文章信息
- 廖瑜倩,胡宏荣,李俊,刘丽娟,万以叶.
- LIAO Yuqian, HU Hongrong, LI Jun, LIU Lijuan, WAN Yiye.
- miR-206通过调节ERα水平影响乳腺癌细胞MCF-7对他莫昔芬敏感度的初步研究
- Influences of miR-206 on Sensitivity of Estrogen Receptor-α Positive Breast Cancer Cells MCF-7 to Tamoxifen
- 肿瘤防治研究, 2015, 42(11): 1067-1070
- Cancer Research on Prevention and Treatment, 2015, 42(11): 1067-1070
- http://www.zlfzyj.com/CN/10.3971/j.issn.1000-8578.2015.11.002
-
文章历史
- 收稿日期: 2015-07-22
- 修回日期: 2015-08-31
2. 341000 赣州,江西省赣州市肿瘤医院肿瘤内科;
3. 330029 南昌,江西省肿瘤医院药剂科
2. Department of Medical Oncology, Ganzhou Cancer Hospital, Ganzhou 341000, China;
3. Department of Pharmacy, Jiangxi Cancer Hospital, Nanchang 330029, China
雌激素受体阳性乳腺癌占乳腺癌的70%左右,他莫昔芬(TAM)是该类乳腺癌内分泌治疗的基础药物之一[1]。但是,近50%的晚期患者在使用TAM一线治疗时无效,或初治治疗时敏感但随后出现获得性耐药和继发耐药。内分泌耐药的可能机制[2]包括ER表达减少或敏感度降低、ER通路与其他信号转导通路的改变或交互作用、细胞周期、凋亡相关蛋白等改变、特定小分子RNA(miRNA)表达的改变等。
miRNAs是一类长约22 bp的单链小分子非编码RNA。近年来,miRNAs表达改变与乳腺癌治疗敏感度之间的关系日益受到人们重视[3, 4]。miRNA在不同亚型乳腺癌中表达存在差异,其中miR-206在ERα阴性的乳腺癌标本中表达升高[5, 6]。进一步研究表明,miR-206能够靶向ERα mRNA的3'UTR,从而抑制该基因的表达,此外miR-206还可影响编码ERα相关协同蛋白的mRNA[7, 8]。本研究旨在初步探讨miR-206是否能通过调控乳腺癌细胞中ERα的表达水平来影响乳腺癌细胞对他莫昔芬的药物敏感度。
1 材料与方法 1.1 细胞株和主要试剂MCF-7乳腺癌细胞购自美国典型菌种保藏中心(ATCC)。模拟物miR-206 mimic、模拟物阴性对照miR-206 mimic Negative Control(miR-206 mimic NC)、抑制物miR-206 inhibitor、抑制物阴性对照miR-206 inhibitor Negative Control(miR-206 inhibitor NC)、miR-206 PCR引物、U6 PCR引物、ribo FECT CP Reagent购自广州锐博生物科技有限公司。ERα PCR引物、β-actin PCR引物由上海生物工程技术服务有限公司合成。SuperRT cDNA第一链合成试剂盒购自北京康为世纪公司,PCR预混反应液2×Taq Master Mix购自上海近岸蛋白质科技有限公司。
1.2 实验方法 1.2.1 细胞培养和转染MCF-7细胞用DMEM培养液(HyClone Thermo)孵育。转染前一天,取不含抗生素的血清培养液培养细胞,取对数期细胞消化后成细胞悬液,以2×105个/孔细胞均匀接种于含10%FBS培养液(不含抗生素)的6孔板继续培养。
分别稀释miR-206 mimic、miR-206 mimic NC、miR-206 inhibitor、miR-206 inhibitor NC,使终浓度分别为50、50、100和100 nmol/L 。使用ribo FECT CP Reagent进行转染。
1.2.2 检测转染后miR-206和ERα表达量将培养板中细胞消化离心后,加入Trizol溶解,用氯仿/异丙醇法提取总RNA。将提取的总RNA反转录成cDNA链,置于PCR反应仪中。配制3%琼脂糖凝胶,取PCR反应后各组产物5 μl上样,置于电泳槽中, 160 V、25 min,进行琼脂糖凝胶电泳。琼脂糖凝胶置EB液中浸染10 min,清水冲洗浸染液,置于凝胶呈像系统中呈像记录。采用Gel-Pro Analyzer 4.0软件对PCR结果进行条带分析,荧光条带强度采用吸光度(integrated optical density, IOD)表示。目的基因的相对表达量用相对吸光度值(relative integrated optical density, RIOD)表示。RIOD=IOD目的基因/IOD内参
1.2.3 MTT法检测他莫昔芬对细胞增殖的影响各组细胞以每孔4 000个均匀接种于含10%FBS培养液(不含抗生素)的96孔板中继续培养。第二天各组加含5 μg/ml他莫昔芬、10×10-9 mol/L雌二醇(E2)和10%FBS的培养液[3],向空白对照中加10×10-9 mol/L E2和10%FBS的培养液。24 h后加MTT溶液20 μl,继续孵育4 h,终止培养,吸弃孔内培养上清液,每孔加150 μl DMSO,振荡10 min,使结晶物充分融解。选择490 nm波长,在酶联免疫监测仪上测定各孔吸光度值,记录结果并分析。细胞增殖率=OD实验组/OD空白对照。
