2. 中国中医科学院广安门医院肿瘤科
男性乳腺癌(male breast cancer,MBC)在 临床上比较少见,其发病率较低,约占乳腺癌 总体发病率的0.5%~1.0%,占男性所有癌症的 0.1%~0.2%[1]。2005年美国新发病例数约1 690人, 死亡人数460人[2]。由于其发病率低,缺乏大样本 临床试验研究,所以MBC的治疗指南是借鉴女性 乳腺癌标准而制定的[3]。MBC临床特点有别于女 性乳腺癌,具有独特的生物学特性,老年MBC又 有别于青年MBC。老年晚期MBC患者往往因年龄 大、有基础疾病而使其不能接受常规的放疗、化 疗,因此内分泌治疗尤为重要。笔者通过“中国知 网(www.epub.cnki.net)”中国期刊全文数据库, 对1992年—2012年国内公开报道的关于男性乳腺 癌、内分泌治疗进行关键词检索,报道较少,共 125篇,且大多是来自外科报道的Ⅰ~Ⅲ期初治 患者术后维持、巩固治疗的报道,关于老年晚期 MBC不能行手术、放疗、化疗或术后复发转移不 能再放化疗者,单纯内分泌治疗的报道尚缺乏。 笔者在中国中医科学院广安门医院肿瘤科进修期 间,收治1例术后老年MBC患者,其合并有双肺 转移、右侧胸膜转移、多处骨转移、腰椎脊髓转 移,左侧髂腰肌转移、右侧臀大肌转移和竖脊肌 内转移,现将临床资料总结报告如下。 1 病例报告
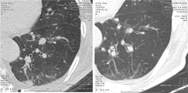
患者,男,81岁,主因“左乳腺癌术后近8 年,咳嗽、双侧盆骨疼痛半年”于2011年8月31日 收入院。患者于2003年9月因发现左乳外上象限约3 cm×3 cm大小的肿块,在外院行左乳腺癌改良 根治术,术后病理结果:浸润性导管癌,侵及周 围脂肪组织,乳头皮下脂肪组织内可见癌浸润, 乳头皮肤未见癌组织,淋巴结转移情况为0/20, ER(+),PR(+)。术后给予CMF方案(CTX 1 000 mg, d1,5-Fu 1 000 mg,d1,MTX 80 mg,d1,静脉 滴注)化疗1周期,因不能耐受化疗不良反应而停 药,准备予以三苯氧胺治疗,但患者阅读药物说 明书后认为该药为妇科用药,故未曾服用,之后 未行任何治疗。2010年3出现右侧胸痛,查胸片 示:两肺多发转移,右侧少量胸腔积液,未予特 殊治疗。2011年2月出现咳嗽,胸闷加重,并双侧 骨盆及髋关节部位疼痛,行胸部CT示:双肺转移 较前明显进展,右侧胸膜转移,右侧胸腔积液较 前增多。纵隔内小淋巴结较前略增大。全身骨扫 描:双侧多根肋骨、多处脊柱、双膝关节及盆骨 多处多发转移。阶段口服中药治疗,盆骨疼痛逐 渐加重,2011年7月底查盆腔MRI示:双侧骶骨、 右侧髂骨及S1椎体多发骨转移瘤并左侧髂腰肌、 右侧臀大肌、竖脊肌内多发转移瘤。患者因咳 嗽、气短、盆骨疼痛加重于8月底在广安门医院住 院治疗,予氨酚羟考酮止痛,帕米磷酸二钠抑制 骨质破坏,并配合中药治疗,症状未改善。9月份 开始口服三苯氧胺10 mg,2次/日,内分泌治疗。1 月后疼痛减轻,2月后患者疼痛消失,咳嗽、气短 好转,停用止痛药。此后一直服用三苯氧胺。治 疗前2011年7月29日行腰骶椎核磁共振结果与治疗 后2012年3月28日复查结果对比,见图 1。2011年 11月4日胸部CT与2012年2月15日复查CT对比,见 图 2,病灶均有所缩小。患者于2012年4月因上呼 吸道感染合并严重肺部感染死亡。
![]() |
Before treatment,the metastasis lesion size was 20.09 mm×19.07 mm (Left); after treatment,the metastasis lesion size was 14.90×10.22 mm Tumor was shrunk by 60%(Right); the efficacy evaluation was PR. 图 1 本例老年男性晚期乳腺癌患者腰骶椎核磁共振 Figure 1 MRI of lumbosacral vertebrae of elderly male advanced breast cancer patient involved |
![]() |
Most of the metastasis lesions were shrunk or disappeared after treatment. 图 2 本例老年男性晚期乳腺癌患者胸部CT Figure 2 CT scan of involved patient's chest |
男性乳腺癌是一种罕见疾病,其发病率不及 乳腺癌的1%[4]。美国研究者通过分析SEER数据库 数据后发现,男性乳腺癌的生物学特征不同于女 性,分析显示,男性乳腺癌的中位发病年龄(67 岁)略高于女性(61岁),与乳腺癌较晚分期相 关的特征(肿瘤>2 cm和腋窝淋巴结阳性)在男 性乳腺癌中更常见,而与晚期生物学特征相关的 变量[雌激素受体(ER)阴性、肿瘤分级较高]在 女性乳腺癌中更常见,女性和男性乳腺癌的ER阴 性率分别为23%和7.6%。男性乳腺癌患者的激素 受体(ER、PR)阳性率高于女性患者,HER2阳 性在男性乳腺癌患者中也更常见[5]。此外还有男性 乳腺癌患者发病年龄较晚,诊断时分期较晚,患 者的生存情况较女性乳腺癌患者差,总体5年生存 率为68.5%~87.5%[6]。
