文章信息
- 叶入裴,肖秀丽,李鑫,伏凯文,龙汉安. 2014.
- 同侧肾盂输尿管浸润性尿路上皮癌1例报道及文献复习
- 肿瘤防治研究, 2014, 41(11): 1258-1260
- http://www.zlfzyj.com/CN/10.3971/j.issn.1000-8578.2014.11.022
-
文章历史
- 收稿日期:2014-05-19
- 修回日期:2014-07-30
尿路上皮癌是泌尿系统常见的恶性上皮肿 瘤,同时同侧肾盂、输尿管浸润性尿路上皮癌, 肉瘤样变异型伴鳞状分化非常罕见,据统计[1, 2]肾 盂癌占上尿路恶性肿瘤的5%~7%,原发性输尿管 恶性肿瘤更少见,发生率只占肾盂癌的1/4,但近 年来输尿管恶性肿瘤发病率呈轻微上升趋势。现 报道泸州医学院同侧肾盂输尿管浸润性尿路上皮 癌1例并复习相关文献,以增强对该病的认识,提 高诊治水平。 1 资料与方法 1.1 病例资料
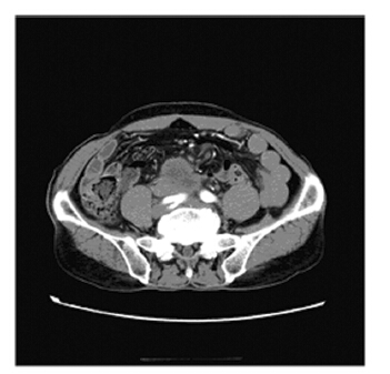
患者,男,67岁,以主诉“下腹疼痛3月余” 于2013年9月1日入住泸州医学院附属医院,3月前 无明显诱因出现下腹疼痛,无尿频、尿急、尿痛 等排尿困难。曾于1年前出现1次肉眼血尿伴血凝 块。查体:左右肾区无隆起,肋腰点压痛(-), 双肾区叩诊(-),双肾动脉血管杂音(-)。 B型超声提示右输尿管近跨髂血管腔内减弱回声 团,右肾盂积水。CT提示右侧输尿管中段管壁增 厚,管腔狭窄、闭塞,腹主动脉下端分叉处见一 分叶状软组织肿块影,密度不均,考虑输尿管可 能性大。右输尿管上段及右肾盂扩张积水,见图 1。全麻下行右肾+右输尿管中上段切除术。术中 见右肾重度积水,皮质菲薄,右侧输尿管重度畸 形,中段以上输尿管肿胀、质硬,与周围粘连明 显,其上输尿管扩张、积水。术前诊断:(1)右 肾重度积水;(2)右肾无功能;(3)输尿管肿 瘤?
|
| Enhanced CT showed that the middle of ureter was thickened with mass lesion in the lower abdominal aorta 图 1 肾盂输尿管浸润性尿路上皮癌患者的增强CT Figure 1 Enhanced CT of patient with infiltrating urothelial carcinoma of renal pelvis and ureter |
送检组织经10%甲醛充分固定,脱水后石蜡 包埋切片,切片 4 μm,常规HE及免疫组织化学染 色,显微镜下观察。
|
| A: infiltrating urothelial carcinoma mixed with spindle cell sarcoma and squamous differentiation(HE ×200); B: the positive expression of CK7 in urothelial carcinoma cells and the negative expression in sarcoma component (IHC ×400); C: the positive expression of CK5/6 in tumor cells nests with squamous differentiation and negative expression in urothelial carcinoma and sarcoma component (IHC ×400); D: the positive expression of Vimentin in spindle sarcoma cells and negative expression in urothelial carcinoma component (IHC ×400) 图 2 肾盂输尿管浸润性尿路上皮癌常规和免疫组织化学染色 Figure 2 Routine and IHC staining of infiltrating urothelial carcinoma of renal pelvis and ureter |
右侧肾脏组织及输尿管一段,肾脏大小9 cm× 6 cm×3.5 cm,切面见肾皮质变薄,肾盂肾盏明显 扩张,肾盏内可见一个大小为1.5 cm×1.5 cm×0.5 cm菜花状肿块,肿块切面灰白质软。输尿管大小6 cm×3 cm×1 cm,管壁厚0.3 cm~0.5 cm,管腔内见 一个大小为3 cm×1 cm×1 cm的隆起性肿块,切面 灰白质韧。 2.2 镜检
