2.病理科
2. Department of Pathology
胰腺癌是恶性肿瘤中死亡率最高的一种,其 五年生存率仅4%,其发病机制未完全明了。肿 瘤的形成涉及肿瘤细胞的增殖、分化及细胞外基 质自然屏障的破坏等有关,其中表皮生长因子 (EGFR)和基质金属蛋白酶9(MMP-9)在肿 瘤发生、发展过程中起重要作用[1,2,3,4]。本研究检测 EGFR、MMP-9在胰腺癌组织中的表达,探讨它们 与胰腺癌临床病理特征和预后的关系。 1 资料和方法 1.1 临床资料
收集2006年2月至20012年8月间武汉市中心医 院肝胆胰外科经手术及病理证实的44例胰腺癌标 本,其中男25例,女19例,患者年龄为42~78岁, 平均(62.1±7.9)岁。分期标准根据2002年美国癌症 联合研究会(AJCC)制定的TNM分期:Ⅰ~Ⅱ期 21例,Ⅲ~Ⅳ期23例。肿瘤部位:胰头部24例, 胰体尾部20例。淋巴结阳性19例,淋巴结阴性25 例。组织学分级:高分化腺癌15例,中分化腺癌 22例,低分化腺癌7例。以同期病理证实的13例慢 性胰腺炎和7例正常胰腺组织标本作为对照。 1.2 免疫组织化学染色
使用即用型免疫组化检测试剂盒(武汉博士德 生物工程有限公司)检测EGFR、MMP-9的表达, 按照试剂盒说明书操作。抗EGFR、MMP-9一抗购 自武汉博士德生物工程有限公司。胰腺癌组织均 经中性福尔马林固定,梯度乙醇溶液脱水,二甲 苯透明,石蜡包埋,制成蜡块。连续切片每张厚 度4~6 μm,免疫组织化学法染色采用SP二步法进 行,具体操作参照说明书。MMP-9采用高温高压 柠檬酸修复,EGFR用胃蛋白酶修复,最后用DAB 显色。以磷酸盐缓冲液(PBS)代替一抗作阴性 对照,已知阳性切片为阳性对照。在光学显微镜 下结合HE切片观察免疫组织化学切片的显色反 应。结果判定采用双盲法,每组均设有阳性和阴 性对照。每张切片随机选取10个高倍视野,每个 视野计数100个肿瘤细胞,计算阳性细胞数的平均 百分比:5%~25%为1分;>25%~50%为2分;> 50%~75%为3分;>75%为4分。染色强度分为: 淡黄色为1分;黄或深黄色为2分;褐或棕褐色为 3分。两者计分相乘大于1为阳性。EGFR阳性染 色为淡黄色、棕黄色或棕褐色,定位于细胞质和 (或)细胞膜,MMP-9阳性染色为胞质内染成淡 黄色至棕褐色。 1.3 统计学方法
应用SPSS 18.0统计软件包处理数据,采用χ2检验和配对资料的Spearman等级相关分析法。P <0.05为差异具有统计学意义。 2 结果 2.1 EGFR和MMP-9在各胰腺组织中的表达
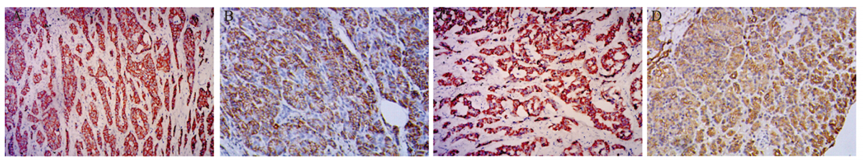
7例正常胰腺组织中均无EGFR及MMP-9的 表达,13例慢性胰腺炎组织中EGFR、MMP-9阳 性表达率分别为23.1%(3/13)和15.4%(2/13)。胰 腺癌组织中EGFR、MMP-9的阳性表达率分别为 61.4%(27/44)和54.5%(24/44);相应癌旁组织的阳 性表达率分别为34.1%(15/44)和29.5%(13/44) ,见 图 1。胰腺癌组织中的EGFR及MMP-9阳性表达率 均显著高于相应癌旁组织(P<0.05)。且胰腺癌组织 及癌旁组织中EGFR及MMP-9的表达均显著高于慢 性胰腺炎组织和正常胰腺组织(P值均<0.05)。
![]() |
A,B:the positive EGFR expression was detected in the plasmalemma of pancreatic carcinoma(A) and adjacent tissues(B); C,D:the positive MMP-9
expression was detected in the cytoplasm of pancreatic carcinoma(C)and adjacent tissues(D)
图1 胰腺癌及癌旁组织中EGFR和MMP-9的表达(SP ×200)
Figure 1 Expression of EGFR and MMP-9 in pancreatic carcinoma and adjacent tissues(SP ×200) |
胰腺癌组织中EGFR和MMP-9的表达与患者性 别、年龄及肿瘤部位、大小均无关,而与肿瘤的 血管侵犯、淋巴结转移、分化程度、分期有关(P 值均<0.05),见表 1。
|
|
表 1 EGFR、MMP-9的表达与胰腺癌临床病理特征的关系 Table 1 Relationship between EGFR, MMP-9 expression and clinicopathologic parameters of pancreatic carcinoma |
EGFR阳性表达率高的病例组MMP-9的阳性 率也高,反之亦然。配对资料的Spearman相关 分析显示,EGFR表达与MMP- 9表达呈正相关 (r=0.307,P<0.05)。 3 讨论