1.3 统计学方法相关统计分析主要用Excel,GraphPad Prism,SPSS17.0软件完成。两组间均数比较采用独立样本t检验,多组间均数比较采用单因素方差分析,P<0.05提示差异有统计学意义。
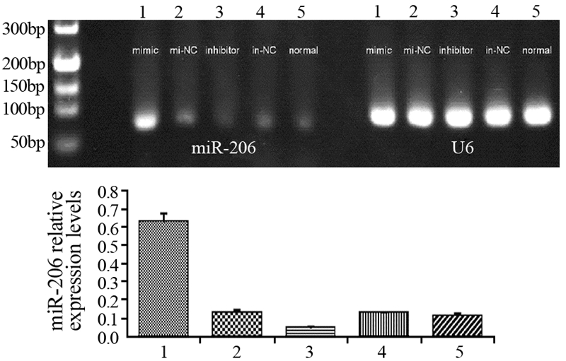
2 结果 2.1 miR-206转染效果转染miR-206 mimic后MCF-7细胞miR-206表达较miR-206 mimic NC升高(0.633±0.042 vs. 0.132±0.011, P<0.001);转染miR-206 inhibitor后MCF-7细胞miR-206 mRNA表达较miR-206 inhibitor NC降低(0.049±0.002 vs. 0.129±0.001, P<0.001)。miR-206 mimic NC、miR-206 inhibitor NC与正常对照组中细胞miR-206 mRNA表达相近。各组间内参U6表达水平相近。见图 1。
|
| Notes: 1: mimic; 2: mimic negative control; 3: inhibitor; 4: inhibitor negative control; 5: normal 图 1 各组MCF-7细胞中miR-206 mRNA相对表达量 Figure 1 The relative expression levels of miR-206 mRNA in MCF-7 cells |
与miR-206 mimic NC组相比,miR-206 mimic组细胞ERα表达降低(0.268±0.029 vs. 0.169±0.007, P=0.005);与miR-206 inhibitor NC组相比,miR-206 inhibitor组细胞ERα表达升高(0.269±0.017 vs. 0.496±0.021, P<0.001), miR-206 mimic NC、miR-206 inhibitor NC与正常对照组中细胞ERα表达相近。miR-206 mimic组中β-actin表达水平下降明显,miR-206 mimic NC、miR-206 inhibitor及miR-206 inhibitor NC各组内参β-actin表达水平相近。见图 2。
|
| 1: minic; 2: mimic negative control; 3: inhibitor; 4: inhibitor negative control; 5: normal 图 2 转染后各组MCF-7 细胞ERα mRNA相对表达量 Figure 2 The relative expression levels of ERα mRNA in MCF-7 cells |
用MTT法检测他莫昔芬对转染后乳腺癌细胞增殖的影响。正常对照组细胞加入TAM及E2。空白对照组仅加入E2。miR-206 mimic组细胞增殖率(0.676±0.121)与miR-206 mimic NC组(0.754±0.009)相比,乳腺癌细胞增殖情况未发生明显改变(t=-1.169, P=0.276)。miR-206 inhibitor组细胞增殖率(0.547±0.123)与miR-206 inhibitor NC组(0.764±0.100)相比,乳腺癌细胞生长抑制作用更为明显(t=-3.054, P=0.016),而正常对照组为(0.790±0.045);空白对照组为1.000,见图 3。
|
| 图 3 MTT法检测转染后各组在他莫昔芬作用下细胞增殖结果 Figure 3 The proliferation abilities of MCF-7 cells treated with tamoxifen |
不同亚型乳腺癌中miRNA的表达存在差异。Iorio等[6]报道miR-206在ER阳性与阴性乳腺癌组织中表达水平不同。Adams等[7]研究显示,miR-206表达水平在ERα阴性的MB-MDA-231细胞中比ERα阳性的MCF-7细胞中明显增高。他们还发现,miR-206在ERα mRNA的3’UTR上有两个结合域,向MCF-7细胞中转入miRNA-206前体可以特异性下调ERα mRNA水平,而ERα可以显著抑制miR-206的表达,ERβ和孕激素则不能。因此,miRNA-206调节ERα表达是一种相互作用的负反馈环路。Kondo等[9]研究发现,ERα蛋白表达评分相差越大,样本中miR-206表达差异越明显,将表达miRNA-206前体的质粒转染到MCF-7细胞中,可以降低ERα mRNA、PR、cyclinD1和pS2的表达。在本研究中上调miR-206可使ERα mRNA表达下降,下调miR-206可使ERα mRNA表达上升,说明miR-206能够抑制乳腺癌细胞中ERα的表达,与上述研究结果一致。