肾盂肿瘤表现为浸润性尿路上皮癌呈巢状及 不规则条索状,侵及肾实质,细胞核形状各异, 不规则,可见单个或多个核仁,病理性核分裂相 多见。癌细胞巢之间可见纤维结缔组织增生的间质反应。部分癌巢间见成片的梭形细胞,胞质丰 富,排列紊乱,异型性明显,核分裂象多见。部 分区域可见鳞状分化,细胞间桥明显,部分细胞 角化。输尿管肿瘤镜下形态与肾盂肿瘤相似,并 侵及输尿管壁全层,见图 2A。 2.3 免疫组织化学染色
肾盂及输尿管浸润尿路上皮癌细胞CK7、 CK20部分阳性表达,见图 2B。伴鳞状分化肿瘤细 胞巢CK5/6阳性表达,见图 2C,癌细胞及伴鳞状 分化肿瘤细胞巢PCK阳性,梭形细胞Vimentin弥漫 阳性,见图 2D。癌与肉瘤样成分Ki-67增殖活性约 50%。 2.4 病理诊断
右侧肾盂浸润性尿路上皮癌,肉瘤样变异型 并伴鳞状分化,侵及肾实质,病理分期pT3;右侧 输尿管中下段浸润性尿路上皮癌,肉瘤样变异型 伴鳞状分化,侵及输尿管全层,病理分期pT3。 2.5 随访情况
目前患者情况良好,截止2013年12月无复发 转移。 3 讨论
肾盂癌和输尿管癌多见于40~70岁,50%~73% 的输尿管癌发生于输尿管下1/3段,大部分组织 学分类为浸润性尿路上皮癌[1]。潘柏年等[3]对174 例输尿管原发癌进行研究,病理结果提示171例 (98.3%)为浸润性尿路上皮癌,伴同时肾盂癌7 例。肾盂、输尿管癌的发病机制尚不清楚,目前 普遍认为吸烟、职业接触、长期服用镇痛药、巴 尔干肾病及环磷酰胺的应用是高危因素,与发病 率呈正相关性[2,4]。
肾盂、输尿管癌早期诊断困难,易漏诊误 诊。本例增强CT提示肾盂扩张积水,输尿管管壁 增厚狭窄,腹主动脉下端分叉处可见软组织肿块影,临床诊断右肾重度积水,右肾无功能,可疑 输尿管肿瘤,而病理巨检时可见肾盂及输尿管内 肿块组织,病检结果提示肾盂及输尿管浸润性尿 路上皮癌,由此可见病理检查在临床诊断中起着 重要作用。肾盂、输尿管癌易漏诊误诊另一原因 是临床症状不典型,尤其是原发性输尿管尿路上 皮癌,镜下血尿可能是肾盂、输尿管肿瘤浸润的 首发症状,Demirci等[5]对11例肾盂和输尿管浸润 性尿路上皮癌研究发现,8例患者首发无痛性肉眼 血尿,3例首发腹部疼痛,本例曾出现过1次肉眼 血尿,主要表现是近月来下腹疼痛,考虑可能是 肿瘤出血凝集成血块,通过输尿管部发生慢性阻 塞,加上肾盂积水扩张,导致疼痛。
从组织学上看,尿路上皮癌有很多类型的变 异,鳞状分化很常见,占肾盂肿瘤的44%[4],传 统上被认为是预后不良的指标。鳞状分化在镜下 与其他部位的分化形态大体一致,表现为细胞间 桥或角化。肉瘤样变异型也见于浸润性尿路上皮 癌,WHO定义为形态学上或免疫组织化学证实具 有向上皮和间叶组织双向分化的恶性肿瘤[4]。本 例镜下可见胞质丰富的梭形细胞,排列紊乱,无 极性,细胞异型性明显。肉瘤样变异型常伴淋巴 结及远隔器官的转移[3],预后不良。从免疫组织化 学结果分析,CK7、CK20胞质阳性表达提示浸润 性尿路上皮癌,CK5/6胞质阳性表达提示伴鳞状分 化,Vimentin胞质阳性表达提示梭形细胞构成的 肉瘤样成分。本例免疫组织化学结果支持肾盂、 输尿管浸润性尿路上皮癌,肉瘤样亚型伴鳞状分 化。
本例肾盂和输尿管同时发生浸润性尿路上皮 癌,发生机制可能有以下两种:一方面肾盂、输 尿管上皮均来源于移行细胞,起引流尿液的作 用,尿液通过时不发生任何形态学上的改变,因 此恶性肿瘤发生时,两者的形态学改变可以相同,表现为肿瘤多发性。另一方面也不排除肾盂 移行细胞癌顺尿液流向种植于输尿管,进而发展 为输尿管癌。有学者认为[1],检查仪器对输尿管的 损伤可以增加肿瘤细胞种植发生的可能性。
对于原发肾盂、输尿管癌的治疗,现多主张 行肾、输尿管全长及膀胱袖套样切除术,可提高5 年生存率,降低残端癌复发率。本例采用的手术 方式为右肾+右输尿管中上段切除术,因肿瘤与其 周围组织粘连现象明显,输尿管下段切除困难而 保留,随访患者暂无残段癌复发。
肾盂、输尿管肿瘤的预后主要取决于肿瘤分 期[2,6],本例肾盂癌侵及肾实质,输尿管癌侵及输 尿管全层,按WHO肾盂输尿管肿瘤分期标准,本 例肾盂肿瘤pT3期并输尿管肿瘤pT3期。pT3~pT4 期浸润性尿路上皮癌较pT1~pT2期更容易复发,辅 助治疗预后更差[5]。国外文献对于肿瘤位置是否影 响预后报道稍有差异,Park等[7]认为输尿管外膜菲 薄,血管丰富,而肾盂周围有肾实质及脂肪组织 做屏障,因而输尿管癌的预后较肾盂癌差。Bin等 [8]则认为肿瘤的位置与术后生存率没有明显关系, 不能推测预后。Hwang等[9]对61例肾盂癌和53例输 尿管癌进行研究后表明,伴有肾盂积水的泌尿道 尿路上皮癌有较差的预后。对于本例肿瘤患者年 龄大、病理分期晚,且伴有肉瘤样变异及鳞状分 化,提示预后不良,应该加强随访。
