2.麻醉科
血管球瘤(glomus tumor,GT)是罕见的肿瘤,约 占所有软组织肿瘤的1.6% [1]。原发于动静脉交接处 的血管球体,它是一种变异的平滑肌细胞,和体 温调节有关[2]。血管球瘤好发于四肢末端的皮肤及 皮下组织,大多为良性,恶变罕见[3] ,我科收治1 例发生于肺左主支气管,现报告如下。 1 病例资料
患者,男,63岁,胸闷,咳嗽、咳痰,偶有痰 中带血6月余入院,病程中偶有发低热,无胸部隐 痛。自服抗生素及间断输液治疗,症状好转后又反 复发作。胸片示:两肺纹理增多,无明显实质性病 变。行纤维支气管镜检查提示:左主支气管开口处 菜花样组织增生,侵及隆突,见图 1。纤维支气管 镜活检病理为间质纤维组织增生伴急慢性炎细胞浸 润,局灶见极小片炎性渗出,刷检见小片状异型细 胞,细胞堆积,核深染,核浆比高,结合临床,癌 难以排除。胸部CT检查及三维重建提示:左主支 气管起始部管腔背侧可见片状软组织密度,凸向腔 内。纵隔内未见肿大淋巴结,见图 2。左主支气管 近隆突处2 cm×1.5 cm×1 cm大小灰白隆起型肿块, 见图 3。 于2012年9月16日在全麻下经右侧进胸, 术中见肿块位于左主支气管开口处,约2 cm×2 cm× 1.5 cm大小,侵及气管隆突,质韧,基底部位于气 管背侧,较宽,左主支气管近乎完全堵塞,遂行气 管隆突切除+隆突重建术。术后病理检查结果,见 图 4。免疫组织化学:肿瘤细胞SMA(+)、Syn(+)、 CgA(-)、CK灶性(+)、CD56(+)、S-100灶性(+)、 CD34(-)、Ki-67(+)阳性细胞数约3%。病理诊断: (左主支气管)气管血管球瘤。支气管切缘及送检 淋巴结未见异常。
![]() |
图 1 纤维支气管镜下见左主支气管被新生物基本阻塞侵犯隆突 Figure 1 Fiberoptic bronchoscopy in the left main bronchus by new biological basic block,involving the carina |
![]() |
图 2 胸部CT见左主支气管内团块状软组织影、强化、左主支气管闭塞 Figure 2 Chest CT see the left main bronchusin the shadow of soft tissue masses,strengthening,left main bronchial occlusion |
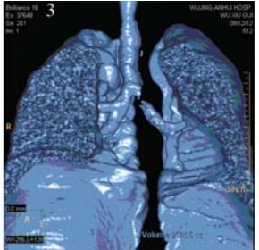
![]() |
图 3 肺部CT显示左侧主支气管开口处连续性缺损 Figure 3 Lung CT 3D reconstruction,visible on the left main bronchus continuity defect |
![]() |
图 4 原发性左主支气管血管球瘤的术后病例切片图 Figure 4 Postoperative pathological image of primary left main bronchus glomus tumor A :In tumor cell nests with light microscope,interstitial vascular rich,alien is not obvious(HE ×100);B:Hyperplasia of perivascular cells under light microscope,showed oval shape,visible mitoses( HE ×200);C:Figure B vessels around local amplification can be seen in tumor cells around blood vessels surrounding( HE ×400) |
心患者术后顺利恢复出院,随访至今无不适主 诉,从事一般体力活动。胸部CT,脑MRI,腹部B 型超声、全身骨扫描均未见肿瘤复发转移。 2 讨论
原发于支气管内的血管球瘤极为罕见,易被 误诊为慢性支气管炎,支气管肺癌及支气管类 癌,确诊主要依赖病理组织学及免疫组织化学检 查[4]。国内外文献报告仅26例[1, 2, 3, 4],2004 年Nadrous 等[5]报道了第16 例气管血管球瘤; 国内文献报道9 例[6] 。 本文报道1例ɻ肿瘤常位于气管膜部,男性多 见(男女比例为20∶3) ,临床均表现为胸闷、干咳、 咳血。笔者所知,报告发生于左主支气管的气管 血管球瘤的仅此一例。
气管血管球瘤大多数是发生在气管后壁的无 痛性肿块,临床多表现为胸闷、咯血,常常误认 为是慢性支气管炎及支气管哮喘等慢性疾病,往 往以呼吸道慢性炎症性疾病收入呼吸科,后转入 心胸外科接受手术治疗。尽管纤维支气管镜及胸 部CT 可了解病变部位、大小,但是该疾病的确诊 仍然依赖于病理及免疫组织化学的检查。本组1例 患者术前诊断见右主支气管被新生物基本阻塞, 侵犯隆突,病理亦未能明确诊断,术中亦存在着 一定的局限性,无法做出准确诊断。所以笔者在 手术时按照“最大可能保留正常组织,最大范围切 除病变组织”的原则,根据患者全身情况在尽可能 不影响患者肺功能的情况下切除病变段气管,并 重建气管隆突。选择右胸入路,因没有主动脉弓 阻挡可充分暴露手术野,便于在术中仔细观察肿 瘤,结合临床做出初步判断,另一方面相对于左 侧入路便于完成隆突重建手术。