miR-206还是一个肿瘤抑制因素,Kondo等[9]研究表明miR-206升高能抑制MCF-7细胞增殖,并且这种抑制效应呈时间-剂量依赖性。Zhou等[10]发现miR-206升高能抑制cyclinD2表达、阻滞MCF-7细胞由G1期向S期转化,从而抑制细胞增殖和克隆形成,并且miR-206低表达与较大的肿瘤负荷和较晚的临床分期相关。Song等[11]发现miR-206可以降低Notch3蛋白和mRNA水平,诱导细胞凋亡和阻断Notch3的抗凋亡活性。Li等[12]发现与正常邻近组织标本比较,乳腺癌组织样本中miR-206下调与较晚的临床分期和淋巴结转移相关,提示miR-206低表达对乳腺癌患者总生存来说是一个不良的预后指标。
可见,miR-206不仅影响ERα的表达水平,也有调节细胞周期、细胞凋亡和细胞迁移等作用。在这些机制作用下,miR-206能否影响他莫昔芬敏感度呢?目前尚未见miR-206与他莫昔芬敏感度相关的数据。本研究显示,在转染miR-206 inhibitor的MCF-7细胞中加入他莫昔芬,细胞增殖的抑制作用明显强于阴性对照,提示对他莫昔芬敏感度增强。但是,在转染miR-206 mimic的MCF-7细胞中,他莫昔芬的抑制作用也强于阴性对照,接近有统计学意义。分析原因如下:一方面miR-206作为肿瘤抑制因素本身可影响MCF-7肿瘤细胞增殖;另一方面miR-206可改变ERα的表达水平,进而影响对他莫昔芬敏感度。因此,他莫昔芬作用于miR-206水平不同的MCF-7后,细胞增殖取决于上述两个机制的综合结果。是否存在其他原因也有待进一步研究。
已有研究显示miRNA不仅影响他莫昔芬敏感度,甚至能够逆转他莫昔芬耐药。Cittelly等[13]恢复耐药MCF-7细胞系中miRNA-342的表达,可增加其对他莫昔芬介导的凋亡敏感度。Zhao等[14]发现在ER阴性MDA-MB-468细胞中敲除miRNA-221和-222可以部分恢复ERα蛋白表达,增加他莫昔芬介导的凋亡。然而,以miR-206为靶点,逆转他莫昔芬耐药却存在一定困难。因为降低miR-206水平虽然能提高他莫昔芬敏感度,但由于miR-206是肿瘤抑制因素,其水平降低导致MCF-7的增殖能力增强,存在促进肿瘤细胞生长的风险。此外,本研究也未就miR-206在他莫昔芬耐药的乳腺癌细胞中的作用展开讨论。因此,目前的结果支持miR-206水平可预测他莫昔芬的敏感度,但能否以miR-206为靶点逆转他莫昔芬耐药,改善受体阳性乳腺癌的预后仍需要更多基础实验和临床方面的相关研究。
另外本实验发现升高miR-206能够降低β-actin mRNA的表达,Adams等也发现类似的结果[7, 8],还有研究显示miR-206能抑制细胞Cdc42蛋白从而影响细胞骨架形成[15],而β-actin正是形成细胞骨架的重要蛋白。
综上所述,通过调节miR-206表达能够影响MCF-7细胞对他莫昔芬的敏感度,其中下调miR-206表达对MCF-7细胞他莫昔芬敏感度的影响更为显著。这为通过miR-206预测乳腺癌内分泌治疗疗效、判断乳腺癌预后提供了依据。但由于miR-206的作用机制复杂,能否以miR-206为靶点,增加他莫昔芬疗效并改善预后还需更多证据的支持。本项研究的结果提示miR-206改变ERα水平是其影响对他莫昔芬敏感度的机制之一,但miR-206能否通过调节细胞周期、细胞凋亡以及细胞迁移来影响对他莫昔芬的敏感度还需要后续更为深入的研究,这些研究将帮助我们更好的了解miRNA的功能及内分泌耐药的机制。
| [1] | Davies C, Pan H, Godwin J, et al. Long-term effects of continuing adjuvant tamoxifen to 10 years versus stopping at 5 years after diagnosis of oestrogen receptor-positive breast cancer: ATLAS, a randomised trial[J]. Lancet, 2013, 381(9869): 805-16. |
| [2] | García-Becerra R, Santos N, Díaz L, et al. Mechanisms of resistance to endocrine therapy in breast cancer: focus on signaling pathways, miRNAs and genetically based resistance[J]. Int J Mol Sci, 2012, 14(1): 108-45. |
| [3] | He YJ, Wu JZ, Ji MH, et al. Influence of miR-342 on estrogen receptor-α expression and tamoxifen sensitivity of breast cancer[J]. Zhonghua Zhong Liu Fang Zhi Za Zhi, 2013, 20(2): 81-7. [何跃君, 吴建中, 季明华, 等. MiR-342与乳腺癌ER表达及他莫昔芬敏感性关系探讨[J]. 中华肿瘤防治杂志, 2013, 20(2): 81-7. |