| [1] | Wu JP. Wu Jieping Urology[M]. Ji'nan: Shandong Science and Technology Press, 2004: 945-57. [吴阶平.吴阶平泌尿外科学[M]. 济南:山东科学技术出版社, 2004: 945-57.] |
| [2] | Kirkali Z, Tuzel E. Transitional cell carcinoma of the ureter and renal pelvis[J]. Crit Rev Oncol Hematol, 2003,47(2): 155-69. |
| [3] | Pan BN, Zhang Z, Liu YL, et al. Clinical analysis of 174 cases of primary urteral carcinoma[J].Zhonghua Wai Ke Za Zhi, 2004, 42(23): 1447-9. [潘柏年, 张争, 刘玉立, 等. 174例原发性输尿管 癌的临床分析[J]. 中华外科杂志, 2004, 42(23): 1447-9.] |
| [4] | Eble JN, Sauter G, Epsteir JI, et al. Pathology & genetics tumours of the urinary system and male gential organs[M].Beijing: People's Medical Publishing House, 2006: 94-109. [Eble JN, Sauter G, Epsteir JI, 等. 泌尿系统及男性生殖器官肿瘤病理学 和遗传学[M]. 北京:人民卫生出版社,2006: 94-109.] |
| [5] | Demirci U, Canda AE, Dede DS, et al. Non-metastatic upper tract transitional cell carcinoma: single center experience[J]. Asian Pac J Cancer Prev, 2013, 14(2): 1131-2. |
| [6] | Kim DS, Lee YH, Cho KS, et al. Lymphovascular invasion and pT stage are prognostic factors in patients treated with radical nephroureterectomy for localized upper urinary tract transitional cell carcinoma[J]. Urology, 2010, 75(2): 328-32. |
| [7] | Park S, Hong B, Kin CS. The impact of tumor location on prognosis of transitional cell carcinoma of the upper urinary tract[J]. J Urol, 2004, 171(2 Pt 1): 621-5. |
| [8] | Bin X, Roy OP, Chiraldi E, et al. Impact of tumor location and surgical approach on recurrence-free and cancer-specific survival analysis in patients with ureteric tumours[J]. BJU Int, 2012, 110(11 Pt B): E514-9. |
| [9] | Hwang I, Junq SI, Nam DH, et al. Preoperative hydronephrosis and diabetes mellitus predict poor prognosis in upper urinary tract urothelial carcinoma[J]. Can Urol Assoc J, 2013, 7(3-4): E215-20. |
2014, Vol. 41