ER(雌激素受体)和PR(孕激素受体)的表达 水平与男性乳腺发育、乳腺癌有很大关系,且明显 高于女性乳腺癌患者[7]。Ben等[8]报道85%的男性乳 腺癌标本中ER、PR出现高表达。凌瑞等[9]报道男 性乳腺癌ER、PR阳性率分别为87.5%和75%。周 菲菲等[10]报道男性乳腺癌患者ER、PR阳性率分别 为90.9%和84.8%,其表达率明显高于女性乳腺癌 患者。从理论上推断针对ER、PR的内分泌治疗,MBC患者的疗效应优于女性患者。Goss等[11]的回 顾性调查分析表明,三苯氧胺在术后的辅助治疗 中5年总生存率可提高17%,5年无瘤生存率可显 著提高27%。Ribeiro等[12]报道39例Ⅱ期男性乳腺癌 患者采用三苯氧胺辅助治疗,5年生存率为61%, 而对照组为44%。周菲菲等[10]对72例男性乳腺癌 患者回顾性调查分析表明,内分泌治疗是男性乳 腺癌治疗策略的重要组成部分,可明显提高总生 存率,尤其是激素受体阳性患者,三苯氧胺是首 选的内分泌治疗药物。本例患者治疗经验提示老 年晚期MBC患者,如果没有条件手术、放疗、化 疗,单纯内分泌治疗也能达到较好的效果。但由 于MBC发病率较低,很难得到大样本长期随机对 照临床观察,故目前对于晚期MBC单纯运用内分 泌治疗的循证医学依据尚不足。
| [1] | Zuo WS.Contemporary oncology of the breast[M].2nd Edition. Jinnan: Shandong Science and Technology Press,2006:1328.[左文述.现代乳腺肿瘤学[M].2版.济南:山东科学技术出版社,2006:1328. |
| [2] | Giordano SH. A review of the diagnosis and management of male breast cancer[J].Oncologist,2005,10(7):471-9. |
| [3] | Contractor KB,Kaur K,Rodrigues GS,et al.Male breast cancer is the scenario changing[J].Word J Surg Oncol,2008,6:58. |
| [4] | Fentiman IS,Fourquet A,Hortobagyi GN.Male breast cancer[J]. Lancet,2006,367(9510):595-604. |
| [5] | Nahleh Z,Gimius S.Male breast cancer:a gender issue[J].Nat Clin Pract Oncol,2006,3(8):428-37. |
| [6] | Kiluk JV,Lee MC,Park CK,et al.Male breast cancer:management and follow-up recommen dations[J].Breast J,2011,17(5):503-9. |
| [7] | Li RS. Progress of male breast cancer[J].Hebei Yi Xue,2008,14 (4):479-82.[李润生.男性乳腺癌新进展[J].河北医学,2008,14(4): 479-82. |
| [8] | Ben Dhiab T, Bouzid T, Gamoudi A, et al. Male breast cancer: about 123 cases collected at the Institute Salah-Azaiz of Tunis from 1979 to 1999[J].Bull Cancer, 2005, 92(3): 281-5. |
| [9] | Ling R,Wang H,Chen JH,et al.Clinical study on the relationship between the levels of E2, ER, PR and gynecomastia, male breast cancer[J]. Zhonghua Zhong Liu Fang Zhi Za Zhi,2006,13(16): 1212-3,1239.[凌瑞,王辉,陈江浩,等.男性乳腺发育和乳腺癌与血清E2和ER及PR关系的临床研究[J].中华肿瘤防治杂志,2006, 13(16):1212-3,1239.] |
| [10] | Zhou FF,Xia LP,Wang X,et al.Analysis of prognostic factors in male breast cancer: a report of 72 cases from a single institution[J].Ai Zheng, 2010,29(2):196-201.[周菲菲, 夏良平,王曦,等.影响男性乳腺癌预后的多因素分析—单中心72例临床资料总结[J].癌症,2010,29(2):196-201.] |
| [11] | Goss PE,Reid C,Pintilie M,et al. Male breast carcinoma: a review of 229 patients who presented to the Princess Margaret Hospital during 40 years:1955-1996[J].Cancer,1999,85(3):629-39. |
| [12] | Ribeiro G,Swindell R.Adjuvant tamoxifen for male breast cancer(MBC)[J].Br J Cancer,1992,65(2):252-4. |
2014, Vol.41