GT 尚需要与下列其他疾病相鉴别[7]。(1) 血管 外皮瘤: 此瘤也可发生于气管,具有特征性的鹿角 状血管,血管周围和单个细胞间分布丰富的嗜银纤 维,vimentin、CD34 阳性,desmin阴性,可与GT 相 鉴别。(2) 类癌: 细胞大小形态一致,多边形,核位 于中央,有透明或嗜酸性胞质等特征与GT 相似,但 细胞有时呈巢状排列,免疫表型显示NSE、CgA、 PCK 等阳性,SMA 阴性。(3) 上皮性肿瘤: 血管球 细胞形态似上皮样,有时与上皮性肿瘤易混淆, 但上皮性肿瘤免疫表型显示PCK、EMA 等阳性, 而vimentin 阴性。(4) 硬化性血管瘤: 罕见的良性肿 瘤,女性多见,界限清楚,免疫组织化学PCK 阳性 而SMA 阴性。(5) 副神经结节瘤: 常有大的泡状核, 免疫组织化学NSE、NF等神经内分泌抗体阳性。本 例患者于术后对病理标本进行免疫组织化学检查, 结合肿瘤细胞SMA(+)、Syn(+)、CgA(-)、CK灶性 (+)、CD56(+)、S-100灶性(+)、CD34(-)、Ki-67(+)ɺ 阳性细胞数约3%ɻ这一系列指标检查结果考虑诊断 为(左主支气管)气管血管球瘤。
气管的GT 大部分都是良性,然而Folpe 等[7]根 据其生物学行为特点,可将GT 分为良性、恶性潜 能及恶性三种。恶性血管球瘤又称为血管球肉瘤, 十分罕见,与良性血管球瘤之间的鉴别有时十分困 难。至2005年底报道血管球肉瘤发生于皮肤及软 组织者45例,内脏5例。血管球肉瘤多数体积较大 (5 cm),可见坏死,有中到重度核异型,核分裂相>20 /10 HPF,常有病理性核分裂相。这种肿瘤的治疗主 要依赖于外科处理,放、化疗效果不好,约75%发 生转移并3年内死亡ɻ转移表现为多部位,最常见的 转移部位肺、肝[8] 。有学者将恶性GT 诊断的标准 定为: (1) 肿瘤直径>5 cm; (2) 可见病理性核分裂相 (>3 个/50 HPF);(3) 细胞核呈中度以上异型性伴明 显的梭形细胞分化。若符合(1) + (2) 、(1) + (3) 、(1) + (2)+ (3) 即可确诊。明确的恶性诊断者需局部切除 + 小剂量放疗或化疗; 恶性度不明确者需行局部切 除+密切随访; 良性者仅需局部切除即可。本文报道 的1例为良性,不排除恶性潜能,仍在随访中。
随着内窥镜的广泛应用ɺ病理诊断技术的提高 和免疫组织化学技术的发展。将有更多的血管球瘤 在术前即可被诊断。对治疗方案的选择具有重要的 参考价值。特别要加强一些少见、罕见的肿瘤鉴别 诊断意识,防止误诊和避免过度治疗。
| [1] | Gaertner EM, Steinberg DM, Huber M, et al. Pulmonary and mediastinal glomus tumors--report of five cases including a pulmonary glomangiosarcoma: a clinicopathologic study with literature review[J]. Am J Surg Pathol,2000,24(8):1105-14. |
| [2] | Kleontas A, Barbetakis N, Astoriou C, et al. Primary glomangiosarcoma of the lung: a case report[J]. J Cardiothrac Surg,2010,5:76. |
| [3] | Ruben RJ.The history of the glomus tumors-nonchromaffim chemodectoma: a glimpse of biomedical Camelot[J]. Acta Otolary ngol,2007,127(4):411-6. |
| [4] | Nadrous H F, AllenM S, Bartholmai B J, et al. Glomus tumor of the trachea: value of multidetector computed tomographic virtual bronchoscopy[J]. Mayo Clin Proc, 2004, 79(2) : 237-40. |
| [5] | Koskinen SK, Niemi PT, Ekfors TO, et al. Glomus tumor of the trachea[J]. Eur Radiol, 1998, 8(3):364-6. |
| [6] | Zhang WQ, Li H, Miao JB. A case of right main bronchial glomus tumor[J].Zhonghua Xiong Xin Xue Guan Wai Ke Za Zhi,2012,28(4):255. [张文谦,李辉,苗劲柏.右主支气管血管球瘤 1例[J]..中华胸心血管外科杂志,2012,28(4):255] |
| [7] | Folpe AL Fanburg-Smith JC,Miettunen M,et al.Atypical and malignant glomus tumors: analysis of 52 cases,with a proposal for the reclassification of glomus tumors[J].Am J Surg Pathol,2001,25(1):1-12. |
| [8] | Khoury T, BalosL,McGrath B,et al. Malignant glomus tumor: a case report and review of literature, focusing on its clinicopathologic features and immunohistochemical profile[J]. Am J Dermatopathol, 2005, 27(5):428-31. |
2014, Vol.41