EGFR家族属于酪氨酸激酶受体大家族,是原 癌基因(c-erbB-1)的表达产物,作为一种跨膜糖 蛋白,当配体结合于受体的胞外区后,引起受体 胞内区自身磷酸化并激活胞内酪氨酸激酶,当配体与细胞表面的受体结合后,激活其下游信号通 路进而刺激肿瘤的转化、增殖和转移以及血管发 生等[5]。EGFR在许多肿瘤过表达或突变,导致肿 瘤细胞生长失控和恶性程度增高,EGFR在乳腺 癌、小细胞性肺癌、胆囊癌等多种肿瘤中存在过 表达[6,7,8]。陈卫国等[9]发现通过小干扰RNA靶向抑制 EGFR能够有效抑制前列腺癌的生长。有研究表明 单独或联合应用一些阻滞EGFR信号转导通路的药 物,可以明显抑制胰腺癌细胞的迁移和浸润[10,11]。 本实验中检测了44例胰腺癌组织及其对应癌旁组 织中EGFR蛋白的表达情况,胰腺癌中EGFR的表 达率为61.4%,表达高于配对癌旁组织、慢性胰 腺炎组织及正常胰腺组织的表达 (P<0.05),说明 EGFR信号通路在胰腺癌组织中呈活化状态。
MMPs是一组依赖于锌离子的能降解细胞外 基质的内肽酶家族,其主要作用是降解基质中的 蛋白,MMP-9是其家族中的一员[12]。MMP-9属 于Ⅳ型胶原降解酶,是降解细胞外基质的主要酶 类之一,Ⅳ型胶原酶通过对基膜中Ⅳ型胶原与层 黏连蛋白、纤维连接蛋白、蛋白多糖等物质的降 解,使这些屏障消失,从而促进肿瘤对周围组织 的侵袭[13]。Fujisawa等[4]在胰腺癌的小鼠模型中 发现巯乙胺通过下调MMP-9等基质金属蛋白酶的 表达能够抑制肿瘤的侵袭、迁移,并增加胰腺癌 小鼠的存活率。本实验中检测了44例胰腺癌组织 及其对应癌旁组织中MMP-9的表达情况,胰腺癌 中MMP-9的表达率为54.5%,明显高于配对癌旁 组织、慢性胰腺炎组织及正常胰腺组织中的表达 (P<0.05),说明MMP-9可能与胰腺癌的发生发展有 关。
本研究结果表明,EGFR和MMP-9蛋白表达 与患者性别、年龄、肿瘤大小和肿瘤部位等病理 因素均无明显相关,而与血管侵犯、淋巴结转移 状况和肿瘤TNM分期有关。肠系膜上血管和淋 巴结转移阳性、分化程度较低和分期较晚的病例 组,EGFR和MMP-9蛋白表达阳性率显著升高, 差异有统计学意义。Spearman相关分析显示, EGFR和MMP-9蛋白表达呈正相关,说明MMP-9 和EGFR蛋白信号通路之间存在一定联系,其作用 机制尚未明了。Lue等[14]研究发现MMP-9可能参与 激活EGFR信号途径,在前列腺癌细胞上皮-间质 转化过程中增加锌离子运载体LIV-1的表达增强了 肿瘤细胞的迁移侵袭和转移能力,LIV-1的表达活 了化EGFR-ERK信号途径。LIV-1诱导MMP-9等表 达的上调,而MMP-9等可以使膜结合的HB-EGF 分离出来,HB-EGF作为EGFR上游因子从细胞表 面释放,可溶性的HB-EGF引起EGFR的磷酸化和 其下游的ERK信号途径的活化。因此,MMP-9可能参与释放EGFR上游信号因子过程,进而启动 EGFR信号通路,促进胰腺癌的发生发展。淋巴 结转移和肿瘤分期是判断肿瘤患者预后的重要指 标,本研究结果再次证明淋巴结转移和TNM分期 在判断胰腺癌预后方面起到不可替代的作用。不 同的患者即使处于同一分期或同一状态,其预后 依然存在差异,分子生物学标志物目前已成为判 断胰腺癌预后的重要指标。本研究表明,EGFR和 MMP-9蛋白在胰腺癌组织中均呈高表达,两者与 胰腺癌的发生密切相关,联合检测EGFR和MMP-9 表达,更能准确反映胰腺癌的生物学特性。EGFR 和MMP-9蛋白可以作为胰腺癌诊断和预后判断的 分子标志物,因此在胰腺癌的防治中可能有良好 的应用前景。
| [1] | Brand TM,Iida M, Li C,et a1.The nuclear epidermal growth factor receptor signaling network and its role in cancer[J].Discov Med,2011,12(66):419-32. |
| [2] | Ardito CM, Grüner BM, Takeuchi KK,et a1.EGF receptor is required for KRAS-induced pancreatic tumorigenesis[J]. Cancer Cell,2012,22(3):304-17. |
| [3] | He XJ, Jiang XT, Ma YY, et a1.REG4 contributes to the invasiveness of pancreatic cancer by upregulating MMP-7 and MMP-9[J]. Cancer Sci, 2012,103(12):2082-91. |
