肿瘤防治研究  2015, Vol. 42 Issue (12): 1202-1205
本刊由国家卫生和计划生育委员会主管,湖北省卫生厅、中国抗癌协会、湖北省肿瘤医院主办。
0

文章信息

王储,张默函,金东洙,周宪春
WANG Chu, ZHANG Mohan, JIN Dongzhu, ZHOU Xianchun
乳腺浸润性导管癌中线粒体DNA ATPase6和 ATPase8的转录水平及意义
Transcriptional Levels of Mitochondrial DNA ATPase6 and ATPase8 in Breast Invasive Ductal Carcinoma and Related Significance
肿瘤防治研究, 2015, 42(12): 1202-1205
Cancer Research on Prevention and Treatment, 2015, 42(10): 1202-1205
http://www.zlfzyj.com/CN/10.3971/j.issn.1000-8578.2015.10.004

文章历史

收稿日期: 2015-03-13
修回日期: 2015-05-04
乳腺浸润性导管癌中线粒体DNA ATPase6和ATPase8的转录水平及意义
王储1, 张默函1, 金东洙1, 周宪春2    
1. 133000 延吉,延边大学医学院组织学与胚胎学教研室;
2. 133000 延吉,延边大学附属医院教育培训处
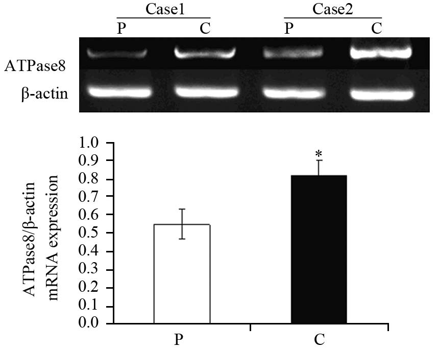
摘要:目的检测线粒体DNA(mitochondrial DNA, mtDNA)在乳腺浸润性导管癌中的转录情况, 探讨其在肿瘤发生及发展中的作用。方法 采用反转录-聚合酶链反应(RT-PCR),分别对25例乳腺浸 润性导管癌患者的癌组织及癌旁组织的mtDNA ATPase6 与ATPase8 mRNA进行检测,并观察其差异以 及与相关临床病理参数的关系。结果 mtDNA ATPase6 mRNA的相对表达量在癌组织中明显高于癌旁 组织(0.77±0.12 vs. 0.32±0.07, P<0.01);mtDNA ATPase8 mRNA的相对表达量在癌组织中明显高于癌旁 组织(0.82±0.12 vs. 0.54±0.06, P<0.01);淋巴结转移阳性组的ATPase6和ATPase8 mRNA相对表达量均高 于淋巴结转移阴性组,分别为(0.88±0.21)vs.(0.67±0.11)和(0.91±0.10)vs.(0.72±0.08),差异均有统 计学意义(P均<0.05);TNM分期Ⅱ期组的ATPase6和ATPase8 mRNA相对表达量均高于Ⅰ期组,分别为 (0.72±0.24)vs.(0.51±0.13)和(0.79±0.15)vs.(0.54±0.09),差异均有统计学意义(P均<0.05);Ⅲ期组 的ATPase6和ATPase8 mRNA相对表达量均明显高于Ⅰ期组,分别为(0.79±0.18)vs.(0.51±0.13)和(0.87± 0.12)vs.(0.54±0.09),差异均有统计学 意义(P<0.01)。结论 乳腺浸润性导 管癌组织中mtDNA ATPase6与ATPase8 的转录水平上调,并且可能在肿瘤的发 生及转移过程起到一定的作用。
关键词: 乳腺浸润性导管癌     线粒体DNA     反转录-聚合酶链反应    
Transcriptional Levels of Mitochondrial DNA ATPase6 and ATPase8 in Breast Invasive Ductal Carcinoma and Related Significance
WANG Chu1, ZHANG Mohan1, JIN Dongzhu1, ZHOU Xianchun2     
1. Department of Histology & Embryology, Yanbian University Medical College, Yanji 133000, China;
2. Office of Education and Training, Yanbian University Hospital, Yanji 133000, China
AbstractObjectiveTo detect the transcriptional levels of mitochondrial DNA(mtDNA) ATPase6 and ATPase8 in breast invasive ductal carcinoma and to investigate their significance in the occurrence and development of breast invasive ductal carcinoma.Methods The 25 cases of breast invasive ductal carcinoma tissues and adjacent normal tissues were involved in this investigation. The mtDNA ATPase6 and ATPase8 mRNA were detected by reverse transcription-polymerase chain reaction (RT-PCR), to observe the differences and their association with the clinical parameters.ResultsThe mtDNA ATPase6 mRNA expression levels in cancer tissues were higher than those in adjacent normal tissues [(0.77±0.12) vs. (0.32±0.07), P<0.01]. The mtDNA ATPase8 mRNA expression levels in cancer tissues were higher than those in adjacent normal tissues [(0.82±0.12) vs. (0.54±0.06), P<0.01]. The mtDNA ATPase6 and ATPase8 mRNA expression levels in the lymph node metastasis positive group were higher than those in lymph node metastasis negative group [(0.88±0.21) vs. (0.67±0.11), P<0.05 and (0.91±0.10) vs. (0.72±0.08), P<0.05]; those in TNM stageⅡ group were higher than those in TNM stageⅠgroup [(0.72±0.24) vs. (0.51±0.13), P<0.05 and (0.79±0.15) vs. (0.54 ±0.09), P<0.05]; those in TNM stageⅢ group were higher than those in TNM stageⅠgroup[(0.79±0.18) vs. (0.51±0.13), P<0.01 and (0.87±0.12) vs. (0.54±0.09), P<0.01].ConclusionThe transcriptional levels of mitochondrial DNA ATPase6 and ATPase8 are increased in breast invasive ductal carcinoma tissues, and could play certain roles in the occurrence and metastasis of carcinoma.
Key words: Breast invasive ductal carcinoma     Mitochondrial DNA(mtDNA)     Reverse transcriptionpolymerase chain reaction(RT-PCR)    
0 引言

