文章信息
- 曹娜娜,王玲,王珊,单保恩. 2014.
- CAO Na'na, WANG Ling, WANG Shan, SHAN Baoen. 2014.
- 共刺激分子B7-H3在人食管鳞癌中的表达及临床意义
- Expression of Costimulatory Molecule B7-H3 in Human Esophageal Squamous Cell Carcinoma and Clinical Significance
- 肿瘤防治研究, 2014, 41(12): 1300-1303
- Cancer Research on Prevention and Treatment, 2014, 41(12): 1300-1303
- http://www.zlfzyj.com/CN/10.3971/j.issn.1000-8578.2014.12.010
-
文章历史
- 收稿日期:2014-01-10
- 修回日期:2014-03-18
食管癌是世界范围内高发的恶性肿瘤之一,我 国更是食管癌高发国家,发病率居世界第4位[1]。 尽管近年来针对食管癌的局部治疗取得了一定疗 效,但食管癌的预后仍然难尽人意,总5年生存率 约10%~13%[2]。肿瘤免疫疗法是继手术、化疗、 放疗后的第四大有效治疗方法,有望从免疫学角 度为食管癌的治疗提供新的途径。机体抗肿瘤免 疫功能主要由T细胞免疫介导,而T细胞的活化需 要双重信号的诱导,即MHC-TCR抗原提呈信号和 协同刺激分子提供的第二信号。共刺激分子主要 包括3个家族:B7-CD28超家族、TNF-TNFR超家 族、CD2超家族以及部分整合素。
B7家族属于共刺激分子免疫球蛋白超家族, 越来越多的研究表明,该家族分子在机体正常免疫功能和病理状态下均发挥了重要的调节作用, 尤其在肿瘤、炎性疾病、器官移植和自身免疫疾 病等治疗方面发挥的重要影响使之成为免疫学研 究的热点[3, 4]。其中,B7-H3蛋白在多种肿瘤组织, 如胃癌、肺癌、前列腺癌、肾癌以及成神经细胞瘤 等[5]过表达,并与肿瘤的生物学特性密切相关,被 认为是一种新的肿瘤标志物和潜在的治疗靶点。本 实验通过研究B7-H3 在食管癌组织中的表达及其与 各临床病理变量之间的相关性,探讨B7-H3的表达 在人食管鳞癌(esophageal squamous cell carcinoma, ESCC)发生、发展中的作用,以期从免疫学角度 为ESCC的研究治疗提供新的思路方法。 1 资料与方法 1.1 标本来源
82例食管癌标本以及相应的癌旁食管标本均 为石蜡组织标本,来自河北医科大学第四医院 2005 年1月1日至2006年1月1日手术切除的食管肿 瘤,所有患者术前均未行化疗及生物免疫治疗。 所有标本均有详细临床资料,组织标本均经过HE 染色、读片,确认为食管鳞癌。 1.2 免疫组织化学检测
标本经4%甲醛溶液浸泡固定,常规脱水、透 明、石蜡包埋,4 μm厚切片。二甲苯脱蜡,在梯 度乙醇内水化。抗原修复后,于0.3%的H2O2中浸 泡20 min阻断内源性抗原。用PBS洗3次,用10%正 常的血清温育以阻断背景非特异性的染色。羊抗 人B7-H3多克隆抗体(R&D公司,1∶100 稀释, 一抗)湿盒内温育过夜。经PBS洗后加生物素标记 二抗(北京中杉公司),37℃ 30 min;加辣根酶 标记的链霉卵白素工作液,37℃ 30 min,DAB显 色。苏木精对比染色,脱水透明封片。CD8免疫 组织化学染色方法同上(CD8抗体购自福州迈新 公司,1∶100稀释)。 1.3 结果判定
由两位病理科主任医师进行独立阅片。B7-H3 染色结果评估:光学显微镜下每张切片选中肿瘤 细胞较多的5个高倍视野,每个视野计数100个细 胞。以在细胞质或细胞膜上有棕黄色颗粒视为阳 性细胞,结合染色强度和阳性细胞百分比评分如 下:<10%肿瘤细胞着色为阴性“-”;10%~30% 肿瘤细胞着色为“+”;≥30%~60%肿瘤细胞着色 为“++”;>60%肿瘤细胞着色为“+++”。为了便于 分析,将评分为“-”和“+”定为低表达组,“++”和 “+++”定为高表达组。CD8+T淋巴细胞浸润程度的 评估:根据CD8+T淋巴细胞在肿瘤中的分布情况, 划分为4个等级:0为无浸润;1为局部少量浸润; 2为适度浸润;3为大量浸润。其中0和l归为轻度浸 润组,2和3归为高度浸润组。 1.4 统计学方法
采用SPSS12.0软件对数据进行统计分析。B7-H3 的表达与临床病理变量之间的关系采用χ2检验及 Fisher精确检验分析; B7-H3与CD8+T细胞之间的相 关性用Spearman相关性分析。采用Kaplan-Meier法 进行生存分析。P<0.05为差异有统计学意义。 2 结果 2.1 B7-H3 在食管癌组织中的表达
免疫组织化学结果显示,B7-H3阳性着色主要 定位在肿瘤细胞的细胞质和细胞膜,见图 1。在82 例ESCC患者中,B7-H3阳性表达81例,阳性率为 98.8%。其中28例(34.1%)肿瘤细胞显示B7-H3 低表达;54例(65.9%)肿瘤细胞显示B7-H3高表 达。癌旁正常组织则表达明显偏弱。
|
| A1,A2: high expression of B7-H3 in ESCC tissues; B1,B2: moderate expression of B7-H3 in ESCC tissues; C1,C2: low expression of B7-H3 in ESCC tissues; D1,D2: negative expression of B7-H3 in adjacent tissues; E1,E2: negative expression of B7-H3 in atypical hyperplasia tissues ( A1-E1: ×200; A2-E2: ×400); F: positive control of B7-H3 in melanoma cancer( ×200); G: negative control of B7-H3 ( ×200); ESCC: esophageal squamous cell carcinoma 图 1 食管癌组织、癌旁组织及食管鳞状上皮不典型组织中B7-H3的表达(DAB) Figure 1 B7-H3 expression in ESCC tissues,adjacent tissues and esophageal squamous atypical hyperplasia tissues(DAB ) |
