文章信息
- 展鹏远,王晓磊,郭伟,段文飞,邢燕来,吴飞.
- ZHAN Pengyuan, WANG Xiaolei, GUO Wei, DUAN Wenfei, XING Yanlai, WU Fei.
- 共刺激因子B7-H1蛋白在胆囊癌中的表达及与预后的关系
- Expression of Costimulator B7-H1 Protein in Gallbladder Carcinoma Tissues and Its Relationship with Prognosis
- 肿瘤防治研究, 2015, 42(11): 1128-1130
- Cancer Res Prev Treat, 2015, 42(11): 1128-1130
- http://www.zlfzyj.com/CN/10.3971/j.issn.1000-8578.2015.11.015
-
文章历史
- 收稿日期: 2014-12-05
- 修回日期: 2015-06-11
胆囊癌的恶性程度高,预后差。研究胆囊癌发生发展的相关因子,对于揭示其本质,探索新的抗肿瘤途径具有十分重要的意义。现有的研究表明[1],多种基因相互作用及其调控蛋白的差异表达在恶性肿瘤发生、发展及侵袭转移中起作用;其中就包括B7-H1。本研究应用免疫组织化学SP法检测B7-H1蛋白在60例胆囊癌组织中的表达;探讨B7-H1蛋白在胆囊癌组织中的表达规律及其可能预示的临床意义。
1 资料与方法 1.1 临床资料收集河南大学第一附属医院2004年6月至2011年1月期间手术切除的胆囊癌标本60例,所有的患者术前均未接受放、化疗,术后病理诊断为胆囊癌。所取标本均经10%甲醛固定,石蜡包埋。其中男15例、女45例;年龄>50岁40例、≤50岁20例;TNMⅠ期12例、Ⅱ期38例、Ⅲ期8例、Ⅳ期2例;伴淋巴结转移者26例、无淋巴结转移者34例;高分化10例、中分化32例、低分化18例。对所有患者进行电话或书信随访,全部患者生存时间以确诊时间为起点, 至患者死亡或最近一次随访时间生存为终点,无失访患者;随访时间截止至2014年1月31日。取癌旁非肿瘤组织20例及胆囊腺瘤性息肉20例作为对照。
1.2 主要试剂人B7-H1别藻蓝蛋白单克隆抗体(克隆185504),鼠IgG1单克隆抗体均购自美国R&D公司。超敏SP(通用型)试剂盒:生物素标记的羊抗鼠IgG、链霉菌抗生物素蛋白-过氧化酶购自福州迈新生物技术开发有限公司,产品编号:KIT-9701。
1.3 方法 1.3.1 免疫组织化学检测采用链霉菌抗生物素蛋白-过氧化物酶连结法(SP法);所用的载玻片用10%稀硝酸及AEPS液处理;一抗为B7-H1(1:100稀释);二抗为生物素化IgG;操作步骤按说明书进行;以结肠癌作为阳性对照,以磷酸盐缓冲盐水(PBS液)代替一抗作阴性空白对照。
1.3.2 结果判定方法以细胞质及细胞膜中出现棕黄色颗粒状物为阳性染色,在高倍镜下(×400),随机观察4个不连续视野,计算阳性细胞占细胞总数百分比,结合阳性细胞表达强度进行评分[2],评分计算公式如下:S=∑ei。其中S为评分最后得分;e为阳性细胞百分比评分:无阳性细胞为0分,≥1%~30%为1分,30%~60%为2分,>60%~100%为3分;i为阳性细胞表达强度评分,用分析测量图像软件Image Pro Plus 6.0系统对图像进行扫描,根据累计吸光度值(IOD)评分:IOD≤15计0分,>15~45计1分,>45~75计2分,≥75计3分;S≥3分为阳性表达。
1.4 统计学方法应用SPSS17.0软件进行统计学处理,计数资料采用χ2检验;连续性校正χ2检验;生存分析采用Kaplan-Meier方法;预后影响因素的单因素分析采用Log rank检验,以P<0.05为差异有统计学意义。
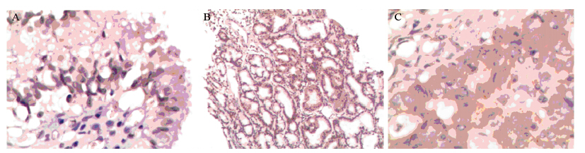
2 结果 2.1 B7-H1在各组中的表达免疫组织化学结果显示,B7-H1蛋白主要表达于细胞质,也可表达于细胞膜,见图 1。B7-H1蛋白在胆囊癌组中的表达高于胆囊腺瘤性息肉组(P=0.035)和癌旁非肿瘤组织组(P=0.003),差异有统计学意义,见表 1。
|