乳腺癌是危害女性健康的常见恶性肿瘤之 一,而浸润性导管癌则是乳腺癌最常见的病理类 型。线粒体DNA(mitochondrial,mtDNA)作为 唯一存在于细胞核外的遗传物质,已被发现与多 种肿瘤的发生、发展有关[1]。mtDNA ATPase6与 ATPase8是编码呼吸链复合体Ⅴ亚基的基因,即共 同编码ATP合酶(ATP syntherase)的F0部分[2]。由 于F0对ATP的产生有导向作用,因此研究ATPase6 与ATPase8在乳腺浸润性导管癌组织中的转录水 平,对于了解乳腺癌的发生、发展以及肿瘤细胞 的能量供应方式具有重要的理论意义。本研究采 用RT-PCR法检测25例乳腺浸润性导管癌组织及相 应癌旁组织的mtDNA ATPase6与ATPase8 mRNA, 并结合相关临床病理参数进行分析,旨在探讨 mtDNA ATPase6与ATPase8的变化在浸润性乳腺导 管癌发生、发展中的作用。

1 资料与方法 1.1 一般资料

收集2005年5月—2010年5月在延边大学附属 医院治疗的25例患者,均经病理诊断为乳腺浸润 性导管癌。患者年龄36~73岁,平均年龄(51.73± 7.54)岁。手术后立即切取部分新鲜癌组织及癌旁 组织(距癌组织边缘>5 cm,病理排除不典型增 生及原位癌),立即投置于液氮,后转置于-70℃ 冰箱保存备用[3]。按照WHO国际标准进行TNM临 床分期:Ⅰ期5例,Ⅱ期13例,Ⅲ期7例,其中有 淋巴结转移15例,无淋巴结转移10例。

1.2 实验方法

总RNA提取及RT-PCR检测:取相互对应的 癌组织及癌旁组织各60~80 mg,组织匀浆后溶于 TRIzol液。氯仿分离蛋白,异丙醇沉淀RNA,并 溶于75%乙醇(无核酸酶)后真空干燥,最后溶 于DEPC处理过的去离子水,-70℃保存。选用 德国Eppendorf公司Mastercycler nexus型PCR仪, 按照美国Promega公司的一步法RT-PCR试剂盒 操作要求进行PCR扩增,引物序列为ATPase6: 5′-ATCTGTTCGCTTCATTCATTGC-3′(正义), 5′-ATCAGGTTCGTCCTTTAGTGTTG-3′(反 义),654 bp,退火温度60℃;ATPase8:5′-GCGACTTACGTGACCAATCTGTACG- 3′(正义), 5′-TCAATCCACAGCAGTGGTATAAGCC-3′(反 义),186 bp,退火温度62℃;β-actin:5′-ATCATGTTTGAGACCTTCAACA- 3′(正义), 5′-CATCTCTTGCTCGAAGTCCA-3′(反义), 313 bp,退火温度60℃。反应条件为48℃反转录反 应45 min,94℃灭活AWV反转录酶活性及引物变 性2 min,然后94℃ 30 s,退火温度1 min,68℃ 2 min,循环40次,68℃ 7 min,4℃冷却。2%琼脂糖 凝胶电泳检测,以β-actin为参考,Gel Doc XR凝胶 成像分析系统成像分析,计算ATPase6与ATPase8 mRNA的相对含量。