| [4] | Fujisawa T, Rubin B, Suzuki A, et a1.Cysteamine suppresses invasion, metastasis and prolongs survival by inhibiting matrix metalloproteinases in a mouse model of human pancreatic cancer[J]. PLoS One. 2012,7(4):e34437. |
| [5] | Biswas DK, Cruz AP, Gansberger E,et a1. Epidermal growth factor-induced nuclear factor kappa B activation: A major pathway of cell-cycle progression in estrogen receptor negative breast cancer cells[J]. Proc Natl Acad Sci U S A,2000,97(15):8542-7. |
| [6] | Sergeant G, Lerut E, Ectors N, et al.The prognostic relevance of tumor hypoxia markers in resected carcinoma of the gallbladder [J].Eur J Surg Oncol, 2011,37(1):80-6. |
| [7] | Buck E,Eyzagnirre A,Brown E,et al.Rapamycin synergizes with the epidermal growth factor receptor inhibitor erlotinib in nonsmall-cell lung, pancreatic, colon, and breast tumors[J].Mol Cancer Ther, 2006, 5(11):2676-84. |
| [8] | Rocha-Lima CM, Soares HP, Raez LE,et al. EGFR targeting of solid tumors[J]. Cancer Control, 2007,14(3):295-304. |
| [9] | Chen WG,Long HM,Hou JQ, et al. Effects of gefitinib and small interfering RNAs targeting EGFR in the treatment of prostate cancer[J].Zhonghua Shi Yan Wai Ke Za Zhi, 2010,3(27):325-7, back insert 2.[陈卫国,龙慧民,侯建全,等.吉非替尼和靶向表皮生长因子受体小干扰RNA治疗前列腺癌[J].中华实验外科杂 志,2010,27(3):325-7, 后插2页.] |
| [10] | Walsh N, Kennedy S, Larkin A,et al.EGFR and HER2 inhibition in pancreatic cancer[J]. Invest New Drugs, 2013,31(3):558-66. |
| [11] | Nagaraj NS, Washington MK, Merchant NB.Combined blockade of Src kinase and epidermal growth factor receptor with gemcitabine overcomes STAT3-mediated resistance of inhibition of pancreatic tumor growth[J]. Clin Cancer Res, 2011, 17(3):483-93. |
| [12] | Mysliwiec AG, Ornstein DL.Matrix metalloproteinases in colorectal cancer[J]. Clin Colorectal Cancer, 2002,1(4):208-19. |
| [13] | Liotta LA,Tryggvason K,Garbisa S,et a1.Metastatic potential correlates with enzymatic degradation of basement membrane collagen[J].Nature,1980,284(5751):67-8. |
| [14] | Lue HW, Yang X, Wang R,et a1.LIV-1 promotes prostate cancer epithelial-to-mesenchymal transition and metastasis through HBEGF shedding and EGFR-mediated ERK signaling[J]. PLoS One, 2011,6(11):e27720. |
2014, Vol.41