| A: Positive expression of B7-H1 protein in corresponding non-tumor tissues(SP ×400); B: Positive expression of B7-H1 in gallbladder adenoma polyp tissues(SP ×200); C: Positive expression of B7-H1 in gallbladder carcinoma tissues(SP ×400) 图 1 B7-H1蛋白在不同组织中的阳性表达 Figure 1 Positive expression of B7-H1 protein in various tissues |
![]() |
胆囊癌组织中B7-H1蛋白的阳性表达在Nevin(Ⅳ+Ⅴ)期、TNM Ⅲ+Ⅳ期、淋巴结转移组高于Nevin(Ⅰ+Ⅱ+Ⅲ)期(P=0.041)、TNM(Ⅰ+Ⅱ)期(P=0.049)、无淋巴结转移组(P=0.000),差异有统计学意义。与患者的性别(P=0.550)、年龄(P=0.360)、分化程度(P=0.366)差异均无统计学意义,见表 2。
![]() |
Kaplan-Meier生存分析显示,B7-H1蛋白阳性表达组的中位生存期为21.00月,95%CI(17.54~24.58月);B7-H1蛋白阴性表达组的中位生存期为30.00月,95%CI(21.13~38.87月)。Log rank检验显示:B7-H1蛋白阳性表达患者三年生存期显著短于阴性表达患者(χ2=4.767,P=0.029),见图 2。
|
| 图 2 胆囊癌中B7-H1阳性表达组和阴性表达组的Kaplan- Meier生存曲线 Figure 2 Kaplan-Meier survival curves of positive and negative expression of B7-H1 protein in gallbladder carcinoma tissues |
B7-H1(B7-homolog1)是B7家族中的共刺激信号分子之一,又称程序性死亡分子1配体1(PD-L1),是近年来发现的B7家族新成员,不同于其他B7家族分子的是它具有负向调节免疫应答的作用;在多种肿瘤细胞上高表达[3]。
本研究显示,B7-H1蛋白在癌旁非肿瘤黏膜、胆囊腺瘤性息肉及胆囊癌组织中均有表达;呈上升趋势,且胆囊癌组的表达高于癌旁非肿瘤黏膜组和胆囊腺瘤性息肉组,差异有统计学意义,提示B7-H1蛋白可能参与胆囊癌的发生。有研究报道[4],B7-H1可结合T细胞表面表达的受体PD-1分子,传递抑制性信号,抑制T细胞功能,介导肿瘤免疫逃逸,可逃避T淋巴细胞的免疫监视作用;还可调节外周组织中T细胞耐受,有利于肿瘤细胞生长。还有研究发现[5],B7-H1能下调E-cadherin表达,上调转录因子Twist、Slug表达,促进上皮细胞-间质转化,促进皮肤癌的发生。
有研究显示[6],趋化因子CXCR4在众多肿瘤中高表达,通过与其受体CXCL12结合参与肿瘤的浸润和淋巴结转移;研究发现[7]共刺激因子B7-H1与CXCR4在膀胱移行细胞癌组织高表达且二者呈正相关,与膀胱移行细胞癌的临床分期、病理分级、复发等相关;认为两者在膀胱移行细胞癌的发展过程中起作用。还有研究发现[8]:B7-H1在结肠癌转移的淋巴结中高表达;B7-H1的受体PD-1在淋巴结中特异性高表达,认为B7-H1抑制淋巴细胞的增殖分化、免疫应答、促进淋巴细胞凋亡,有利于肿瘤细胞转移。此外,Parsa等[1]发现PTEN具有抑癌作用;可以逆转PI3K所催化的反应,负向调节PI3K/Akt通路,当它发生突变或缺失时,PI3K/Akt通路活性增强,参与基因转录、蛋白质翻译起始、细胞凋亡等多项细胞功能。而B7-H1蛋白在Akt激活时表达增多,所以PTEN的缺失或突变可通过激活Akt而致B7-H1蛋白表达的增加;参与肿瘤的浸润及转移。这些结果提示B7-H1在肿瘤细胞的异常表达与肿瘤进展有一定的关系;B7-H1也可能通过以上机制参与胆囊癌的发展。结合患者生存分析发现,B7-H1蛋白在胆囊癌中的表达水平与患者的预后呈负相关性,B7-H1蛋白在胆囊癌中的表达有可能成为胆囊癌预后判断的指标之一。此外,B7-H1在免疫及基因治疗方面已有相关的研究报道[9],这为胆囊癌的干预治疗也提供了一个新的思路。| [1] | Parsa AT, Waldron JS, Panner A, et al. Loss of tumor suppressor PTEN function increases B7-H1 expression and immunoresistance in glioma[J]. Nat Med, 2007, 13(1): 84-8. |