食管癌组织中B7-H3阳性表达率与患者性别、 肿瘤大小、淋巴结转移等差异均无统计学意义 (P>0.05);与患者的年龄、肿瘤浸润深度、TNM 分期差异有统计学意义(P<0.05)。随着患者肿 瘤浸润深度的增加,B7-H3的表达水平增加;临床 TNM分期越晚,B7-H3的表达率越高,见表 1。
![]() |
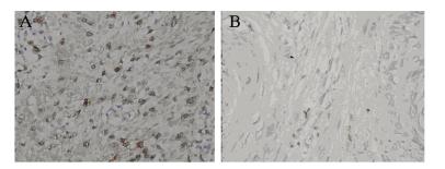
经抗CD8单抗免疫组织化学标记,82例食管 癌组织中,CD8+T淋巴细胞低度浸润36例,高度 浸润46例,见图 2。CD8+T淋巴细胞低度浸润36 例中,B7-H3低表达6例、高表达30例;高度浸 润46例中,B7-H3低表达22例、高表达24例。经Spearman相关分析检验发现,食管癌组织中B7-H3 的表达水平和CD8+T淋巴细胞浸润程度呈负相关 (rs=-0.326,P=0.003)。
|
| A: severe infiltration; B: mild infiltration 图 2 食管癌组织中浸润的CD8+T细胞(DAB ×400) Figure 2 Infiltrated CD8+T cells in ESCC tissues(DAB ×400) |
Kaplan-Meier生存分析结果显示,B7-H3阳性 表达的患者,其预后与B7-H3阴性表达的患者有显 著差异,B7-H3高表达者总体生存率明显低于低表 达者(P=0.001),见图 3。
|
| 图 3 食管癌组织中B7-H3的表达水平及与患者预后的关系 Figure 3 B7-H3 expression in ESCC tissues and its relationship with prognosis |
B7-H3作为共刺激分子B7家族新成员,是由 Chapoval等[6]于2001年在cDNA文库中首先发现 的。B7-H3是一种Ⅰ型跨膜蛋白,主要存在两种剪 接体[7]。B7-H3 mRNA在人体组织中广泛表达[8], 而其蛋白表达谱却十分局限。资料显示,B7-H3蛋白高表达于许多肿瘤组织,包括胃癌、肺癌、 前列腺癌、肾癌、成神经细胞瘤等,并与肿瘤生 物学特性、患者的预后转归有很大关系[9]。研究发 现,B7-H3对T细胞有共刺激作用[7],在抗CD3抗体 存在情况下,B7-H3能够促进CD4+和CD8+T细胞增 殖,并能选择刺激IFN-γ的分泌。然而,目前仍有 部分学者认为B7-H3在某些肿瘤中发挥着共抑制作 用。Suh、Prasad等发现鼠和人类的B7-H3均能够 抑制CD4+T细胞的活化和细胞因子如IFN-γ、IL-4 的生成[10, 11]及抑制小鼠Lewis肺癌细胞的生长[12]。
本研究发现食管癌组织中B7-H3蛋白的阳性表 达率为98.8%(81/82),其表达强度与患者年龄、 肿瘤浸润深度以及患者TNM分期差异均有统计学 意义。肿瘤浸润程度越深,患者TNM分期越高, B7-H3表达越强。结果提示B7-H3参与了食管癌的 发生、发展。此外,结合患者生存资料,发现B7-H3 在食管癌中的表达水平和患者预后呈负相关。这与 之前B7-H3在胃癌[13]、非小细胞肺癌[14]、乳腺癌[15]、 前列腺癌[16]中的高表达情况相似,提示B7-H3在肿 瘤细胞的异常表达与肿瘤进展密切相关。
肿瘤的发生发展一直离不开免疫系统的参 与,肿瘤浸润的T淋巴细胞是肿瘤免疫监视功能的 指示器[17]。其中CD8+T淋巴细胞在肿瘤微环境中发 挥重要作用,其数量和功能的改变能有效评价机 体抗肿瘤反应水平和患者预后情况[18]。本研究结 果发现,B7-H3在食管癌中的表达水平与CD8+T细 胞的浸润呈负相关,说明B7-H3分子可能是通过抑 制食管癌CD8+T淋巴细胞的功能,促进肿瘤逃避免 疫监视。
总之,本研究结果表明,B7-H3分子有可能 成为判断ESCC发生及食管癌患者预后的一个新指 标,抑制或封闭B7-H3表达有望成为抗食管癌免疫 治疗的新策略。
| [1] | Ferlay J, Shin HR, Bray F, et al. Estimates of worldwide burdenof cancer in 2008: GLOBOCAN 2008[J]. Int J Cancer, 2010,127(12): 2893-917. |
| [2] | Hagymási K, Tulassay Z. Risk factors for esophageal cancer, andpossible genetic background[J]. Orv Hetil, 2009, 150(9): 407-13. |
| [3] | Petroff MG, Perchellet A. B7 family molecules as regulators of thematernal immune system in pregnancy[J]. Am J Reprod Immunol,2010, 63(6): 506-19. |
| [4] | Xiong XJ, Yang M, Fang DM, et al. Expression of B7 costimulatorin human malignant hematological cell lines and its effects onactivation of human peripheral blood T lymphocyte[J]. Mian YiXue Za Zhi, 2009, 25(6): 621-4.[熊秀娟, 杨铭, 范冬梅, 等. B7在血液病细胞系中的表达及对T淋巴细胞的免疫反应[J]. 免疫学杂志, 2009, 25(6): 621-4.] |