| [4] | Zhao RH, Li XK, Zhang WJ. Plasma miR-221 expression could predict chemosensitivity to neoadjuvant chemotherapy in breat cancer patients[J]. ZhongLiu Fang Zhi Yan Jiu, 2014, 41(10): 1087-92. [赵瑞华, 李向柯, 张伟杰. 血浆miR-221的表达与乳腺癌患者新辅助化疗疗效的相关性[J]. 1087-92.肿瘤防治研究, 2014, 41(10): |
| [5] | Min W, Wang B, Li J, et al. The expression and significance of five types of miRNAs in breast cancer[J]. Med Sci Monit Basic Res, 2014, 20: 97-104. |
| [6] | Iorio MV, Ferracin M, Liu CG, et al. MicroRNA gene expression deregulation in human breast cancer[J]. Cancer Res, 2005, 65(16): 7065-70. |
| [7] | Adams BD, Furneaux H, White BA. The micro-ribonucleic acid (miRNA) miR-206 targets the human estrogen receptor-alpha (ERalpha) and represses ERalpha messenger RNA and protein expression in breast cancer cell lines[J]. Mol Endocrinol, 2007, 21(5): 1132-47. |
| [8] | Adams BD, Cowee DM, White BA. The role of miR-206 in the epidermal growth factor (EGF) induced repression of estrogen receptor-alpha (ERalpha) signaling and a luminal phenotype in MCF-7 breast cancer cells[J]. Mol Endocrinol, 2009, 23(8): 1215-30. |
| [9] | Kondo N, Toyama T, Sugiura H, et al. miR-206 Expression is down-regulated in estrogen receptor alpha-positive human breast cancer[J]. Cancer Res, 2008, 68(13): 5004-8. |
| [10] | Zhou J, Tian Y, Li J, et al. miR-206 is down-regulated in breast cancer and inhibits cell proliferation through the up-regulation of cyclinD2[J]. Biochem Biophys Res Commun, 2013, 433(2): 207-12. |
| [11] | Song G, Zhang Y, Wang L. MicroRNA-206 targets notch3, activates apoptosis, and inhibits tumor cell migration and focus formation[J]. J Biol Chem, 2009, 284(46): 31921-27. |
| [12] | Li Y, Hong F, Yu Z. Decreased expression of microRNA-206 in breast cancer and its association with disease characteristics and patient survival[J]. J Int Med Res, 2013, 41(3): 596-602. |
| [13] | Cittelly DM, Das PM, Spoelstra NS, et al. Downregulation of miR-342 is associated with tamoxifen resistant breast tumors[J]. Mol Cancer, 2010, 9: 317. |
| [14] | Zhao JJ, Lin J, Yang H, et al. MicroRNA-221/222 negatively regulates estrogen receptor alpha and is associated with tamoxifen resistance in breast cancer[J]. J Biol Chem, 2008, 283(45): 31079-86. |
| [15] | Liu H, Cao YD, Ye WX, et al. Effect of microRNA-206 on cytoskeleton remodelling by downregulating Cdc42 in MDA-MB-231 cells[J]. Tumori, 2010, 96(5): 751-5. |
2015, Vol. 42