| [2] | Maréchal R, Demetter P, Nagy N, et al. High expression of CXCR4 may predict poor survival in resected pancreatic adenocarcinoma[J]. Br J Cancer, 2009, 100 (9): 1444-51. |
| [3] | Dong H, Zhu G, Tamada K. B7-H1, a third member of the B7 family, co-stimulates T-cell proliferation and interleukin-10 secretion[J]. Nat Med, 1999, 5(12): 1365-9. |
| [4] | Blank C, Mackensen A. Contribution of the PD-L1/PD-1 pathway to T-cell exhaustion: an update on implications for chronic infections and tumor evasion[J]. Cancer Immunol Immunother, 2007, 56(5): 739-45. |
| [5] | Cao Y, Zhang L, Kamimura Y, et al. B7-H1 overexpression regulates epithelial-mesenchymal transition and accelerates carcinogenesis in skin[J]. Cancer Res, 2011, 71(4): 1235-43. |
| [6] | Dai X, Mao Z, Huang J, et al. The CXCL12/CXCR4 autocrine loop increases the metastatic potential of non-small cell lung cancer in vitro[J]. Oncol Lett, 2013, 5(1): 277-82. |
| [7] | Gong XH, Wang YH, Shao SX, et al. Expression and significance of B7-H1 and CXCR4 in bladder transitional cell carcinoma[J]. Qilu Yi Xue Za Zhi, 2013, 8(4): 286-8. [公欣海, 王永华, 邵世修, 等. 膀胱移行细胞癌组织B7-H1和CXCR4表达及其意义[J].]齐鲁医学杂志, 2013, 8(4): 286-8. |
| [8] | Liu SM, Liu GH, Zhang QX, et al. Expression of B7-H1 and its significance in colon cancer[J]. Shi Jie Hua Ren Xiao Hua Za Zhi, 2009, 17(8): 841-3. [刘书漫, 刘国红, 张钦宪, 等. B7-H1在结肠癌组织中的表达及意义[J]. ]世界华人消化杂志, 2009, 17(8): 841-3. |
| [9] | Pilon-Thomas S, Mackay A, Vohra N, et al. Blockade of programmed death ligand 1 enhances the therapeutic efficacy of combination immunotherapy against melanoma[J]. J Immunol, 2010, 184(7): 3442-9. |
2015, Vol. 42