| [5] | Loos M, Hedderich DM, Friess H, et al. B7-h3 and its role inantitumor immunity[J]. Clin Dev Immunol, 2010, 2010: 683875. |
| [6] | Chapoval AI, Ni J, Lau JS, et al. B7-H3: a costimulatory moleculefor T cell activation and IFN-gamma production[J]. Nat Immunol,2001, 2(3): 269-74. |
| [7] | Ling V, Wu PW, Spaulding V, et al. Duplication of primate androdent B7-H3 immunoglobulin V- and C-like domains: divergenthistory of functional redundancy and exon loss[J]. Genomics,2003, 82(3): 365-77. |
| [8] | Sun M, Richards S, Prasad DV, et al. Characterization of mouseand human B7-H3 genes[J]. J Immunol, 2002, 168(12): 6294-7. |
| [9] | Tran CN, Thacker SG, Louie DM, et al. Interactions of T cells withfibroblast-like synoviocytes: role of the B7 family costimulatoryligand B7-H3[J]. J Immunol, 2008, 180(5): 2989-98. |
| [10] | Suh WK, Gajewska BU, Okada H, et al. The B7 family memberB7–H3 preferentially down-regulates T helper type1-mediatedimmune responses[J]. Nat Immunol, 2003, 4(9): 899-906. |
| [11] | Prasad DV, Nguyen T, Li Z, et al. Murine B7-H3 is a negativeregulator of T cells[J]. J Immunol, 2004, 173(4): 2500-6. |
| [12] | Xu YH, Zhang GB, Wang JM, et al. Effect of B7-H3 on growth oflewis lung carcinoma cell[J]. Zhong Liu Fang Zhi Yan Jiu, 2012,39(4): 376-80.[徐跃华, 张光波, 汪家敏, 等. B7-H3对小鼠Lewis肺癌细胞生长的影响[J]. 肿瘤防治研究, 2012, 39(4): 376-80.] |
| [13] | Wu CP, Jiang JT, Tan M, et al. Relationship between costimulatorymolecule B7-H3 expression and gastric carcinomahistology and prognosis[J]. World J Gastroenterol, 2006, 12(3):457-9. |
| [14] | Sun Y, Wang Y, Zhao J, et al. B7-H3 and B7-H4 expression innon-small-cell lung cancer[J]. Lung Cancer, 2006, 53(2): 143-51. |
| [15] | Arigami T, Narita N, Mizuno R, et al. B7-h3 ligand expressionby primary breast cancer and associated with regional nodalmetastasis[J]. Ann Surg, 2010, 252(6): 1044-51. |
| [16] | Roth TJ, Sheinin Y, Lohse CM, et al. B7-H3 ligand expression byprostate cancer: a novel marker of prognosis and potential targetfor therapy[J]. Cancer Res, 2007, 67(16): 7893-900. |
| [17] | Galon J, Costes A, Sanchez-Cabo F, et al. Type, density, andlocation of immune cells within human colorectal tumors predictclinical outcome[J]. Science, 2006, 313(5795): 1960-4. |
| [18] | Mahmoud SM, Paish EC, Powe DG, et al. Tumor-infiltratingCD8+ lymphocytes predict clinical outcome in breast cancer[J]. JClin Oncol, 2011, 29(15): 1949-55. |
2014, Vol. 41