1.3 统计学方法

实验数据采用(x±s)表示,应用SPSS17.0 统计学软件处理数据,采用t检验及单因素方差分 析,P<0.05为差异有统计学意义。 2 结果 癌组织及癌旁组织mtDNA ATPase6与ATPase8 的转录水平。RT-PCR扩增后,mtDNA ATPase6与 ATPase8 mRNA在癌组织与癌旁组织的相对表达量 的比较结果具有相似性,他们在癌组织均明显高 于癌旁组织(P<0.01)。结合相关临床病理参数 分析比较癌组织mtDNA ATPase6与ATPase8 mRNA 的相对表达量也具有相似性,表现在淋巴结转移阳 性高于淋巴结转移阴性,两者比较差异有统计学意 义(P<0.05);TNM分期Ⅱ期较Ⅰ期高,两者比 较差异有统计学意义(P<0.05);Ⅲ期也较Ⅰ期 高,两者比较差异有统计学意义(P<0.01);而 TNM分期Ⅱ期与Ⅲ期及年龄分组比较差异无统计 学意义(P>0.05),见表 1图 1~2

表 1 乳腺浸润性导管癌mtDNA ATPase6与ATPase8 mRNA表达与临床病理特征的关系 Table 1 Correlation of mtDNA ATPase6 and ATPase8 mRNA expression to clinicopathological features of breast invasive ductal carcinoma

P: adjacent normal tissues; n=25; C: breast invasive ductal carcinoma tissue; *: P<0.01, compared with P 图 1 乳腺浸润性导管癌组织与癌旁组织mtDNA ATPase6 mRNA的表达 (n=25) Figure 1 Comparison of mitochondrial DNA (mtDNA) ATPase6 mRNA expression between breast invasive ductal carcinoma and adjacent normal tissues (n=25)

*: P<0.01, compared with P 图 2 乳腺浸润性导管癌组织与癌旁组织mtDNA ATPase8 mRNA的表达 (n=25) Figure 2 Comparison of mtDNA ATPase8 mRNA expression between breast invasive ductal carcinoma and adjacent normal tissues (n=25)
3 讨论

细胞代谢依赖ATP提供能量,肿瘤细胞也不 例外。细胞产生ATP的方式主要有两种:氧化磷 酸化和糖酵解。其中,氧化磷酸化在正常细胞中 发生;而糖酵解则在肿瘤细胞中发生[4]。造成这 一结果的原因有很多,包括HIF等相关细胞因子 激活、糖酵解关键酶或载体数量或活性改变、氧 化磷酸化功能损坏等。呼吸链复合体Ⅴ又称ATP 合酶,是氧化磷酸化过程中发挥核心作用的酶, 主要有F0和F1两部分组成。其中,F1具有催化 ATP合成或水解活性的作用,而F0的主要功能则 是构成离子通道,便于质子流通过,对于ATP产 生具有导向作用[5]。F0的两个主要亚基由mtDNA ATPase6与ATPase8编码。乳腺癌发生过程中, 癌细胞对能量的需求增高,细胞内糖酵解途径增 强。由于肿瘤细胞氧化磷酸化功能损坏,其组成 译均应下调。但本研究发现乳腺癌癌组织mtDNA ATPase6与ATPase8的转录水平较癌旁组织明显增 强。而我们前期研究发现乳腺癌组织mtDNA拷贝 量下降[6]。mtDNA ATPase6与ATPase8作为mtDNA 的重要组成部分,其转录水平不降反升的现象更 具研究价值。考虑原因可能为:(1)由于F0的 ATP产生的导向作用,在糖酵解产生ATP过程中,F0也发挥着一定的作用,这要求其组成部分的表 达上调;(2)乳腺癌发生、发展需要多种信号通 路及蛋白复合物参与。mtDNA ATPase6与ATPase8 编码蛋白参与了其他蛋白复合物构成,且此种复 合物对乳腺癌发生、发展起到一定作用。这两点 我们将在今后的研究中逐一进行探讨与验证。本 研究还结合相关临床病理参数。患者年龄、淋巴 结转移、TNM分期是常用的乳腺癌临床病理参 数,也是判断乳腺癌转移及预后的重要指标[7, 8]。 通过研究,我们发现有淋巴结转移者较无淋巴 结转移者转录水平增高,表明mtDNA ATPase6与 ATPase8可能参与了乳腺癌的转移,但ATPase6与 ATPase8在转移过程中的具体作用不详。同时我们 还发现TNM分期中mtDNA ATPase6与ATPase8的转 录水平表现为Ⅱ、Ⅲ期较Ⅰ期增高,其中Ⅲ期最 为显著。TNM分期主要反映的是肿瘤大小、淋巴 结转移、远处转移。此项研究结果也验证了我们 的假设。至于mtDNA ATPase6与ATPase8的转录与 肿瘤大小的关联,我们将进行后续研究。综上所 述,我们认为mtDNA ATPase6与ATPase8参与了乳 腺浸润性导管癌的发生,其作用机制可能与能量 供应有关;同时mtDNA ATPase6与ATPase8也参与 了乳腺浸润性导管癌的转移,但其具体作用机制 有待进一步研究。

