瘤防治研究, 2012, 39 (4): 394-9. ] |
| [12] | Qin R, Shen H, Cao Y, et al. Tetrandrine induces mitochondriamediated apoptosis in human gastric cancer BGC-823 cells[J]. PLoS One, 2013, 8(10): e76486. |
| [13] | Yin HF, Qian XP, Liu BR. Advances on the tetrandrine anti cancer machanism[J].Xian Dai Zhong Liu Yi Xue,2011,19(3):582-4. [殷华芳, 钱晓萍, 刘宝瑞. 汉防己甲素抗肿瘤机制研究进展[J].现代肿瘤医学, 2011, 19(3): 582-4.] |
2014, Vol. 42