参考文献
[1] Ghatak S, Lallawmzuali D, Mukherjee S, et al. Polymorphism in mtDNA control region of Mizo-Mongloid Breast Cancer samples as revealed by PCR-RFLP analysis[J]. MitochondrialDNA, 2014: 1-4.
[2] Ghaffarpour M, Mahdian R, Fereidooni F, et al. The mitochondrial ATPase6 gene is more susceptible to mutation than the ATPase8 gene in breast cancer patients[J]. Cancer Cell Int, 2014, 14(1): 21.
[3] Zhang MH, Zhou XC, Li LC, et al. Manganese superoxide dismutase expression and clinical significance in breast invasive ductal carcinoma[J]. Lin Chuang Yu Shi Yan Bing Li Xue Za Zhi,2012, 28(9): 956-8, 962. [张默函, 周宪春, 李良昌, 等. 锰超氧化物歧化酶在乳腺浸润性导管癌中的表达及临床意义[J]. 临床与实验病理学杂志, 2012, 28(9): 956-8, 962.]
[4] Kim H, Yokoyama W, Davis PA. TRAMP prostate tumor growth is slowed by walnut diets through altered igf-1levels, energypathways, and cholesterol metabolism[J]. J MedFood, 2014, 17(12): 1281-6.
[5] Koch-Koerfges A, Kabus A, Ochrombel I, et al. Physiology and global gene expression of a Corynebacterium glutamicum ΔF(1)F(O)-ATP synthase mutant devoid of oxidative phosphorylation[J]. Biochim Biophys Acta, 2012, 1817(2):370-80.
[6] Zhang MH, Jin DZ, Jin YS. Significance of alterations of mitochondrial DNA copy number in breast carcinoma[J]. Jie Pou Xue Bao, 2009, 40(1): 44-6. [张默函, 金东洙, 金映杉. 乳腺癌中线粒体DNA拷贝量变化意义[J]. 解剖学报, 2009, 40(1): 44-6.]
[7] Zhang YL, Fang NZ, You JC, et al. Advances in the Relationship Between Tumor Cell Metabolism and Tumor Metastasis[J].Zhongguo Fei Ai Za Zhi, 2014, 17(11): 812-8. [张亚龙, 房念珍,尤嘉琮, 等.肿瘤细胞代谢与肿瘤转移相互关系的研究进展[J]. 中国肺癌杂志, 2014, 17(11): 812-8.]
[8] Li QX, Xing YJ, Zhao J, et al. Correlation between Molecular Subtypes and Clinical Features in Invasive Ductal Carcinoma of Breast[J]. Zhong Liu Fang Zhi Yan Jiu, 2013, 40 (4): 341-4. [李庆霞, 邢雅军, 赵静, 等. 乳腺浸润性导管癌分子分型与临床特征的关系[J]. 肿瘤防治研究, 2013, 40 (4): 341-4.]